치근첨 형성술 3년 증례: 성장기 신경치료
※ 본 글은 연세마이덴치과 의료진이 직접 진료한
실제 치료 사례를 바탕으로 작성되었습니다.
안녕하세요, 소중한 치아를 지키는
연세마이덴치과 닥터꼬집입니다.
이번 증례는
성장기 11살 아이의
왼쪽 아래 작은 어금니가
흔들리는 증상으로 내원한 케이스입니다.
성장기에는 유치 교환 과정이 있기 때문에
치아가 흔들리는 것이 자연스러운 경우도 있지만,
이미 올라온 영구치가 흔들린다면
단순한 성장 과정이 아닌
다른 원인을 반드시 확인해야 합니다.
충치가 없는데도 신경이 죽을 수 있을까

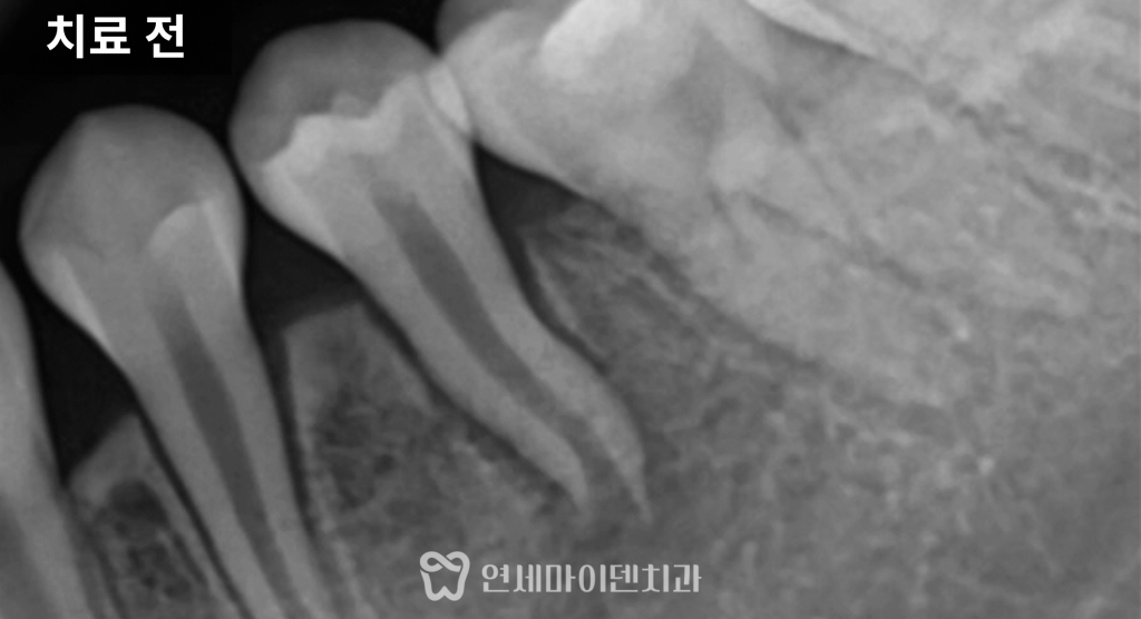
엑스레이를 확인해보니
해당 치아는 뿌리 끝이 완전히 닫히지 않은
성장 중인 상태였습니다.
하지만 충치는 보이지 않았음에도
뿌리 주변 뼈가 녹아 있는
염증 소견이 확인되었습니다.

이처럼 겉으로 충치가 없는데도
신경이 손상되는 경우가 있습니다.
이번 케이스의 원인은
‘치외치(치아 안에 또 다른 치아 구조가 있는 경우)’였습니다.
치아 내부에 형성된 구조가
뿔처럼 돌출되어 있다가
어느 순간 부러지면서
신경이 구강 내로 노출되고
세균이 침투해 신경이 괴사된 상황이었습니다.
이 과정에서 통증 없이 진행되다가
뒤늦게 흔들림과 염증으로 나타나는 경우도
적지 않습니다.
성장기 영구치, 치료 접근이 다른 이유

이런 경우에는
신경치료가 불가피합니다.
다만 성장기 치아는
성인과 동일하게 접근하면 안 됩니다.
가장 중요한 목표는
치아를 단순히 유지하는 것이 아니라
뿌리가 계속 성장할 수 있는 환경을
만드는 것입니다.
과거에는 뿌리 끝을 막는
치근단 폐쇄술을 많이 시행했지만,
이 방법은 염증은 해결할 수 있어도
뿌리 성장이 멈추는 단점이 있습니다.
그래서 이번 케이스에서는
치근단 형성술을 선택했습니다.

이 치료는 뿌리 끝의 살아있는 조직을 최대한 보존해
시간이 지나면서 뿌리 길이와 두께가
자연스럽게 성장하도록 유도하는 방법입니다.
치료 과정과 보존적 마무리
치아 내부 감염을 제거하기 위해
신경치료를 진행했지만,
뿌리 끝까지 완전히 밀폐하는 방식이 아니라
성장을 고려해 중간 단계까지 치료를 진행했습니다.

또한 아직 성장기라는 점을 고려해
크라운과 같은 보철 치료는 진행하지 않고,
레진으로 외형을 보존하는
보존적인 방식으로 마무리했습니다.
이렇게 하면
치아 삭제를 최소화하면서
성장 가능성을 유지할 수 있습니다.
3년 경과, 치아의 변화

치료 후 가장 먼저 확인된 변화는
치아의 흔들림이 사라졌다는 점입니다.

이후 경과를 관찰한 결과
3년이 지나면서
뿌리 길이가 점차 늘어나고
두께도 함께 증가한 모습이 확인되었습니다.


이는 치근단 형성술을 통해
뿌리 성장이 정상적으로 진행되었다는 의미입니다.
결과적으로
발치 없이 자연치아를 유지하면서
장기적으로 사용할 수 있는 기반을
마련한 케이스입니다.
성장기 영구치는
성인 치아와 전혀 다른 기준으로
접근해야 합니다.
단순히 염증을 제거하는 것에 그치지 않고,
앞으로의 성장 가능성을 고려한
치료 계획이 필요합니다.
치근단 폐쇄술은 빠르게 염증을 해결할 수 있지만
뿌리 성장을 멈추게 할 수 있고,
치근단 형성술은 시간이 필요하지만
치아의 구조를 더 건강하게
유지할 수 있는 방법입니다.
성장기 치아에서
이러한 판단은 매우 중요하기 때문에,
복잡한 케이스일수록
보존과적인 정밀 평가를 통해
치료 방향을 결정하는 것이 좋습니다.
감사합니다.
더 자세한 내용을 확인하고 싶다면
아래 링크를 통해 유튜브 영상을 시청해보세요!
▼▼▼
