안녕하세요, 소중한 치아를 지키는
연세마이덴치과 닥터꼬집 입니다.
오늘은 타 치과에서 신경치료를 받은 후에도
잇몸에 염증과 고름이 재발한 환자분의 치료 증례를 가져왔습니다.
치아에 염증이 생기면 누구나
‘발치해야 하나’ 하는 걱정이 드실 텐데요.
안 좋은 상황에서도 자연치아를 살릴 수 있는 방법,
함께 살펴보겠습니다.
잇몸 염증 고름, 치료 방법은?

이번 치료의 주인공은 20대 후반의 남성 환자분이셨습니다.
이전에 한 번 신경치료를 받았던 치아의 잇몸이 붓고
잇몸 고름이 생겨서 다른 치과에 먼저 방문하셨다고 합니다.
재신경치료를 해야한다는 진단을 받으셨는데,
재신경치료가 흔한 치료는 아닌 만큼
“좀 더 잘하는 병원에서 받고 싶다”는 마음으로
저희 연세마이덴치과를 찾아오셨다고 하십니다.

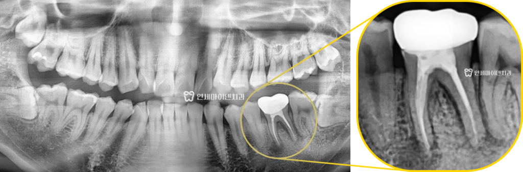
검사 결과, 문제의 치아는 아래 어금니 36번 치아였고
잇몸 근처에 검게 보이는 염증 소견이 있었습니다.
방사선 사진으로도 치근 끝 부위의 염증 반응이
분명히 보이는 것을 확인할 수 있습니다.
문제는 한쪽 뿌리의 염증 양상이 좋지 않았습니다.
염증의 위치나 모양이 치아에 금이 간 ‘크랙’때문에 생긴
염증의 양상과 유사해보였기 때문입니다.
만약 치아에 수직으로 금이 가 있는
수직치근파절 상태라면
치아를 더 이상 사용할 수 없기 때문에
발치 후 임플란트 식립이 필요합니다.
“치료해도 오래 못 쓰면 임플란트가 낫지 않나요?”
환자분께서는 염증의 양상이 좋지 않다는 소견을 들으시고
“재신경치료하고 얼마나 쓸 수 있는지,
오래 못 쓸 거면 차라리 발치하고 임플란트하는게 낫지 않은지”
재치료에 대한 걱정이 많으셨습니다.
사실 이건 충분히 이해되는 고민입니다.
이미 신경치료를 몇차례 했는데 염증이 다시 생기고,
잇몸은 붓고 고름까지 나고 구취와 통증까지 있다면
과연 재치료를 해도 이 치아를 계속 사용할 수 있을지
망설여지고 걱정되실겁니다.
그럼에도 불구하고 저희 연세마이덴치과는
자연치아를 살릴 수 있는 가능성이 있다면
보존치료를 먼저 시도해서 치아를 살리는 걸 우선시 하기 때문에
무조건 발치부터 권하지 않습니다.
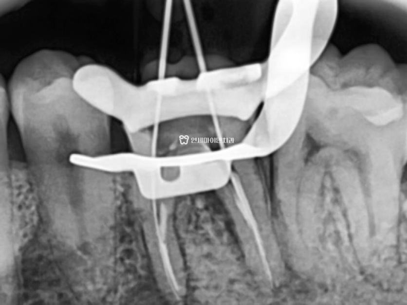
우선 기존의 크라운을 제거한 뒤
치아 내부 상태를 면밀하게 확인했고,
미세현미경 검사 결과 크랙이 발견되지 않았습니다.
뿌리 아래쪽부터 시작된 금이라면 위쪽에서 보이지 않을 수 있지만
크랙이 확인되지 않았기 때문에
원칙적인 치료인 재신경치료를 시도하였습니다.
재신경치료로 염증의 원인을 제거

재신경치료는 말 그대로 기존에 했던 신경치료를
다시 진행하는 것입니다.
이때 가장 중요한 것은
기존의 신경치료 재료를 완전히 제거하는 것입니다.
안에 남아 있는 세균, 염증을 유발하는 물질 등을 말끔히 제거하지 않으면
아무리 재치료를 해도 염증은 계속해서 남아있을 수밖에 없습니다.
기존 신경치료 재료를 꼼꼼하게 제거한 뒤
신경관을 깨끗하게 청소하고 약물을 다시 채워넣었습니다.

재치료 이후에도 한동안은 임시치아로
잇몸 상태를 꾸준히 지켜보았습니다.
놀랍게도 2주 만에 잇몸에 났던 고름
잇몸 여드름이 말끔히 사라졌습니다.

방사선상에서도 녹아 있던 뼈가 조금씩
하얗게 재생되는 것을 확인할 수 있었습니다.
이후 증상 재발이 없는 것을 확인하고
최종 크라운을 씌워 치료를 마무리 하였습니다.
지금도 환자분은 6개월마다 정기 검진을 통해
회복 과정을 모니터링 중에 있습니다.
재신경치료 4년 후 경과

이 치아는 치료 2년 째 경과를 보면
치근 주변의 뼈가 완전히 회복된 모습을 모입니다.
그리고 무려 4년이 지난 후에도 염증의 재발 없이
자연 치아가 건강하게 유지되고 있습니다.
환자분께서도 이후에 잇몸 붓기나 고름 등 증상이 전혀 없었고
치아를 쓰는 데도 불편함 없이 잘 지내고 계십니다.

처음에 만약 바로 발치를 선택했다면,
이렇게 몇년은 거뜬히 쓸 수 있는 치아를 잃었을 것입니다.
무엇보다 이 치료는 항생제와 같은 약이나
수술적으로 염증을 긁어낸 것이 아닙니다.
그저 문제의 원인이었던 내부 감염만
깨끗하게 제거했을 뿐인데
염증은 자연스럽게 사라지고
녹았던 뼈까지도 완벽히 재생된 것입니다.
자연치아를 살리는 선택, 포기하지 마세요.
치아에 염증이 생겼다고,
무조건 발치해야 하는 것은 아닙니다.
정확한 진단과 적합한 치료만 잘 이루어진다면
재치료만으로도 치아를 살릴 수 있습니다.
특히 이전에 한 번 신경치료를 받은 치아이고
크랙과 같은 소견이 없다면
재신경치료를 먼저 시도해본 뒤
경과를 보고 이후의 치료를 진행해도 늦지 않습니다.
저희 연세마이덴치과는 <내치아 지키기 프로젝트>로
과잉진료없는 정직한 치료를 지향합니다.
궁금하신 부분이 있으시면
언제든지 저희 연세마이덴치과로 연락주세요.
읽어주셔서 감사합니다.
더 자세한 내용을 확인하고 싶다면
아래 링크를 통해 유튜브 영상을 시청해보세요!
▼▼▼

예약 및 상담 02.6263.2828



