재신경치료 6년 증례: 잇몸 고름과 변색

재신경치료 6년 증례: 잇몸 고름과 변색

※ 본 글은 연세마이덴치과 의료진이 직접 진료한
실제 치료 사례를 바탕으로 작성되었습니다.


안녕하세요, 소중한 치아를 지키는
연세마이덴치과 닥터꼬집입니다.

잇몸에 염증이나 고름이 생겨도
크게 아프지 않다는 이유
그대로 두는 분들이 생각보다 많습니다.

하지만 증상이 가볍게 느껴지더라도
염증은 멈추지 않고 서서히 진행되며,
시간이 지나면
치아를 잃는 결과로 이어질 수 있습니다.

겉으로 드러나는 증상보다
치아 내부와 잇몸뼈에서
어떤 일이 벌어지고 있는지가
훨씬 중요합니다.

잇몸 염증, 자가진단 체크리스트

다음 항목 중
해당되는 내용이 있다면
전문의 상담을 받아보시는 것이 좋습니다.

  • 잇몸에 여드름 같은 것이 반복적으로 생긴다
  • 과거에 신경치료를 받은 치아가 있다
  • 잇몸 색이 부분적으로 변해 있다
  • 가끔 피가 나거나 고름이 나온다
  • 컨디션에 따라 증상이 좋아졌다 나빠졌다 한다

이러한 증상은
일시적인 문제가 아니라
만성 염증의 신호일 수 있습니다.

잇몸 염증, 항생제로 해결될까요?

잇몸 고름이 생기면
항생제를 처방받는 경우가 많습니다.

항생제를 복용하면
며칠간은 증상이 줄어들고,
잇몸 여드름도 사라진 것처럼 보일 수 있습니다.

하지만 시간이 지나면
다시 고름이 올라오는 경우가 많고,
항생제를 먹고 좋아졌다가
재발하는 악순환이 반복되기도 합니다.

이는 항생제가
원인을 제거하는 치료가 아니기 때문입니다.

[잇몸 염증의 주요 원인 4가지]

잇몸에 염증이나 고름이 생기는 원인
하나로 단정할 수 없습니다.

대표적인 원인은 다음과 같습니다.

  • 과거 신경치료가 불완전해 뿌리 끝에 염증이 남아 있는 경우
  • 잇몸병, 치주질환이 원인이 되는 경우
  • 깊은 충치로 세균이 치아 내부까지 침투한 경우
  • 치아 크랙으로 인해 뿌리 쪽에 염증이 발생한 경우

이처럼 원인이 다양하기 때문에
겉으로 보이는 고름만으로는
정확한 진단이 어렵습니다.

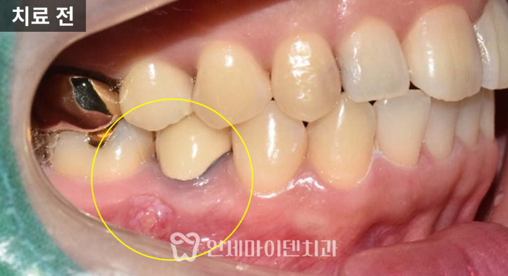
염증 치아 보존, 실제 케이스

오늘 소개해드릴 사례는
과거 신경치료를 받았던 치아에서
잇몸 고름이 주기적으로 발생하던 케이스입니다.

통증은 심하지 않았지만
잇몸 색이 변했고,
고름이 올라왔다가 사라지기
오랫동안 반복하고 있었습니다.

장기간 방치하면서
잇몸뼈는 상당히 녹아 있었고,
반대편 치아는 이미 비슷한 문제로
발치한 상태였습니다.

근본적인 치료, 재신경치료

이 치아를 살리기 위해
선택한 치료는 재신경치료였습니다.

미세현미경을 이용해
기존 신경치료에서
도달하지 못했던 뿌리 끝까지 접근
세균을 철저히 제거하고
내부를 깨끗하게 소독한 뒤
다시 밀폐했습니다.

이 과정에서
고름을 억지로 짜내거나
항생제에 의존하지 않았습니다.

단순히 증상을 누르는 것이 아니라,
감염의 근본 원인을 제거하고
몸이 스스로 회복할 수 있도록
환경을 만들어주는 것이 목적이었습니다.

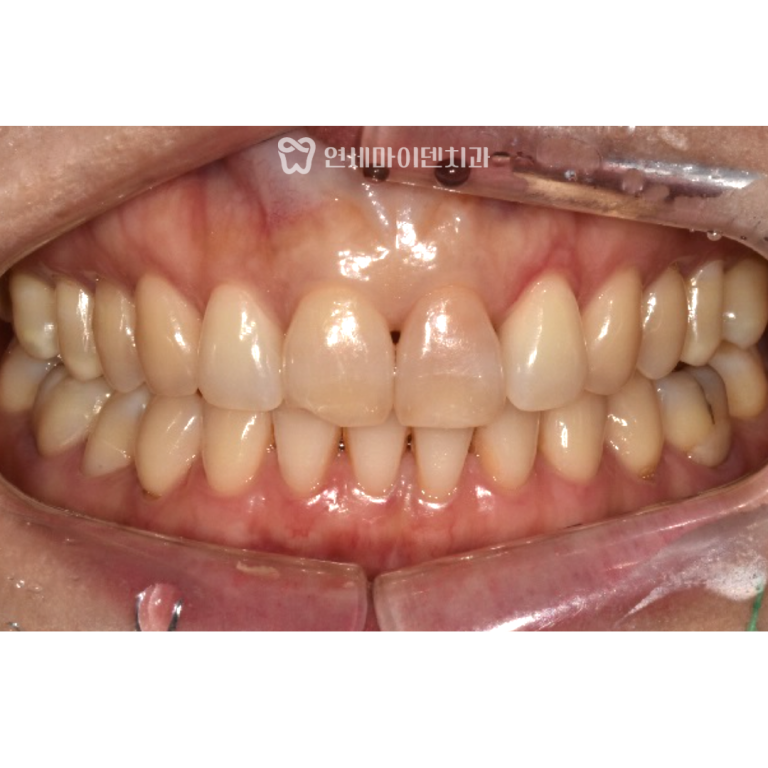
치료 후 회복 과정

재신경치료 후
불과 2~3주 만에
잇몸 여드름은 자연스럽게 사라졌고,

몇 달이 지나면서
녹아 있던 뼈도
점차 다시 차오르는 모습

확인할 수 있었습니다.

발치 직전까지 갔던 치아는
재신경치료
지르코니아 보철로 마무리되었고,
현재까지도 문제 없이
잘 사용하고 있습니다.

잇몸 염증 치료의 핵심

잇몸 염증과 고름 치료에서
가장 중요한 점은
통증의 유무가 아닙니다.

아프지 않아도
염증은 계속 진행될 수 있고,
뼈가 녹고 치아가 흔들리기 시작하면
되돌리기 어려워집니다.

따라서 잇몸 고름이 반복된다면
다음을 기억하셔야 합니다.

  • 증상이 있어도 미루지 마세요.
  • 현미경 재신경치료가 가능한지 확인하세요.
  • 단순 항생제 처방보다 원인에 대한 정밀 진단을 요청하세요.

결국 증상을 없애는 것이 아니라,
원인을 정확히 진단하고 제거하는 치료만이
치아를 지킬 수 있습니다.

소중한 자연치아,
쉽게 포기하지 마시고
근본적인 해결 방법부터
검토해보시길 바랍니다.


더 자세한 내용을 확인하고 싶다면
아래 링크를 통해 유튜브 영상을 시청해보세요!
▼▼▼

예약 및 상담 02.6263.2828

Similar Posts