안녕하세요, 소중한 치아를 지키는
연세마이덴치과입니다.
오늘은 융합치를 가진 환자분의
발치 교정 사례를 소개해드리겠습니다.
불규칙한 치열과 비대칭, 그리고 융합치로 인해 발생한
기능적, 심미적 문제를 교정치료로 어떻게 해결했는지 살펴보겠습니다.
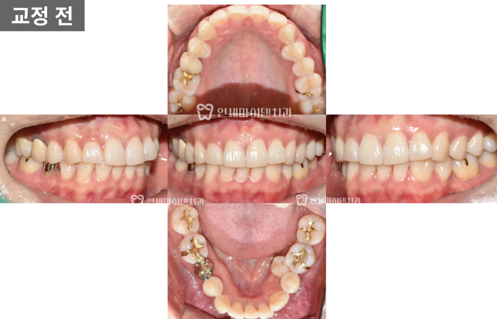
융합치로 인한 비대칭과 부정교합

이 환자분은 30대 여성분으로
고르지 못한 치열과 비대칭 때문에 저희 병원에 오셨습니다.
정밀 검사 결과, 왼쪽 아래 두번째 작은 어금니와 송곳니가
하나로 붙어있는 융합치였습니다.
또, 치축이 왼쪽으로 기울어져 있었고,
왼쪽 앞니의 위치도 약간 틀어져 있는 상태였습니다.

융합치란 두 개 이상의 치아가 발달 과정에서
하나로 붙어서 자란 치아를 의미합니다.
이 경우 뿌리는 하나지만 머리가 두 개로 나뉘는 구조를 가지며,
영유아기의 유치에서 많이 발견되지만,
영구치에서도 나타날 수 있습니다.

이 환자분은 왼쪽 치아의 길이가 상대적으로 짧고
그로 인해 중심선이 왼쪽으로 치우친 모습이었습니다.
얼굴 전체의 골격적인 이상은 없었지만
수직으로 짧은 얼굴형 때문에
아래 입술이 돌출돼 보이는 인상이 있었습니다.
돌출입 발치교정 과정

이 환자분의 경우 입술 돌출이 아주 심한 편은 아니었으나,
환자분께서는 입을 가능한 한 많이 넣는 방향의 치료를 원하셨습니다.
이에 따라 비발치 교정과 발치 교정을 모두 설명드렸고,
충분한 상담 후 발치 교정을 진행하기로 하였습니다.
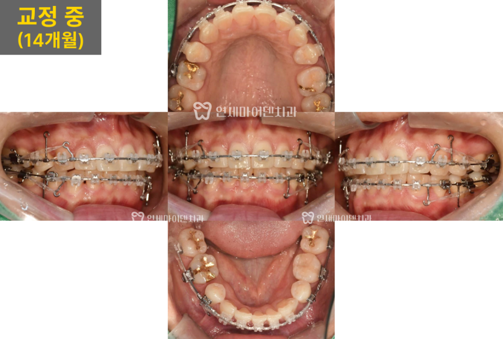
보통 발치 교정 시에는 송곳니 뒤쪽의
4번째 작은 어금니를 발치하지만,
이 환자분은 좌측 5번 치아가 안쪽으로 맹출되어 있었고,
우측 5번 치아는 과거 신경치료 이력이 있었습니다.
교정과 전문의 1대1 맞춤형 진단을 통해
상하좌우 모두 5번 치아를 발치하는 계획을 세우고
치아 교정을 시작하였습니다.

교정 시작 14개월 차에는 발치 공간이 점차 닫히면서
치아 배열이 안정화되었습니다.
또한, 아래 앞니의 치축도 바르게 세워지고
치우쳤던 중심선도 어느 정도 개선되었습니다.
발치 교정 전후 비교

26개월의 치료 기간을 통해
비대칭이 있던 치열은 가지런해졌고,
쓰러져 있던 아래 앞니는 교합에 맞게 정렬되었습니다.
다만, 좌측의 융합치 구조상 어금니 교합은
다소 지그재그하게 형성되었으나
기능적으로 무리가 없도록 상하 교합을
안정적으로 맞춰서 교정치료를 마무리하였습니다.

또한, 안쪽으로 맹출되었던 좌측 어금니와
신경치료 받았던 우측 어금니를 발치한 공간도
교정 치료 과정에서 잘 닫혀 정렬되었습니다.
악궁의 전후방 길이도 줄어들어서
둥글고 이상적인 형태로 교합이 형성되었습니다.

환자분이 가장 원하셨던 입술 돌출 개선 또한
만족스럽게 이루어졌습니다.
발치 공간을 이용해 위아래 치아가 후방으로 이동하면서
입술의 전방 돌출이 줄어들었습니다.
이로 인해 비순각이 증가하면서
입술과 코의 조화가 좋아진 것을 확인할 수 있습니다.
실제로 입술의 물리적 돌출량이 크게 줄지 않았더라도
비순각의 변화로 인해 시각적으로 입이 들어간 인상을 만들 수 있었습니다.
융합치, 조기 진단이 중요합니다.
융합치는 유치에서 발견되면
영구치에서도 유사한 형태로 나타날 가능성이 있습니다.
특히 융합치로 인해 치아 개수에 이상이 생기거나
교합에 영향을 줄 수 있으므로
조기 진단과 관리가 매우 중요합니다.
영유아 구강검진 시 치아 개수나 모양의 이상 유무를 확인할 수 있으며,
융합치가 확인되면 예방적 교정치료를 고려하는 것이 좋습니다.
이상으로 융합치를 가진 성인 환자의 발치 교정 치료 증례를 소개해드렸습니다.
특이한 치아 형태로 인한 교합 문제도
정확한 진단과 맞춤형 치료 계획을 통해 충분히 개선이 가능합니다.
치아 교정에 대해 궁금한 점이 있으시면
언제든지 저희 연세마이덴치과로 연락주세요.
연세마이덴치과는 교정과 전문의 맞춤형 진단과
분과별 협진으로 대학병원급 수준높은 진료 서비스를 제공하고 있습니다.
읽어주셔서 감사합니다.
더 자세한 내용을 확인하고 싶다면
아래 링크를 통해 유튜브 영상을 시청해보세요!
▼▼▼

예약 및 상담 02.6263.2828



