3급 부정교합 치아교정 증례: MARPE 장치
※ 본 글은 연세마이덴치과 의료진이 직접 진료한
실제 치료 사례를 바탕으로 작성되었습니다.
안녕하세요, 소중한 치아를 지키는
연세마이덴치과 닥터꼬집입니다.
오늘은 수술 없이
위턱을 넓히고 교정을 진행한
성인 주걱턱, 3급 부정교합 치료 사례를
소개해 드리겠습니다.
성인 교정의 경우
골격적인 한계로 인해
수술적 치료를 고민하는 경우도 많지만,
이번 케이스는 비수술적 방법으로
의미 있는 변화를 얻을 수 있었던 사례입니다.
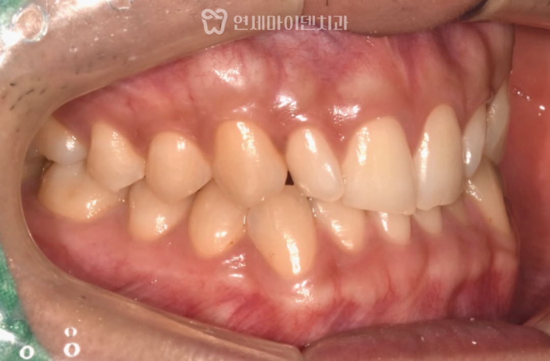
20대 교정 진단과 초기 상태

이번 환자는 20대 중반으로,
앞니가 고르지 않고 돌아가 있었으며
아래 앞니는 안쪽으로 많이 쓰러진 상태였습니다.
단순한 치아 배열 문제로 보일 수 있었지만,
정밀 진단 결과
위턱 전체의 폭이 좁고
치아들이 안쪽으로 몰려 있는 구조였습니다.

특히 두 번째 앞니는
크기가 작은 왜소치 형태를 띠고 있었고,
사랑니는 매복된 상태로
발치가 필요한 상황이었습니다.
다행히 전반적인 치근 상태는
양호한 편이었습니다.
3급 부정교합 진단

방사선 사진 분석 결과,
위턱보다 아래턱이 더 발달한
3급 부정교합,
흔히 주걱턱이라고 불리는 상태였습니다.
아래 앞니의 각도는
정상치보다 훨씬 작은 68.7도로,
안쪽으로 심하게 쓰러져 있었습니다.

정면 방사선에서는
위턱과 아래턱의 폭 차이가 크게 나타났으며,
위턱이 약 10mm 이상 좁은 상태임을
확인할 수 있었습니다.
얼굴 사진에서도
치아가 안쪽으로 쓰러지며
이른바 ‘입동굴’이 넓어 보였고,

옆모습에서는 아래턱의 발달로 인해
전체적인 안모의 조화가 깨져 있었습니다.
MARPE 장치가 필요한 이유
이번 케이스의 핵심 치료 목표는
위턱의 폭을 넓히는 것이었습니다.
성장기 아동이라면
비교적 간단한 장치로도
악궁 확장이 가능하지만,
성인의 경우에는 뼈가 단단해져
일반적인 RPE 장치만으로는
충분한 효과를 기대하기 어렵습니다.

이에 미니스크류를 이용해
뼈에 직접 고정하는 방식의
MARPE 장치를 선택했습니다.
입천장에 네 개의 스크류를 식립한 뒤
장치를 결합해 하루 한 번씩 돌리며
점진적으로 위턱을 확장하는 방식으로
치료를 시작했습니다.
성인에서는 확장이 반드시 성공한다고
장담할 수는 없지만,
이번 케이스는 위턱이 매우 좁았기 때문에
시도 자체가 반드시 필요하다고 판단했습니다.
MARPE 확장과 교정 진행 과정

치료 초기 약 4주 동안은
큰 변화가 보이지 않았으나,
6주 차에 접어들면서
앞니 사이가 벌어지며
봉합이 열리는 소견이 확인되었습니다.
이는 위턱 뼈가
실제로 확장되었음을 의미하며,
장치를 최소 3개월간 유지해
새로운 뼈가 안정적으로 형성되도록
시간을 주었습니다.

이와 동시에
아래 치열부터 교정을 시작해
어금니를 뒤로 이동시키며
공간을 확보했고,
안쪽으로 쓰러져 있던 앞니를
하나씩 세워 나갔습니다.
왜소치였던 윗앞니 두 개는
추후 보철 치료로
정상적인 크기를 회복할 계획으로
약간의 공간을 남겨두었습니다.

치료가 진행되면서
악궁 형태는 V자에서 U자 형태로 확장되었고,
송곳니와 어금니가 세워지며
전체 배열이 점차 안정되었습니다.
입동굴 역시
과도하게 넓었던 상태에서
적절한 폭으로 줄어들며
미소가 훨씬 자연스러워졌습니다.
깊게 물려 있던 앞니 교합도
점차 개선되어
치아 각도는 정상 범위에
가깝게 회복되었습니다.
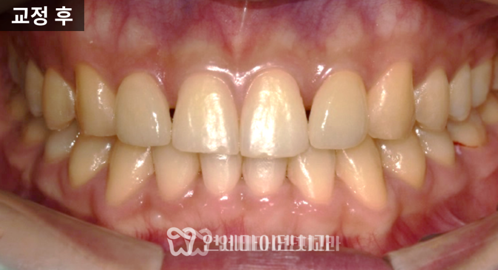
최종 치료 결과

최종적으로
위아래 치아는 가지런하게 배열되었고,
왜소치 부위는 라미네이트 보철로
심미성과 기능을 함께 보완했습니다.

옆모습에서는
턱끝의 돌출이 완화되어
전체적으로 부드러운 인상을
확인할 수 있었습니다.
이는 교정을 통해
교합과 악궁이 변화하면서
턱 위치가 약간 아래쪽으로 회전해
나타난 효과입니다.

전체 치료 기간은
약 2년이 소요되었으며,
파노라마 방사선에서도
치근 흡수나 잇몸 손상 없이
안정적으로 마무리되었습니다.
현재도 정기 검진을 통해
치료 결과를
잘 유지하고 있습니다.
교정 치료 시기의 중요성

교정 치료는
시기가 빠를수록
치료 방법이 단순해지고
부담도 줄어드는 경향이 있습니다.
성장기에는
간단한 장치만으로도
효과적인 결과를 얻을 수 있지만,
치료 시기가 늦어질수록
보다 복잡한 장치가 필요하고
치료 기간 역시 길어질 수 있습니다.
이번 MARPE 케이스는
성인 교정임에도
좋은 결과를 얻을 수 있었지만,
조금 더 이른 시기에 시작했다면
더 수월한 치료가 가능했을 것입니다.
교정 상담은 언제가 좋을까요?
첫 교정 상담은
초등학교 1~3학년 시기에
한 번 받아보시는 것을 권합니다.
특히
- 맨 뒤 유치 뒤로 첫 번째 큰 어금니가 나올 때
- 앞니 2~4개가 유치에서 영구치로 교체될 때
이 시기에 상담을 통해
현재 상태와 향후 발생할 수 있는 문제를
미리 파악할 수 있습니다.
반드시 바로 치료를 시작하지 않더라도,
적절한 시기와 방법을
계획하는 데 큰 도움이 됩니다.
이번 환자는 성인이었음에도 불구하고
MARPE 확장에 성공해
수술 없이 위턱을 넓히고,
치아 배열과 얼굴 조화를
함께 개선할 수 있었습니다.
위턱이 좁고 아래턱이 발달한
3급 부정교합의 경우에도
MARPE를 통해 비수술적 교정이
가능한 경우가 있습니다.
무엇보다 중요한 것은
조기에 상담을 받아
적절한 치료 시기를
놓치지 않는 것입니다.
연세마이덴치과는 교정과 전문의
1대1 맞춤 진단으로
개인에 맞는 치아교정 치료를 진행하고 있습니다.
궁금하신 부분은
언제든지 저희 연세마이덴치과로 연락주세요.
감사합니다.
더 자세한 내용을 확인하고 싶다면
아래 링크를 통해 유튜브 영상을 시청해보세요!
▼▼▼

예약 및 상담 02.6263.2828



