안녕하세요, 소중한 치아를 지키는
연세마이덴치과 닥터꼬집 입니다.
오늘은 외상으로 인해 앞니가 변색되었고,
석회화로 인해 치료가 불가능하다는 진단까지 받았던 환자분의
치료 사례를 소개해드리고자 합니다.
눈에 띄는 앞니가 어두워지면 심리적으로도
큰 스트레스를 받을 수밖에 없습니다.
그런데 치료조차 어렵다는 진단을 받는다면
그 좌절감은 이루 말할 수 없을 텐데요.
과연 어떤 상태였고, 저희 병원에서는 어떻게 해결했는지
함께 살펴보겠습니다.
외상 후 변색된 앞니, 발치 진단까지?

환자분은 과거 앞니에 외상을 입은 경험이 있으셨습니다.
통증이 없어 별다른 치료 없이 지내셨지만,
시간이 지나면서 치아 색이 점점 어두워졌고,
결국 일상생활에서도 신경이 쓰이기 시작했다고 하셨습니다.
변색된 앞니가 걱정되어 다른 치과에 방문하셨지만,
그곳에서는 치료가 불가능하다는 진단을 받으셨다고 합니다.

치과에서는 신경관이 석회화돼서 신경치료가 불가능하고,
신경치료가 되지 않으니 실활치 미백도 불가능하다는 소견이었습니다.
뼈가 얇아서 임플란트도 어렵고,
옆 치아를 깎아서 브릿지를 하는 수밖에 없다는
절망적인 진단을 받으셨다고 하셨습니다.
환자분은 치아를 살릴 수 있는 방법을 찾아서
고민 끝에 저희 연세마이덴치과를 찾아주셨습니다.

저희 병원에서 방사선 촬영을 진행한 결과,
실제로 신경관이 석회화된 모습이 확인되었습니다.
정상적인 치아처럼 신경관이 중앙에 선명히 보여야 하지만,
해당 앞니 두 개는 뿌옇게 흐려져 거의 보이지 않았습니다.
하지만, 신경관이 보이지 않는다고
신경관이 존재하지 않는 것은 아닙니다.
석회화로 인해 찾기 어려울 뿐,
내부에는 여전히 신경관이 존재합니다.
즉, 신경관을 찾을 수만 있다면 신경치료는 가능합니다.
미세현미경을 통해 신경관을 최대한 정밀하게 찾아준다면
신경치료가 가능하다고 판단하였고,
신경치료와 실활치 미백을 함께 진행하는 치료 계획을 세웠습니다.

먼저 신경치료를 위해 치아 중심에 구멍을 내고,
미세현미경으로 신경관을 찾기 시작했습니다.
우려와는 달리, 비교적 빠르게 신경관을 찾을 수 있었고,
손상된 신경을 제거한 후 내부를 깨끗하게 소독하여
신경치료를 마무리했습니다.
신경치료가 성공적으로 마무리된 후에는
변색된 앞니의 색을 되살리기 위해서
실활치 미백을 3회에 걸쳐 진행하였습니다.
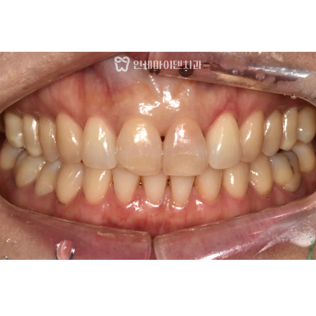
석회회로 변색된 앞니 실활치 미백 전후 비교

치료 불가능 진단까지 받았던 앞니를
신경치료와 실활치 미백 3회만으로 해결하였습니다.
치료 전 변색되어 어두웠던 앞니는
확연히 밝아져서 옆 치아와도 차이가 잘 느껴지지 않습니다.
또한 외상으로 일부분 깨져 있던 앞니는
레진 수복을 통해 자연스럽게 복원하였습니다.

내부가 보이지 않을 정도로 석회화되었던 신경관도
신경치료를 통해 해결하였습니다.
이 환자분은 타 치과에서 치료 불가 진단을 받았고,
최악의 경우 발치 후 브릿지 치료까지 고려하고 계셨던 상황이었습니다.
그러나 저희 연세마이덴치과를 찾으시고
신경치료, 실활치 미백, 레진 수복만으로 치료할 수 있었습니다.
환자분께서는 치료가 불가능하다던 앞니가
이렇게 간단히 해결되어 허무하기도 하지만,
치아를 살릴 수 있어서 정말 다행이라며 감사의 인사를 전해주셨습니다.
이 환자분은 현재까지도 저희 연세마이덴치과에서
정기 검진을 꾸준히 이어가고 계십니다.
이 사례처럼 똑같은 상태의 환자라도
어떤 장비와 기술을 가진 치과를 만나느냐에 따라
치료 방향이 완전히 달라질 수 있습니다.
특히, 석회화된 신경관처럼 미세한 진단과 치료가 필요한 경우에는
미세현미경과 같은 장비와 의료진의 숙련도 등이
치료 성패를 좌우할 수 있습니다.
좋은 증례와 좋은 성공 케이스가 많은 곳이라면
고난이도 치료도 성공할 확률이 높아질 수 있습니다.
저희 연세마이덴치과는 분과별 전문의 협진을 통해
<내치아 살리기 프로젝트>를 진행하고 있습니다.
치아 변색, 신경치료, 앞니 미백 등 궁금하신 부분이 있으시면
언제든지 저희 연세마이덴치과로 연락주세요.
읽어주셔서 감사합니다.
더 자세한 내용을 확인하고 싶다면
아래 링크를 통해 유튜브 영상을 시청해보세요!
▼▼▼

예약 및 상담 02.6263.2828



