안녕하세요, 소중한 치아를 지키는
연세마이덴치과 닥터꼬집입니다.
오늘은 턱관절에 불편함을 느끼셨던 환자분의
골격적 비대칭과 부정교합을 개선한 교정 치료 사례를 소개해드리겠습니다.
이 환자분은 이전에 다른 치과에서 브라켓 교정을 통해
치아 배열을 한차례 맞추셨던 분입니다.
하지만 교합이 들떠 있고 턱관절 통증이 지속되어
턱 질환을 치료하는 치과에서도 별도로 치료를 받으셨습니다.
여러 치료를 거친 뒤에도 비대칭과 부정교합 문제가 해결되지 않아
고민하신 끝에 저희 병원을 찾게 되셨습니다.
진단: 골격적 문제와 교합 이상

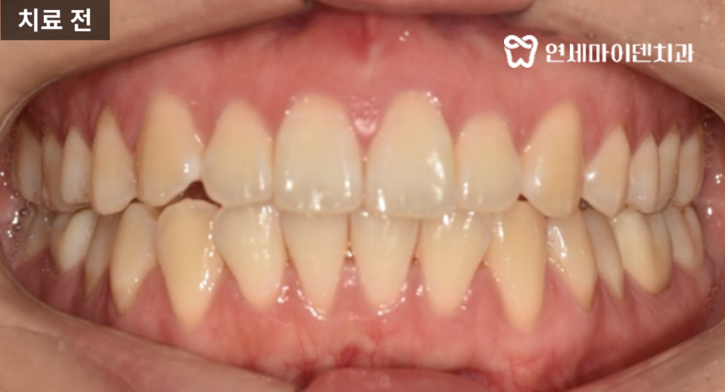
내원 당시, 환자분은 어금니에 레진을 올려 교합면을 높인 상태였습니다.
하얀 레진이 군데군데 올라가 있었고,
이로 인해 작은 어금니와 앞니가 맞물리지 않는 ‘교합 이탈’ 상태였습니다.

방사선 검사 결과, 위턱과 아래턱의 성장 차이로 인해
골격성 2급 부정교합이 확인되었으며,
특히 앞니의 정상 각도가 105도 내외인 반면
환자분은 100도가 되지 않아서 앞쪽으로 튀어나온 모습이었습니다.
정면 사진에서는 중심선이 우측으로 틀어진 안면 비대칭이 관찰되었으며,
이러한 비정상적인 교합은 턱관절에 부담을 줄 수 있어
신중한 진단과 치료 계획이 필요하다고 판단하였습니다.
턱관절 평가 및 치료 계획 수립
턱관절 증상이 남아 있는 상태에서는
교정 치료가 오히려 증상을 악화시킬 수 있습니다.
먼저 대학병원 구강내과에 진료 의뢰를 진행하였습니다.
충분한 진단과 치료를 통해 턱관절 통증과 불편감이 안정된 이후,
본격적인 교정 치료를 시작하였습니다.

환자분의 치아를 전체적으로 살펴보면,
어금니 쪽에 하얗게 올려져있는 레진이 보입니다.
특히, 끝에서 두 번째의 큰 어금니들의 크라운이 높게 만들어져 있어서
송곳니나 작은 어금니들 모두 교합이 안되고 뜨는 상태였습니다.

또, 이전 교정 치료 중 위쪽 앞니의 치간 삭제를 많이 해서
아래 앞니와 사이즈가 비슷할 정도로 치아가 갈려있는 상태였습니다.
이런 환자분의 상태를 꼼꼼히 확인해서 치료 계획을 크게 2가지로 나누었습니다.
치료 계획은 크게 두 가지 방향으로 나뉘었습니다.
- 기존 레진 및 높게 제작된 크라운 제거
→ 원래의 교합 상태로 회복시켜 과도한 높이를 조정하였습니다. - 치아의 전체적인 후방 이동 및 중심선 교정
→ 비대칭을 해소하고 입술 돌출을 줄이기 위한 방향으로 설정하였습니다.
교정 진행과정: 중심선과 교합 회복

치료 초기에는 미니스크류를 활용하여 어금니와 앞니를 후방으로 이동시켰습니다.
특히 아래 치열을 왼쪽으로 이동시켜 틀어진 중심선을 맞추었습니다.
이 과정에서 턱관절의 상태를 정기적으로 체크하며
교합 조정이 관절에 무리를 주지 않도록 세심하게 조절하였습니다.
약 15개월 경과 시점에는 중심선이 상당 부분 맞춰졌고,
어금니 교합도 안정적으로 정돈된 것을 확인할 수 있었습니다.
치료 결과: 비대칭과 부정교합의 개선

2년간의 교정 치료 종료 후,
처음보다 훨씬 안정된 교합과 균형 잡힌 안모를 확인할 수 있었습니다.
- 앞니 돌출 개선 및 입술 곡선 변화
- 틀어졌던 중심선의 정렬
- 레진 제거 후 안정된 교합 회복
- 턱관절 통증 재발 없이 안정된 유지

교정 전후의 사진을 비교해 보면
전체 치아 배열과 골격 밸런스가 개선되었고,
기능적·심미적으로 모두 만족스러운 결과를 얻었습니다.
턱관절 환자의 교정 치료, 어떻게 해야 할까요?
턱관절 질환이 있는 경우에도
적절한 진단과 관리가 병행된다면
안전하게 교정 치료를 받을 수 있습니다.
하지만 다음과 같은 점을 반드시 고려해야 합니다.
- 치료 전, 턱관절 상태에 대한 정확한 평가
- 증상이 있을 경우, 구강내과 또는 관련 전문과 진료 병행
- 교정 치료 중 증상 변화에 대한 지속적인 관찰
- 과도한 치아 이동을 피하고, 관절에 무리가 가지 않도록 계획 조정
연세마이덴치과는 복합적인 교합 문제와
턱관절 질환을 함께 고려한 치료 경험이 풍부합니다.
또 교정과 전문의 환자 맞춤형 진단과 협진을 통해
안전하고 체계적인 치료를 진행하고 있습니다.
이번 포스팅에서는
턱관절 질환이 동반된 교정 치료 사례를 소개해드렸습니다.
더 궁금한 점이 있으시다면
언제든지 저희 연세마이덴치과로 편하게 문의주시기 바랍니다.
읽어주셔서 감사합니다.
더 자세한 내용을 확인하고 싶다면,
아래 링크를 통해 유튜브 영상을 시청해보세요!
▼▼▼

예약 및 상담 02.6263.2828



