부러진 치아 비발치교정 증례: 보존과 협진

안녕하세요, 소중한 치아를 지키는
연세마이덴치과 닥터꼬집입니다.

오늘은 앞니가 틀어지고 어금니가 깨진 환자분의
비발치 교정 사례를 소개해드리려고 합니다.

많은 분들이 치아가 많이 삐뚤빼뚤하거나 돌출된 경우에는
반드시 발치가 필요하다고 생각하시지만,

사실 모든 경우에 해당되는 것은 아닙니다.

환자분의 구강 구조와 치아 상태, 잇몸 건강, 교합 관계 등을 종합적으로 고려하면
비발치 교정만으로도 충분히 부정교합을 해결할 수 있는 경우가 있습니다.

이번 사례는 교정 치료와 보존 치료를 병행하여
발치 없이, 사랑니만 발치하는 방식으로
심미적 개선과 기능 회복을 모두 이룬 치료 증례입니다.

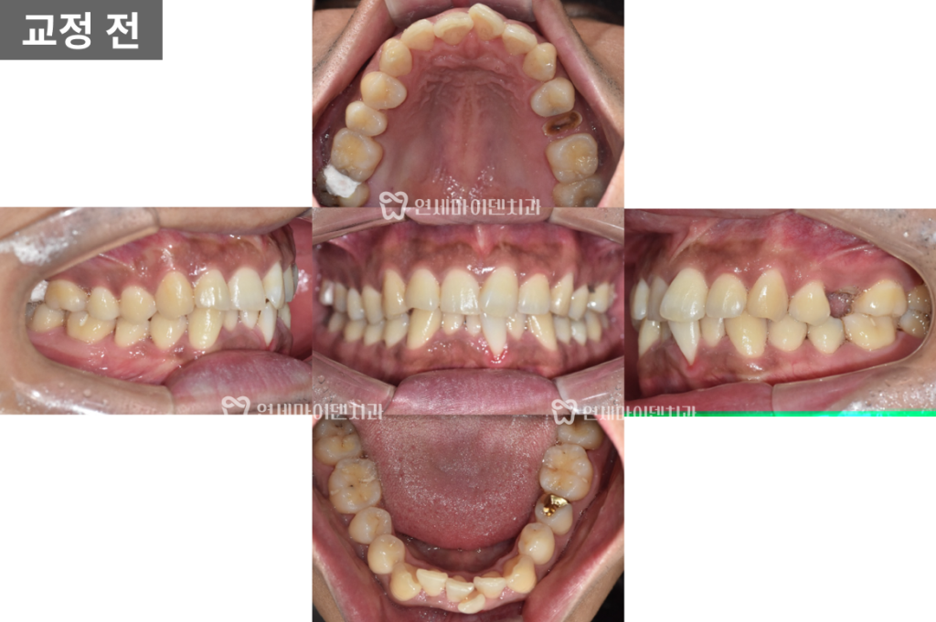
“치열이 삐뚤고 어금니가 깨졌어요”

환자분은 앞니가 틀어져 치열이 고르지 못하고,
작은 어금니가 깨져서 불편하다는 이유로 내원하셨습니다.

위아래 앞니 모두 불규칙하게 배열되어 있었으며,
특히 아래 앞니 한 개가 앞으로 심하게 튀어나와 있었습니다.

잇몸은 전반적으로 하방으로 내려간 상태여서
치아 돌출이 더 두드러져 보였습니다.

초진 파노라마 방사선 사진을 살펴보니,
왼쪽 위 작은 어금니는 머리 부분이 거의 소실되고 뿌리만 남아 있었습니다.

또, 사랑니가 세 개나 있어 전체적으로 공간이 부족했습니다.

아래 앞니의 겹침이 심했고, 아래쪽 잇몸이 전반적으로 내려가 있어
치주 건강에도 주의가 필요했습니다.

환자분은 부정교합 개선깨진 어금니 복원을 동시에 원하셨기 때문에
교정과와 보존과가 협진하여 치료 계획을 세웠습니다.

비발치 교정치료 계획

전체 교합 사진을 보면 어금니의 맞물림은 비교적 양호했으나,
전치부의 배열 불규칙이 심했습니다.

특히 앞으로 많이 돌출된 아래 앞니는 발치를 고려해야 할 정도였지만,
발치를 진행하면 잇몸이 더 소실되면서
블랙 트라이앵글이 심해질 위험이 컸습니다.

이러한 이유로 하악 전치부 발치는 피하고,
사랑니 세 개를 발치하여 필요한 공간을 확보한 후

비발치 교정으로 치열을 개선하기로 결정했습니다.

파절된 어금니는 치질이 거의 남아있지 않아서
바로 크라운을 씌울 수 없었습니다.

하지만 환자분이 30대 초반으로 젊으셨고
자연치 보존을 원하셨기 때문에

발치 후 임플란트 대신
치아를 정출시킨 후 크라운을 씌우는 치료 계획을 세웠습니다.

이렇게 함으로써 자연치를 가능한 한 오래 유지하면서
심미성과 기능성을 동시에 살릴 수 있도록 하였습니다.

비발치 교정 기간, 과정

치아 교정은 약 2년 2개월간 진행되었습니다.

사랑니를 발치한 뒤 송곳니부터 뒤 어금니까지
후방 이동을 통해 공간을 만들었습니다.

또, 심하게 겹쳐 있던 하악 전치부를 고르게 배열했습니다.

치료 전 우려했던 잇몸 라인 변화는 최소화되었고,
기능적으로 안정적인 교합을 완성할 수 있었습니다.

위쪽의 깨진 어금니 부위는
교정 기간 동안 임시치아를 부착하여 사용하였습니다.

정출이 완료된 후 크라운을 장착하여
심미적으로도 완성도 높은 결과를 얻을 수 있었습니다.

정출 과정에서는 잇몸 건강에 무리가 가지 않도록
생물학적 폭경인 3mm 이내에서만 진행했습니다.

치료가 끝난 후 환자분은 발치 없이 비발치 교정으로 치아 배열을 바로잡고,
동시에 깨진 어금니를 살릴 수 있었다는 점에 매우 만족하셨습니다.


더 자세한 내용을 확인하고 싶다면
아래 링크를 통해 유튜브 영상을 시청해보세요!
▼▼▼

연세마이덴치과는 가능하다면 자연치 보존을 우선으로 하고
발치는 최후의 선택으로 두고 있습니다.

하지만 모든 환자분에게 동일한 방법이 적용되는 것은 아니며,
치아 상태와 잇몸 건강, 교합 구조에 따라
최적의 치료 계획은 달라질 수 있습니다.

따라서 발치 진단을 받았더라도
교정적으로 살릴 수 있는 가능성이 있는지,
교정과 전문의와 상담을 받아보시는 것이 좋습니다.

저희 연세마이덴치과교정과 전문의 1대1 맞춤 진단으로
분과별 전문의가 협진하여 치료하고 있습니다.

궁금하신 부분은 언제든지 연세마이덴치과로 연락주세요.

읽어주셔서 감사합니다.


더 자세한 내용을 확인하고 싶다면
아래 링크를 통해 유튜브 영상을 시청해보세요!
▼▼▼

예약 및 상담 02.6263.2828

Similar Posts