안녕하세요, 소중한 치아를 지키는
연세마이덴치과입니다.
오늘은 어린이 치아교정 케이스를 가져왔습니다.
성장기의 아이가 일찍부터 치아교정이 필요하다면
부모님들의 걱정이 이만저만이 아니실텐데요.
특히, 아직 영구치가 다 나지도 않았는데 부정교합이 보인다면
치아교정을 시작해야하는지, 영구치가 다 나올때까지 기다려야할지
고민이 많으실거라 생각합니다.
어린이 교정치료도 적절한 시기에 적합한 방법으로 시작하면
큰 문제를 예방할 수 있는 좋은 치료가 될 수 있습니다.
특히, 늦기 전에 꼭 받아야하는 치아 교정 치료도 있기 때문에
아이의 성장과 치아 건강을 위해
어렸을 때부터 정기적으로 치아 검진을 받으시는게 좋습니다.
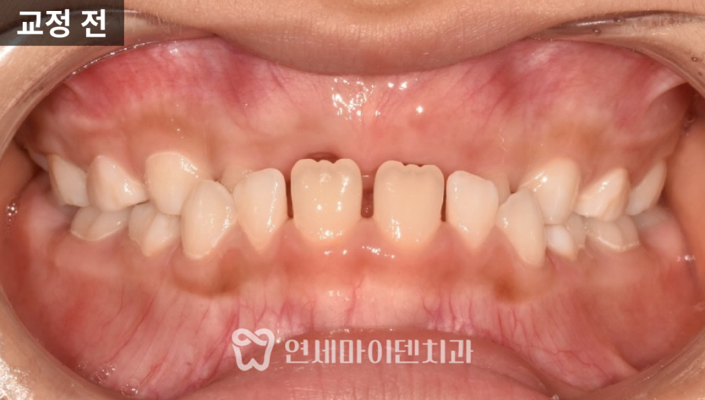
“부정교합이 심하고 영구치가 흔들려요”

이 환자분은 8살 어린이 환자분으로
앞니가 위아래 반대로 물리고 아래 영구치가 흔들려서 오셨습니다.
입안을 살펴보니 아래 앞니 두 개는 영구치였고,
나머지는 유치 상태로 아직 영구치가 맹출 전이었습니다.
특히, 아래 앞니가 위로 솟아올라서
윗니와 거꾸로 물리는 ‘반대교합’이 심한 상태였습니다.
이 상태 그대로 영구치가 모두 자란다면
부정교합과 반대교합이 더욱 심해질 수 있습니다.
따라서 어린 나이지만, 빠른 교정 치료가 필요한 상태였습니다.
어린이 교정 전 해야하는 검사

먼저 정확한 치아의 상태를 확인하기 위해
파노라마 방사선 촬영을 진행했습니다.
두번째 아래 앞니 유치는 빠지고
아래 영구치가 조금씩 올라오는 중인게 보입니다.
윗니는 아직 맹출되지 않았지만
다행히 다른 치아들은 큰 문제없이 자라고 있었습니다.

추가로 옆모습 방사선을 촬영한 뒤 정밀 교정진단을 통해
환자의 해부학적 구조를 파악합니다.
이 환자분은 윗니가 아직 나와있지 않은 상태를 감안하더라도
아랫니가 윗니 앞으로 많이 솟아올라와 있었습니다.
이 때문에 아랫입술도 확연히 더 나와보이고 있습니다.
정밀진단을 통해 위턱보다 아래턱이 골격적으로 발달한
3급 부정교합, 즉 주걱턱 상태를 확인한 뒤 치료 계획을 세웠습니다.

어린이 치아교정 진단 시에는 수완부 방사선을 촬영하여
성장판 평가도 빼놓을 수 없습니다.
성장기이기 때문에 성장판이 어느정도 열렸는지,
치아교정 기간과 시기를 결정하는데 중요한 역할을 합니다.
이 환자분은 아직 나이가 많이 어리고
유치가 영구치로 교체되는 과정에서 불편함을 느끼면
아래턱을 일부러 틀어서 내밀어 무는 안 좋은 습관이 생길 수 있기 때문에
일찍 교정을 시작하는게 좋다고 판단했고
최대한 빨리 교정치료를 진행하는 것으로 치료 계획을 세웠습니다.
저희 연세마이덴치과는 환자별로 필요한 검사를 통해
교정과 전문의가 1대1 맞춤 진단을 시행하고 있습니다.
어린이 교정 장치 종류
어린이 교정 치료의 핵심은 교정 장치 선택이라고 할 수 있습니다.
어린이의 경우 성인과 똑같은 교정장치와 치료를 적용하기는 어렵습니다.
따라서 치아의 교합상태와 턱 골격의 발달 정도를 파악해서
적합한 치아교정 장치를 선택하는 것이 매우 중요합니다.
어린이 턱 교정에 쓰이는 장치는
페이스마스크, 프랑켈, 프리올소 등이 있습니다.
- 페이스 마스크
얼굴 외부에 부착해 고물줄로 위턱을 당기는 장치,
위턱을 당겨서 턱뼈의 성장을 돕고 아래턱 성장을 최소화합니다. - 프랑켈
입 안쪽에 착용해 뺨의 압력을 차단하고 입술 위치를 조절
치아와 구강 주변 근육에 영향을 주어 기능을 조절하고 상악궁을 확장시킵니다. - 프리올소
마우스피스 형태의 근기능 교정장치
구강주위근육훈련(MFT)을 통해 치열, 교합 교정
바른 혀의 움직임으로 정확한 발음과 호흡 개선

이 어린이 환자의 경우 아래턱을 내밀어 무는 습관이 있었습니다.
그래서 겉으로 봤을 때는 아래턱이 많이 나와 있는 것처럼 보였지만,
실제로는 턱이 조금 더 후방에 위치해 있었습니다.
이렇게 아이들이 습관적으로 턱을 내미는 경우에는
겉으로 보이는 것과 실제 골격 상태가 다를 수 있기 때문에
정밀한 치료 진단이 필요합니다.
환자분의 골격적 상태는 3급 부정교합, 주걱턱에 해당했지만,
아이가 평소 턱 내미는 습관을 교정한다면
아주 심각한 상태는 아니라고 판단했습니다.
근기능 장치로 어린이 부정교합 교정치료
주걱턱 교정에는 위턱을 앞으로 당기는
페이스 마스크 장치를 주로 많이 사용합니다.
하지만, 이번 환자분은 골격 차이가 크지 않아서
다른 근기능 장치만으로 충분히 교정이 가능하다고 판단했습니다.
과거에는 프랑켈 장치를 많이 사용했지만,
본뜨기가 힘들고 큰 부피로 불편함이 있습니다.
그래서 간편하고 착용이 쉬운 근기능 장치인
프리올소 장치로 치아교정을 진행하기로 했습니다.

그 결과 1년 9개월의 치료 기간을 통해
부정교합을 확실하게 개선할 수 있었습니다.
사실, 치아가 거꾸로 물리는 문제는
치료 시작 후 7개월부터 개선되기 시작했지만,
환자분의 영구치 맹출이 다소 늦어져
치료 기간이 조금 더 길어진 케이스입니다.

특히 교정치료 전 상악을 살펴보면
두번째 앞니 영구치가 맹출할 공간이 많이 부족해보였습니다.
이는 교정장치를 착용한 후 상악궁이 함께 확장되어서
별도의 브라켓 장치 없이도 두번째 앞니까지 가지런하게 잘 맹출되었습니다.

옆모습 방사선 사진을 비교해보면
치료 전 앞니가 거꾸로 물리는게 확실히 보였지만
교정치료 후 윗니가 아랫니를 잘 덮을 수 있게 교합을 개선했습니다.
특히 많이 나와보였던 아랫 입술도 치료 후 적절한 균형을 맞춰서
자연스러운 외관으로 변화된 것을 확인할 수 있습니다.
어린이 치아교정 핵심은?
어린이 치아교정에서 가장 중요한 것은
교정이 필요한 시기에 신속히 결정하고 적절한 치료 계획을 세워야한다는 것입니다.
성인과 달리 어린이는 성장기이기 때문에
개인의 치아, 골격 발달 상태에 맞춰 더 세밀한 진단과 계획이 필요합니다.
유년기 치아교정은 치아 뿐만 아니라
골격 문제까지 빠르게 개선할 수 있는만큼
늦기전에 우리 아이 구강검진을 정기적으로 하시는게 좋겠습니다.
연세마이덴치과는 교정과 전문의가 어린이의 성장시기에 맞춰
1대1 맞춤 진단과 치아교정을 진행합니다.
우리 아이 교합이 걱정되거나 궁금한 부분이 있으시다면
언제든지 연세마이덴치과로 연락주세요.
읽어주셔서 감사합니다.
더 자세한 내용을 확인하고 싶으시면
아래 링크를 통해 유튜브 영상을 시청해보세요!
▼▼▼

