개방교합 치아교정 증례: 발치교정
※ 본 글은 연세마이덴치과 의료진이 직접 진료한
실제 치료 사례를 바탕으로 작성되었습니다.
안녕하세요, 소중한 치아를 지키는
연세마이덴치과 닥터꼬집입니다.
이번 포스팅에서는
치열·교합·악궁 형태의 불균형이
함께 나타난 개방교합 케이스를
발치 교정과 어금니 함입 치료를 통해
개선한 사례를 소개해드리겠습니다.
개방교합이란?
개방교합은
위아래 앞니를 포함해 전반적인 치아가
서로 닿지 않고 떠 있는 교합 상태를 말합니다.
이 경우 저작 기능이 떨어질 뿐 아니라,
일부 치아에만 힘이 집중되면서
치아 통증이나 마모, 손상이 발생할 수 있습니다.
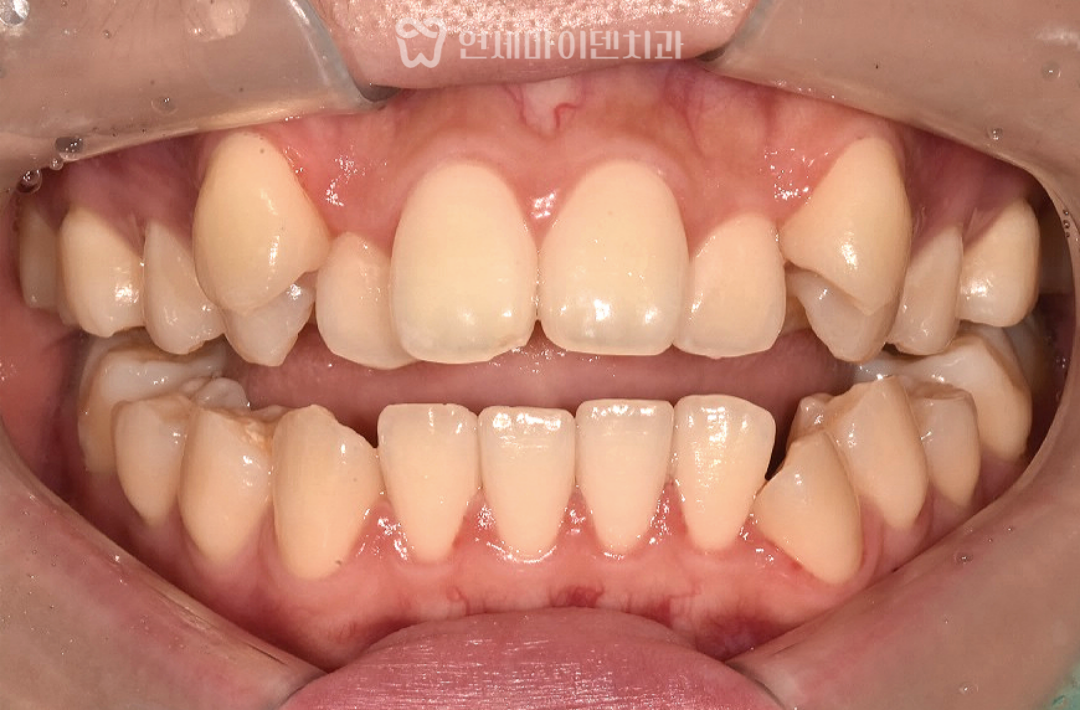
교정 전 치아 상태 분석

교정 전 환자분의 치아는
앞니부터 어금니까지 전반적으로 닿지 않는
개방교합 상태였습니다.
일부 어금니에만 교합력이 집중되면서
통증이 발생한 것으로 판단되었고,
치아 배열도 전체적으로 고르지 않은 상태였습니다.
개방교합은 시간이 지날수록
교합 불균형이 더 심해질 수 있기 때문에
교정 치료가 필요한 상황이었습니다.

방사선 사진을 살펴보면
사랑니가 4개 모두 존재했고,
송곳니와 작은 어금니가 겹치거나 기울어져 있어
치아 이동이 쉽지 않은 조건이었습니다.
또한 상악동의 위치가 낮고
치근 길이가 비교적 짧아
교정 과정에서 세심한 주의가 필요했습니다.

악궁 형태와 혀 위치 문제

상악은 V자형, 하악은 U자형으로
악궁 형태의 불균형이 관찰되었습니다.
이러한 문제는 혀의 위치와도 깊은 관련이 있습니다.
정상적인 혀 위치는
입천장 쪽에 안정적으로 위치해야 하지만,
개방교합 환자분들의 경우
치아 사이 공간을 혀로 메우는
혀 내밀기 습관이 동반되는 경우가 많습니다.
이 습관은 교정 결과의 안정성을 떨어뜨릴 수 있어
교정 전부터 반드시 함께 교정해야 하는 요소입니다.
치아교정 계획 수립
상악은 송곳니의 중복 배열로 인해
발치가 불가피한 상태였고,
하악 역시 악궁 개선과 배열 교정을 위해
발치를 계획했습니다.
발치 위치는
상악은 제1소구치,
하악은 제2소구치를 선택했습니다.

또한 어금니를 위쪽으로 끌어올리는
함입 치료를 병행하여
위아래 치아가 맞물릴 수 있도록
수직 교합을 조정하는 계획을 세웠습니다.
치료 중간 과정 (7개월 차)

필요한 발치를 먼저 시행한 후,
윗턱에서는 송곳니 뒤쪽 치아부터
교정 장치를 부착해 송곳니 정렬을 우선 진행했습니다.
송곳니 위치가 안정된 이후
앞니까지 장치를 확장해
전체 치열을 정리하는 방식으로 진행했습니다.
치료 7개월 차에는
발치 공간이 점차 닫히기 시작했고,
치아 배열도 눈에 띄게 정돈되었습니다.
상악 어금니 함입을 위해
안쪽과 바깥쪽에 미니스크류를 식립하고,
고무줄을 이용해 위쪽으로 이동시키는 치료를 병행했습니다.
이 과정에서
그동안 닿지 않던 위아래 치아가
점차 맞물리기 시작하는 변화가 관찰되었습니다.
치료 완료 및 결과 분석

약 23개월의 교정 치료 후,
앞니 개방교합은 완전히 닫혔고
치아 배열도 가지런하게 정리되었습니다.

좌우 중심선이 맞춰졌고,
어금니 교합 역시 고르게 맞물리도록 조정되었습니다.
전체 치열은 안정적인 U자형으로 형성되었습니다.

치료 전후 중첩 분석 결과,
발치를 통해 앞니는 안쪽으로 이동했고
어금니를 위로 함입하면서
아래턱이 위쪽으로 회전한 것이 확인되었습니다.
그 결과
입술 돌출이 줄어들고
턱 끝 아래쪽에는 자연스러운 S라인이 형성되며
안모 또한 조화롭게 개선되었습니다.

파노라마 방사선 사진에서도
치아 뿌리 방향은 치료 전과 유사하게 유지되었고,
치근 흡수 역시 기능에 문제되지 않을 정도로
안정적으로 마무리되었습니다.
발치 공간도 모두 완전히 닫힌 상태였습니다.
개방교합 치료 시 주의사항
개방교합은 재발 가능성이 높은 교합 문제입니다.
혀 내밀기 습관,
턱관절 위치 변화 등
여러 요인이 결과에 영향을 미칠 수 있기 때문에
치료 전 정밀 진단이 매우 중요합니다.
혀 위치 교정,
턱관절 안정화가 함께 이루어져야 하며,
유지장치에는 혀 위치 조절 기능이
포함되는 것이 바람직합니다.
특히 턱관절 이상이 동반된 경우에는
교정 치료보다 먼저
턱관절 안정화를 진행해야
예측 가능한 결과를 얻을 수 있습니다.
치료 요약 및 마무리
이번 케이스는
발치 교정을 통해 위아래 개방교합을 개선하고,
안모 변화까지 함께 얻은
대표적인 개방교합 치료 사례입니다.
개방교합으로 고민 중이시라면
턱관절 상태를 먼저 확인한 뒤,
교정과 전문의와 충분한 상담을
진행해보시길 권해드립니다.
오늘은 개방교합 케이스의
발치 교정 치료에 대해 살펴보았습니다.
앞으로도 도움이 되는 내용으로
다시 찾아뵙겠습니다.
감사합니다.
더 자세한 내용을 확인하고 싶다면
아래 링크를 통해 유튜브 영상을 시청해보세요!
▼▼▼

예약 및 상담 02.6263.2828



