어린이 치아교정 증례: 매복 송곳니 견인교정
※ 본 글은 연세마이덴치과 의료진이 직접 진료한
실제 치료 사례를 바탕으로 작성되었습니다.
안녕하세요, 소중한 치아를 지키는
연세마이덴치과 닥터꼬집입니다.
오늘은 매복된 송곳니 문제로 내원한 10살 어린이 환자분의
치아 교정 증례를 소개해드리고자 합니다.
이 환자분은 “양쪽 영구치 송곳니가 나오지 않아요.” 라는
주소로 방문하셨습니다.
초등 고학년 시기에 송곳니 영구치가
맹출되기 시작한다는 점을 고려하면
확인이 필요한 상황이었습니다.
한쪽 송곳니는 뼈 사이에 매복되어 있었고,
다른 한쪽 역시 공간 부족으로 자연맹출이 어려운 상태였습니다.
단순한 교정만으로는 해결이 어려운 케이스였으나,
CT 기반 정밀 진단 + 보존과 협진을 통한 수술적 견인으로
영구치를 모두 보존하고 정상 배열까지 마무리한 사례입니다.
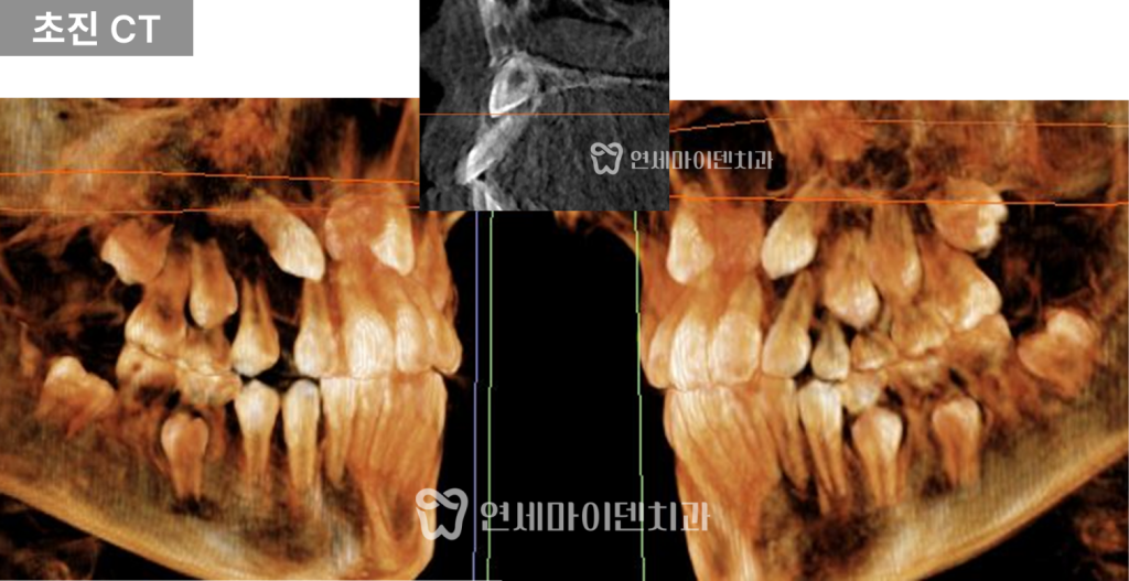
초기진단: 유치 조기 탈락과 송곳니 공간 부족

파노라마 사진을 통해 영구치 송곳니의 위치와 공간 문제를 확인하였습니다.
- 오른쪽 송곳니:
유치가 너무 일찍 빠지면서 공간이 닫혀,
영구치가 올라올 위치가 거의 사라진 상태였습니다. - 왼쪽 송곳니:
유치가 남아 있었지만 송곳니 크기 대비 공간 부족이 확인되었고,
특히 앞니 뿌리 사이로 매복되어 있어
앞니 뿌리 주변의 피질골도 일부 소실된 상황이었습니다.
이대로 송곳니가 자라게 되면
기존 앞니 뿌리를 밀어내어
발치까지 고려해야 하는 상황까지 이어질 수 있었습니다.

따라서 앞니 뿌리를 보호하면서
영구치를 모두 살리기 위해
교정 치료로 송곳니가
제 위치로 맹출되도록 유도하는 전략을 세웠습니다.
치료계획: 성장단계 고려, CT 정밀 진단
해당 환자분은 성장기 어린이였기 때문에
정확한 진단을 위해 다음 항목을 함께 확인했습니다.

- 손뼈 X-ray: 성장 속도 및 성장판 성숙도 평가
- CT: 매복 송곳니의 정확한 위치, 방향, 주변 치아 뿌리와의 거리 확인

진단 결과
- 오른쪽 송곳니:
공간만 확보한다면 자발적인 맹출 가능성이 높았습니다. - 왼쪽 송곳니:
위치가 치열 바깥쪽 전방에 있어
자연적으로 내려오기는 어려운 상태였고,
수술적 견인이 필요한 것으로 판단되었습니다.
치료과정

1️⃣초기엔 앞니와 어금니에 부분 장치를 부착해
송곳니가 내려올 공간을 확보했습니다.
2️⃣오른쪽 송곳니는 공간을 확보해
자발적으로 위치를 찾아 내려오기 시작했습니다.
3️⃣다만 왼쪽은 자발적으로 맹출되기 어려워보여,
수술적 견인을 진행했습니다.
✔협진을 통해 잇몸을 절개해 매복된 왼쪽 송곳니에 버튼을 부착하고,
와이어와 고무줄을 이용해 교정장치와 연결했습니다.
✔ 방향을 설정하여 치아가 바르게 맹출되도록 유도했습니다.

해당 환자분은 병원과 집의 거리가 멀어 내원 간격이 길었으며,
장치 파손 후 바로 내원하지 못하는 일이 반복되었습니다.
- 장치 방치로 인해 앞니 뿌리 흡수가 예상보다 조금 더 진행
- 매복된 송곳니가 앞니 뿌리를 자극
- 교정력 조절에 제약이 생겨 치료 난이도 상승
하지만 내원 시마다 장치를 보완하고
송곳니 위치를 세밀하게 조정하며 치료를 지속했습니다.
치료결과: 모든 영구치 보존, 배열 완료

약 32개월의 치아 교정 끝에
다음과 같은 결과를 얻었습니다.
- 모든 영구치 보존 성공
- 송곳니 포함 전체 치아 배열 정상화
- 앞니·어금니 교합 정리 완료
- 약간의 잇몸라인 비대칭 및 중심선 1mm 차이는 잔존
- 앞니 뿌리를 최대한 보존하면서 송곳니를 정상 맹출시킨 점이 큰 의의

이 케이스는 “송곳니를 발치하지 않고
살릴 수 있느냐”가 핵심이었던 만큼
정밀 진단과 협진의 중요성이
다시 한 번 확인된 치료였습니다.
성장기 치아교정, 주의사항
어린이 교정에 관해 학부모님들께서
많이 물어보시는 질문이 있는데요.
바로 “지금도 교정해야하고, 나중에도 교정해야 하는거면
그냥 한 번에 하면 안 되나요?” 라는 질문입니다.
하지만 교정 치료는 성장시기를 기준으로
치료 목표가 달라지기 때문에,
정확한 타이밍에 치료하는 것이 중요합니다.
● 초등학교 저학년 시기
공간이 부족해 치아가 비정상적으로 나거나,
송곳니가 매복되는 경우가 많습니다.
이 시기에는 악궁(치아가 날 공간)을 넓히고,
영구치가 제자리에 맹출될 수 있게 유도하는 게 주된 목표입니다.
● 성장 가속기 시기 (키가 많이 자라는 시기)
턱뼈의 성장 방향이 조화롭지 않다면,
위턱과 아래턱의 성장 속도를 조절하는 치료를 해야합니다.
● 영구치열기 이후 (중~고등학생 시기)
전체 배열 및 교합 기능 교정이 주요 목표가 됩니다 .
💥해당 성장 시기를 놓치면 조절할 기회를 잃게 되고,
한 번의 교정으로는 모든 문제를 해결하기 어렵습니다.
그래서 조기에 어린이 교정 검진을 받는 것이 중요합니다.
어린이 치아교정 시기

보통 초등학교 1~2학년 쯤 앞니가 영구치로 바뀌고,
큰 어금니가 맹출되기 때문에 이때 파노라마 사진을 찍고
교정 검진을 받아보는 것이 중요합니다.
이 환자분의 경우도 1년만 더 일찍 내원하셨다면,
매복된 송곳니가 자연 맹출했을 가능성이 높습니다.
💎연세마이덴치과는 각 환자에게 꼭 맞는
교정 시기와 치료 방향을 제시합니다.
● CT및 손뼈 성장판 사진을 통한 성장 평가
● 매복 위치 분석과 정밀 진단
● 협진 시스템을 통한 수술 연계
초등 저학년 앞니가 올라오는 시기,
한 번의 파노라마 촬영이
우리 아이의 치아를 지키는 첫걸음이 됩니다.

오늘은 어린이 환자의 매복 송곳니를
수술적 견인과 교정치료로 성공적으로 보존한 사례를 소개해드렸습니다.
연세마이덴치과는
- CT 및 손뼈 성장판 분석
- 매복치 위치 정밀 진단
- 보존과·교정과 협진 시스템
성장기 환자에게 가장 적절한 치료 시기와 방법을 제시합니다.
궁금하신 부분은 언제든지
저희 연세마이덴치과로 연락주세요.
읽어주셔서 감사합니다.
더 자세한 내용을 확인하고 싶다면
아래 링크를 통해 유튜브 영상을 시청해보세요!
▼▼▼

예약 및 상담 02.6263.2828



