안녕하세요, 소중한 치아를 지키는
연세마이덴치과 입니다.
오늘은 잇몸 건강이 좋지 않았던
50대 환자분의 치아교정 증례를 가져왔습니다.
치아 교정은 대부분 10대에서 30대 사이에
많이 진행하시는데요,
성장이 끝나기 전 치아 교정을 하는 것이
치아 이동이 더 수월하고 치료 기간도 짧기 때문입니다.
반대로 성장이 모두 끝난 후에는 치아 이동 속도가 느려지고
잇몸 건강이나 전신 질환 등
리스크가 커져서 치료가 까다로워질 수 있습니다.
오늘 치료사례는 중장년층인 50대 환자분이
치아 교정과 임플란트 협진으로
치아건강을 회복한 증례입니다.
50대 치아 교정, 임플란트 가능할까요?

이 환자분은 50대 남성분으로
오른쪽 아래 어금니 2개가 이미 결손된 상태였고,
해당 부위에는 임플란트 식립이 필요했습니다.
하지만 인접한 치아가 옆으로 심하게 쓰러져 있어서,
임플란트를 위한 공간이 전혀 확보되지 않은 상황이었습니다.
타 치과에서는 임플란트가 불가능하다는 진단을 받으셨지만
치아교정과 임플란트 협진이 가능한
저희 연세마이덴치과로 찾아오신 환자분입니다.

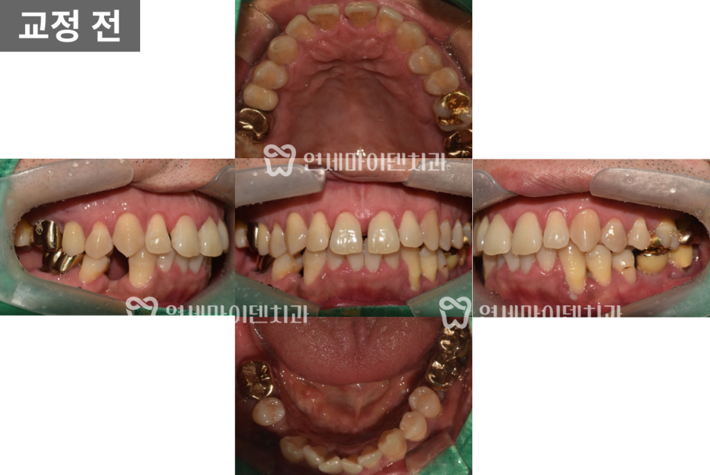
초진 시 구강 내 사진을 보면
아랫니가 안쪽으로 많이 쓰러져 있었습니다.
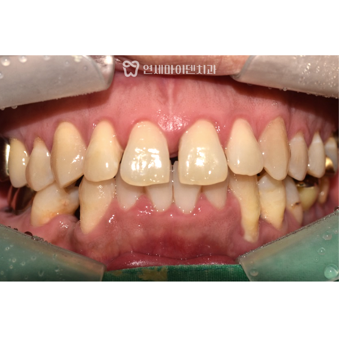
또, 앞니 사이도 많이 벌어져 있어서
심미적으로 좋지 않은 모습이었습니다.
게다가 아래 송곳니 주변의 잇몸은 많이 내려가 있고,
잇몸 염증까지 보이는 상황이라서
치아 교정이나 수복을 바로 시작하기에는
여러가지 제약이 있었습니다.

방사선 사진에서는 추가적인 골격 문제도 확인됐습니다.
아래턱이 아래로 처지고 턱끝이 덜 발달된
골격성 2급 부정교합이 관찰되었습니다.
치아는 깊게 물리는 과개교합 상태로,
아랫입술이 돌출되어 보였습니다.

전체적으로 봤을 때, 심미적인 개선이 꼭 필요한 상황이었고,
기능적으로 교합이 안정되지 않아서
치아 교정이 꼭 필요한 상태였습니다.
여러 검사를 통해 치아 배열, 골격 구조, 잇몸 상태를
종합적으로 정밀 진단해서 맞춤형 치료 계획을 세웠습니다.
치아가 쓰러지고 공간이 부족하며, 잇몸 건강도 좋지 않았기 때문에
발치가 필요한 치아는 미리 제거하고,
치주 치료를 통해 염증을 조절하면서
치아 교정과 임플란트 치료를 병행하는
분과별 협진 치료 계획을 세웠습니다.
중장년층 교정치료 과정과 전후

환자분은 교정 장치를 장착한 후
약 9개월 정도 치아 교정을 먼저 시작했습니다.
그 결과, 처음에 벌어져 있던 앞니 사이의 공간이
안정적으로 닫힌 것을 볼 수 있습니다.
아랫니 역시 많이 쓰러져 있던 치아들이
똑바로 세워져 임플란트 식립 공간을 확보했습니다.

이후 교정 시작 약 1년 6개월 만에
임플란트 식립과 치아 교정까지 마무리 하였습니다.
치열은 가지런하게 정리되었고, 처음 진단 때와 비교하면
눈에 띄게 달라진 모습을 확인할 수 있습니다.

특히 처음에 걱정했던 잇몸 염증도 치주치료와 병행해서
치료 과정 중 잇몸이 더 내려가거나 건강이 악화되는 일 없이
치료 마무리까지 잘 유지되었습니다.
무엇보다도 환자분께서 치료 계획에 매우 협조적이셨고,
관리도 잘 해주신 덕분에
1년 반이라는 비교적 짧은 기간 내에
치료를 안정적으로 마무리 할 수 있었습니다.
저의 연세마이덴치과의 협진 시스템과 환자분의 꾸준한 관리가
좋은 결과를 만든 대표적인 증례입니다.
중장년층 치아 교정, 유의할 점은?

치과를 찾으시는 중장년층 환자분들께서
가장 많이 하시는 질문 중 하나는
“지금 나이에 교정이 가능할까요?” 인데요.
결론부터 말씀드리면,
중장년층도 치아 교정 가능합니다.
물론 나이가 들면서 잇몸 뼈가 줄어들거나
염증이 진행되는 경우가 많기 때문에
젊은 시절처럼 튼튼한 상태에서 시작할 수는 없습니다.
하지만 진행 중인 염증을 잘 조절하고,
무리가 가지 않도록 단계적으로 맞춤형 계획을 세운다면
대부분의 환자분들이 치아 교정이 가능합니다.
중장년층 교정에서 가장 중요한 점은
모든 치아를 완벽하게 맞추는 것보다
기능적으로 필요한 부분을 중심으로 개선하고
잇몸과 치아에 무리가 없도록 맞춤형 접근을 해야한다는 것입니다.
10대처럼 이상적인 교합을 100% 목표로 삼기보다는
생활에 불편을 줄이고 임플란트 등 치료가 가능하도록
공간을 확보하거나 치아를 정열하는 것이 더 중요한 목표가 될 수 있습니다.
중장년층에서 치아교정을 고려하신다면
교정과 정문의와 충분한 상담과 정밀 진단 후
필요시 잇몸 전문 진료와 협진이 가능한 치과에서
계획을 세우는 것이 안정적인 치료로 이어질 수 있습니다.
저희 연세마이덴치과는
교정과, 치주과, 보존과, 보철과 각 분과별 전문의 협진으로
더욱 안전하고 믿을 수 있는 치료가 가능합니다.
상담이 필요하시면 언제든 저희 연세마이덴치과로 연락주세요.
읽어주셔서 감사합니다.
더 자세한 내용을 확인하고 싶다면
아래 링크를 통해 유튜브 영상을 시청해보세요!
▼▼▼

예약 및 상담 02.6263.2828



