70대 임플란트 6년 증례: 건강보험 적용
※ 본 글은 연세마이덴치과 의료진이 직접 진료한
실제 치료 사례를 바탕으로 작성되었습니다.
안녕하세요, 소중한 치아를 지키는
연세마이덴치과 닥터꼬집입니다.
임플란트는 치과 치료 중에서도
비용 부담이 큰 치료에 해당합니다.
하지만 우리나라의 큰 장점 중 하나는
국민건강보험을 통해
임플란트 치료가 보장된다는 점입니다.
특히 만 65세 이상이 되면
평생 두 개의 임플란트에 대해
건강보험 혜택을 받을 수 있습니다.
이 건강보험 임플란트의 특징은
어느 치과에서 치료를 받더라도
동일한 비용이 적용된다는 점입니다.
즉, 임플란트 수술과 보철에 대한
기본 진료비는 치과마다 차이가 없고,
뼈 이식이나 추가 치료가 필요한 경우에만
별도의 비용이 발생할 수 있습니다.
임플란트를 꼭 해야 하는 상황이라면,
보험 적용이 가능한 시기에
신뢰할 수 있는 의료진에게
치료를 받는 것이 중요합니다.
오늘 소개해드릴 사례는
어금니 두 개가 결손된
70대 고령 환자의 건강보험 임플란트 케이스입니다.
70대 고령 환자 임플란트 진단

이번 케이스는 70대 환자분으로,
어금니 두 개에 임플란트 치료가
필요한 상황이었습니다.
하지만 임플란트 치료는
결손 부위만 보고 바로 수술을 결정해서는 안 됩니다.
어금니와 앞니 주변의 잇몸 상태,
충치 유무,
그리고 전체적인 교합 관계는
임플란트의 장기적인 안정성과
직결되기 때문입니다.

이번 사례에서도
임플란트가 필요한 부위 외에
다른 치아에서
잇몸 질환과 충치가 함께 발견되었습니다.
따라서 이번 치료는
임플란트뿐만 아니라
잇몸 치료와 충치 치료까지
구강 전체를 종합적으로 관리하는 방향으로
계획을 세웠습니다.
이처럼 전체적인 구강 환경을 함께 정리해야
임플란트 식립 후에도
치아와 잇몸이 균형을 이루며
오랫동안 건강하게 유지될 수 있습니다.
3D 가이드 임플란트 계획
임플란트는
뼈와 잇몸의 상태를 고려해
정밀하게 설계되어야 하는 치료입니다.

수술 전 3D CT 촬영을 통해
임플란트 식립 위치와 각도를
미리 계획했고,
주변 해부학적 구조물을 피하면서
안정적인 식립이 가능하도록 준비했습니다.

또한 염증 발생 가능성을 낮추기 위해
이번 케이스에서도
임플란트 픽스처를
뼈 레벨보다 약간 안쪽으로 식립해
안정성을 높였습니다.
건강보험 임플란트 최종 보철

수술 부위가 안정된 이후에는
환자분에게 맞는
맞춤형 지대주를 이용해
보철물을 제작했습니다.
과거 건강보험 임플란트 보철은
금속과 도자기를 결합한
PFM 크라운만 가능했지만,
최근에는
지르코니아 크라운까지 보험 적용이 확대되면서
심미성과 내구성이
모두 개선되었습니다.

지르코니아 크라운은
인공 다이아몬드라 불리는
지르코니움 재질을 깎아 제작하며,
치과용 세라믹 재료 중
강도가 매우 높고
심미성 또한 우수한 재료입니다.
금속 성분이 포함되지 않아
어금니와 앞니 모두에
적용이 가능합니다.
앞니 치료, 삭제 없이 레진 수복

이번 케이스는 임플란트 치료와 함께
깨지고 닳아진 앞니를
복구하는 치료도 필요했습니다.
앞니 교합 상태를 확인해보니
기존 라미네이트가
접착력 문제로 탈락하면서
심미적으로 불편한 상태가 된 것으로
판단되었습니다.
의료진 입장에서는
다시 라미네이트 치료를 통해
접착력을 확보하는 방법을
권해드릴 수 있었지만,
환자분의 비용 부담과
개인적인 선호를 고려해
복합 레진 수복으로
치료 방향을 결정했습니다.

앞니를 거의 삭제하지 않고
손상된 부위를 레진으로 메워
기능과 기본적인 심미를 회복하는 데
초점을 맞췄습니다.
심미적으로 완벽한 결과는 아니더라도,
최소한의 치료로
불편감을 해소하고
기능을 회복할 수 있었습니다.
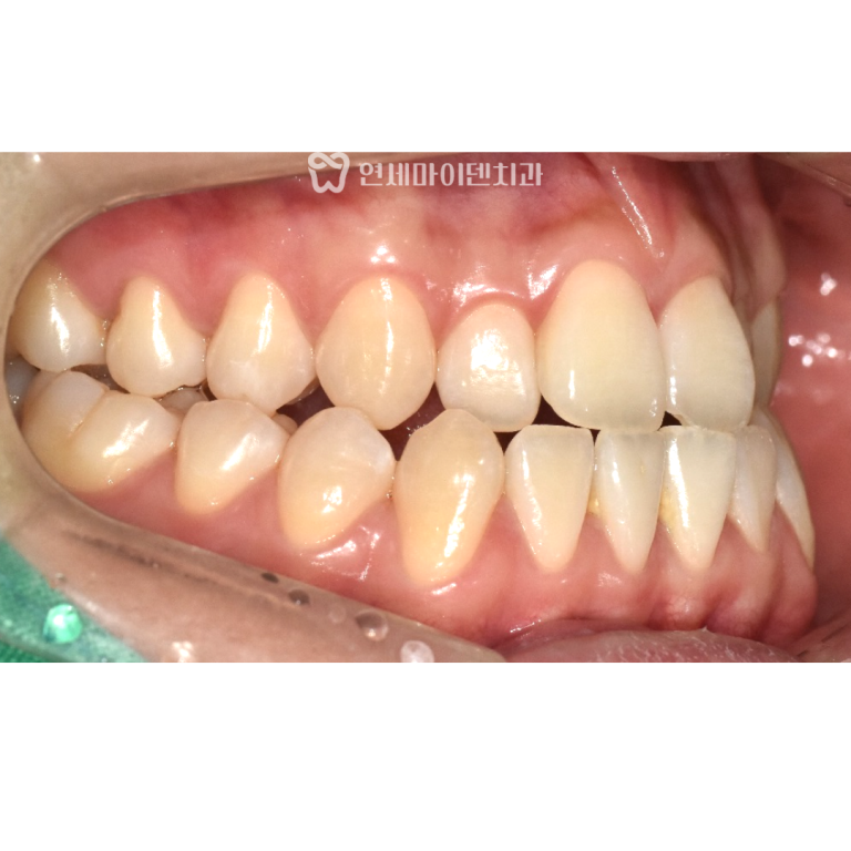
6년 경과, 보험 임플란트 장기 결과

치료가 끝난 이후에도
정기적인 검진과 관리는
매우 중요합니다.
이번 케이스는
6년 이상 장기 추적 관찰을 진행했습니다.
치료를 받지 않았던 일부 치아는
시간이 지나면서
추가 임플란트가 필요하게 되었지만,
초기에 임플란트를 식립한 부위와
앞니 레진 수복 부위는
큰 문제 없이
안정적으로 유지되고 있었습니다.
건강보험 임플란트 제도는
만 65세 이상 환자분들께
큰 도움이 되는 제도입니다.
평생 두 개의 임플란트까지
보험 적용이 가능하기 때문에,
비용 부담을 줄이면서
필요한 치료를 받을 수 있습니다.
중요한 점은
어디에서 치료를 받더라도
가격은 동일하다는 점입니다.

따라서 치료 결과와
장기적인 관리가 가능한
신뢰할 수 있는 의료진을
선택하는 것이 핵심입니다.
또한 깨지고 닳은 앞니 수복 역시
여러 치료 방법이 존재합니다.
삭제를 최소화하는 방법으로는
복합 레진 수복이 있으며,
심미성과 내구성을
더 중시한다면
라미네이트나 크라운 치료를
선택할 수 있습니다.
어떤 치료를 선택하든
가장 중요한 포인트는
접착의 정확성입니다.
접착이 얼마나 정확하게 이루어졌는지가
보철물의 수명과 직결되기 때문에,
경험과 지식을 갖춘 의료진에게
치료받는 것이 중요합니다.
건강보험 임플란트와
깨지고 닳은 앞니 보철 치료를
고민 중이시라면
이번 사례가
참고가 되기를 바랍니다.
감사합니다.
더 자세한 내용을 확인하고 싶다면
아래 링크를 통해 유튜브 영상을 시청해보세요!
▼▼▼

예약 및 상담 02.6263.2828



