어린이 치아교정 증례: 반대교합
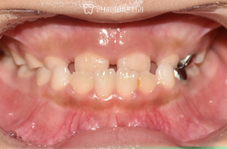
어린이 치아교정 증례: 반대교합 만 7세 어린이의 앞니가 거꾸로 물려조기 교정을 원해 내원한 케이스입니다. 보호자분들 중에는아이의…
어린이 치아교정 증례: 반대교합 만 7세 어린이의 앞니가 거꾸로 물려조기 교정을 원해 내원한 케이스입니다. 보호자분들 중에는아이의…
앞니 재신경치료&실활치미백 증례: 포스트 제거 오래전에 신경치료를 받은 앞니가점점 어둡게 변색되면서심미적인 불편을 느끼는 경우가 많습니다. 특히…
앞니 치근단절제술 증례: J자 염증 위 앞니에 염증이 생기거나 고름이 반복되면치과마다 진단이 달라 혼란을 겪는 경우가…
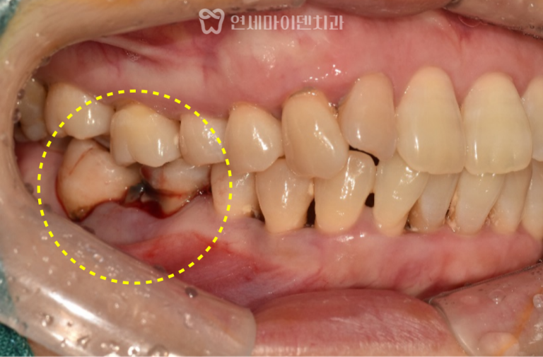
발치 즉시 임플란트 증례: 잇몸여드름, 치근파절 잇몸에서 고름이 반복적으로 올라오거나잇몸이 붓고 가라앉기를 반복하는 경우, 단순한 잇몸…
재신경치료 증례: 부러진 어금니 보존 10년 전 신경치료 후 크라운을 씌운 어금니가잇몸 가까이에서 부러진 상태로 내원하셨습니다….
발치즉시임플란트 3년 증례: 잇몸출혈, 어금니파절 잇몸이 자주 붓고 피가 나며,어금니가 흔들려 식사가 어려운 상태에서내원하시는 경우가 적지…
믿고 방문하는 연세마이덴치과.비싸다고 생각하실 수 있지만이 정도의 진료라면 돈이 아깝지 않습니다.원장님이 정말 실력자입니다. 50대 이상이면 뽑고…
다른 병원에서는 3개의 임플란트를 하라고 했지만,남택진 선생님께서 2개를 살려주셨습니다! 1개는 살릴 수 없는 치아였는데,다른 병원에서는 앞니는…
어제 첫방문해서 진료 및 상담 그리고 재신경치료까지 받았는데,다들 정말 친절하시고 엑스레이나 ct 찍을 때도불편한 점 없는지…
포스트(파이버) 재신경치료 유튜브에서 참고영상 찾다가남택진 원장님 유튜브 영상보고 믿음이 가서 치료받게 되었습니다. 근처 치과에선 다들 임플란트…