어린이 치아교정 증례: 반대교합
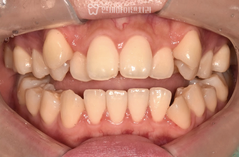
어린이 치아교정 증례: 반대교합 만 7세 어린이의 앞니가 거꾸로 물려조기 교정을 원해 내원한 케이스입니다. 보호자분들 중에는아이의…
어린이 치아교정 증례: 반대교합 만 7세 어린이의 앞니가 거꾸로 물려조기 교정을 원해 내원한 케이스입니다. 보호자분들 중에는아이의…
부분교정·임플란트 협진 증례: 쓰러진 어금니 “임플란트 해야 하는데치아가 쓰러져서 공간이 부족해요.” 임플란트를 계획하고 내원하신 분들 중의외로…
개방교합 치아교정 증례: 발치교정 이번 포스팅에서는치열·교합·악궁 형태의 불균형이함께 나타난 개방교합 케이스를발치 교정과 어금니 함입 치료를 통해개선한…
3급 부정교합 치아교정 증례: MARPE 장치 오늘은 수술 없이위턱을 넓히고 교정을 진행한성인 주걱턱, 3급 부정교합 치료…
비발치교정&임플란트 협진 케이스: 반대교합 어금니가 빠졌을 때겉으로 잘 보이지 않는다는 이유로그대로 방치하는 경우를 종종 보게 됩니다….
돌출입 치아교정: 발치교정 전후 교정을 앞두고 가장 먼저 고민하게 되는 부분이 바로“발치 교정을 꼭 해야 하는지”입니다….
60대 중장년층 치아교정: 치주환자 발치교정 증례 치아교정은 흔히 10대나 20대 청소년,젊은 성인만을 위한 치료라고 생각하기 쉽습니다….
어린이 치아교정 증례: 매복 송곳니 견인교정 오늘은 매복된 송곳니 문제로 내원한 10살 어린이 환자분의치아 교정 증례를…
부분 치아교정 증례: 임플란트 협진 케이스 오늘은 임플란트 식립 공간이 부족했던 환자분이부분교정을 통해 문제를 해결한 치료…
치아 교정 증례: 벌어진 앞니 1년 완성 오늘은 벌어진 앞니 사이의 공간을보철이나 레진 치료 없이 치아…