60대 중장년층 치아교정: 치주환자 발치교정 증례
※ 본 글은 연세마이덴치과 의료진이 직접 진료한
실제 치료 사례를 바탕으로 작성되었습니다.
안녕하세요, 소중한 치아를 지키는
연세마이덴치과 닥터꼬집입니다.
치아교정은 흔히 10대나 20대 청소년,
젊은 성인만을 위한 치료라고 생각하기 쉽습니다.
하지만 실제 진료 현장에서는
중장년층에서도 교정치료를 계획하고
진행하는 경우가 적지 않습니다.
다만 중장년층 치아교정은
젊은 연령대와는 접근 방식이 다릅니다.
가장 중요한 차이점은 잇몸 상태와
기존 치료 이력을 함께 고려해야 한다는 점입니다.
이번 글에서는 중장년층 교정치료가
어떤 과정을 거쳐 진행되는지,
실제 케이스를 바탕으로 정리해 보겠습니다.
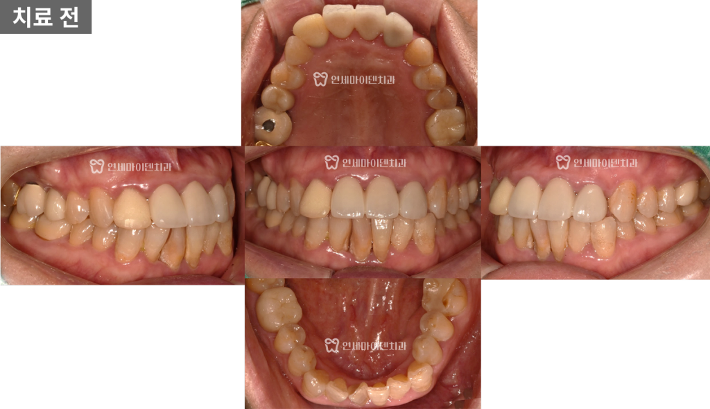
초기 진단에서 확인된 상태

중장년층 환자분들은 이미 과거에
보철 치료를 받아본 경험이 있는 경우가 많습니다.
이번 사례에서도 윗앞니 일부가
보철물로 연결되어 있었고,
아래 앞니는 배열이 고르지 못한 상태였습니다.
시간이 지나면서 기존 보철물의 심미성이 떨어졌고,
과거 교정 이후 다시 치아 사이에 틈이 생긴 점이
불편함으로 이어져 치료를 결정하게 되었습니다.
단순히 치아 배열만의 문제가 아니라,
기존 보철 상태와 현재의 교합 관계를
함께 살펴봐야 하는 상황이었습니다.
3급 부정교합의 특징과 잇몸 상태

검사 과정에서 치석이 많이 쌓여 있고,
잇몸이 전반적으로 부어 있으며
잇몸뼈가 내려간 소견이 확인되었습니다.
일부 치아 뿌리 끝에는
염증 소견도 동반되어 있었습니다.

방사선 사진에서는 윗턱보다 아래턱이
상대적으로 발달한 3급 부정교합(주걱턱) 이었고,
위턱 앞니는 앞으로 뻐드러진 상태였습니다.
이러한 골격적·치성적 특징은 치아 배열뿐 아니라
전체 교합 관계에도 영향을 주고 있었습니다.
발치 교정을 선택한 이유

이번 케이스는 중장년층이라는 특성을 고려해
단순히 치아를 가지런히 배열하는 데에만
초점을 맞출 수는 없었습니다.
치주 상태와 향후 보철 계획까지 함께 고려한 결과,
예후가 좋지 않을 것으로 예상되는 아래 앞니 일부는
발치 후 교정을 진행하는 계획을 세우게 되었습니다.
발치로 생긴 공간은 교정 과정에서
서서히 닫아가며 배열을 개선하고,
교정이 마무리된 이후에는
상악 앞니 보철을 다시 진행하는 방식입니다.
치료 과정의 단계별 변화

발치 후 치아 교정 장치를 부착하고
배열을 시작했습니다.
치료 중 심미적인 불편함을 최소화하기 위해
임시 레진을 보충하며 진행했습니다.

3개월 차
발치 공간이 점차 줄어들기 시작했고,
임시 보철과 레진을 통해 외관상의 불편함을 보완했습니다.

12개월 차
공간이 상당 부분 닫히면서
송곳니 위치도 정상적인 배열에 가까워졌습니다.

18개월 차
치아 사이 공간, 이른바 블랙 트라이앵글이 많이 감소했고
전체 배열이 안정적으로 정리되었습니다.
잇몸 상태를 고려해 치료 속도를 조절했기 때문에
치료 기간은 다소 길어졌습니다.
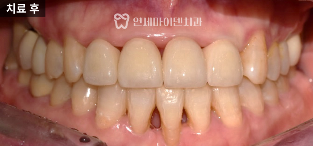
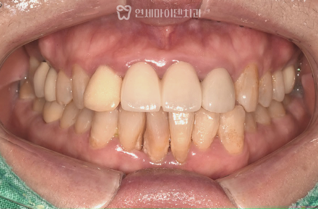
치료 결과와 변화

교정 마무리 후 상악 앞니는 새로운 보철물로 교체했고,
아래 앞니는 배열이 개선된 상태에서
교정장치를 제거했습니다.
방사선 사진 비교에서도
추가적인 잇몸뼈 손실은 관찰되지 않았으며,
일부 부위에서는 오히려 안정화된 모습이 확인되었습니다.
옆모습에서도 아래 앞니가 다소 뒤로 이동하고,
위앞니 보철의 심미성이 개선된 것을 확인할 수 있었습니다.
중장년층 교정치료의 현실적인 목표


중장년층 교정치료는 젊은 연령대의 치아교정과
동일한 목표를 설정하기 어렵습니다.
완벽하게 교과서적인 배열보다는
기능과 심미성을 함께 개선하는
현실적인 치료목표가 중요합니다.
잇몸 상태가 약한 경우에는 무리한 교정을 피하고,
가능한 범위 내에서 안전하게 개선해야 합니다.
보철 치료가 필요한 경우에는
교정과 보철을 연계한 계획이 필수적입니다.
치료 기간이 길어질 수 있고,
결과가 이상적인 배열과 다를 수 있다는 점도
사전에 충분히 이해하고 접근해야 합니다.
마무리하며
나이가 들어서 치아교정이 가능할지
고민하시는 분들이 많습니다.
하지만 적절한 진단과 계획이 동반된다면
중장년층에서도 충분히
치아교정을 진행할 수 있습니다.
다만 중장년층 치아교정은
젊은 연령대와는 전혀 다른 접근이 필요합니다.
교정뿐 아니라 보철, 치주 상태에 대한 평가를
함께 받는 것이 무엇보다 중요합니다.
연세마이덴치과는 교정과 전문의가
1대1 맞춤형 치료계획으로 진료하며,
분과별 전문의 협진으로
중장년층 치아교정, 임플란트 협진도
원스텝으로 가능합니다.
교정치료를 고민 중인 중장년층 분들께
이번 케이스가 참고 자료가 되길 바랍니다.
감사합니다.
더 자세한 내용을 확인하고 싶다면
아래 링크를 통해 유튜브 영상을 시청해보세요!
▼▼▼

예약 및 상담 02.6263.2828



