안녕하세요, 소중한 치아를 지키는
연세마이덴치과입니다.
오늘은 양악수술 없이 치아교정만으로
심한 주걱턱과 부정교합을 개선한 치료 증례를 소개해드리겠습니다.
주걱턱, 꼭 수술이 필요할까요?

많은 환자분들이 주걱턱, 부정교합 등으로 양악수술을 권유받습니다.
하지만 양악 수술은 턱의 골격을 재배치해서 이상적인 교합을 만드는 수술인만큼
부담과 위험성 때문에 쉽게 결정하지 못합니다.
이 20대 환자분께서도 주걱턱과 부정교합으로 고민하시다가
치과에 가셨다가 양악수술을 해야한다는 진단을 받으셨습니다.
어릴 때부터 튀어나온 아래턱때문에 스트레스를 많이 받았지만
양악수술을 하기에는 위험성이 너무 크다고 느끼셨다고 합니다.
그래서 부담이 너무 큰 수술 대신 교정 치료만으로
주걱턱을 개선할 수 있는 방법을 찾고 싶어하셨습니다.
그래서 교정과 전문의 1대1 밀착 케어가 가능하고
교정과-치주과-보존과-보철과 전문의 협진이 가능한 연세마이덴치과를 찾아오셨습니다.

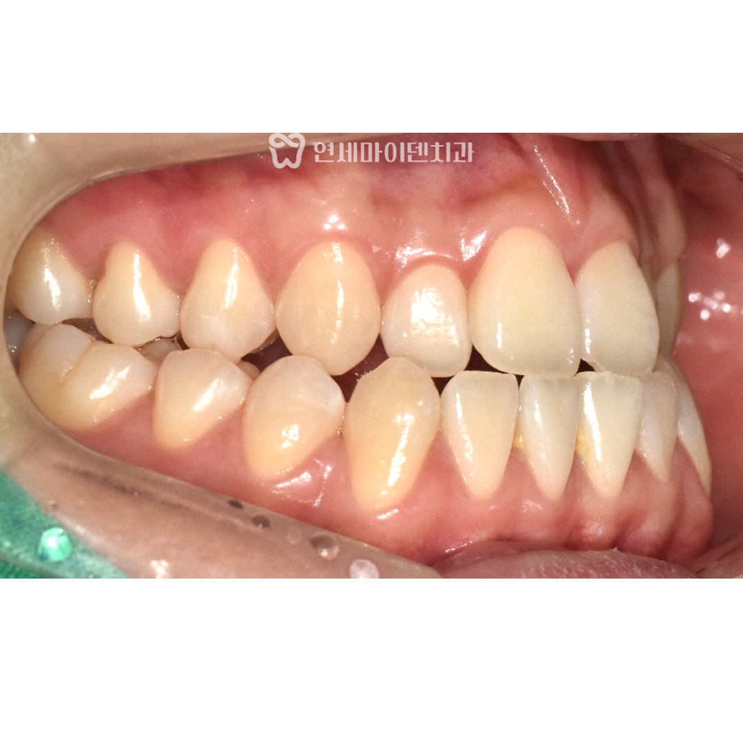
처음 내원하셨을 때 환자분의 치아 상태를 살펴보면
아래턱이 앞으로 나와있는 전형적인 3급 부정교합이 확인됩니다.
흔히 말하는 주걱턱 상태이며, 위아래 치아까지 반대로 맞물려 있었습니다.
위턱은 좁고 아래턱은 상대적으로 발달해서
치아 배열 자체가 많이 어긋나있는 상황이었습니다.

특히 윗니는 앞으로 튀어나와있고
아랫니도 안쪽으로 기울어져 있는 모습을 확인할 수 있습니다.
이런 상태는 교합 불균형을 유발해서
장기적으로 치아 건강에도 영향을 미칠 수 있습니다.
치아 교정으로 주걱턱 해결할 수 있나요?
사실 주걱턱은 양악 수술을 통해 턱뼈를 재배치하는 것이
가장 빠르고 이상적인 교합을 만드는 방법입니다.
하지만 모든 환자분들이 수술을 원하시는 건 아닙니다.
이 환자분 역시 수술을 부담스러워하셨고,
저희 병원에서 수술 외의 다른 치료를 진행하고 싶어하셨습니다.
저희 연세마이덴치과는 자연 치아와 턱의 골격을 최대한 보존하면서
교합을 개선하는 것을 목표로 하고 있기 때문에
수술 없이도 최대한 효과적인 결과를 얻을 수 있도록
교정과 전문의가 직접 교정 치료 계획을 세웠습니다.
악궁확장 장치를 활용한 치아교정 과정

먼저 위턱의 폭이 너무 좁았기 때문에,
상악궁을 넓히는 장치를 사용해서 교정 치료를 시작했습니다.
위턱이 좁으면 교합 자체를 맞추기 힘들기 때문에
MARPE라는 미니스크류 상악확장 장치를 적용하기로 했습니다.
MARPE란 위턱에 미니스크류를 고정해서
확장 장치를 통해 위턱을 양쪽으로 서서히 넓히는 치료 장치입니다.

약 한 달 정도 상악확장장치로 위턱을 확장해주었고,
이후에도 확장된 공간의 안정화를 위해 몇 달간 장치를 유지했습니다.
그 결과 좁고 뾰족했던 상악궁의 모양이 원만한 U자 모양으로
잘 자리잡힌 것을 확인할 수 있었습니다.
또, 아래턱은 사랑니를 발치해서 공간을 확보하고
확보된 공간으로 전체 치아를 뒤로 밀어서 배열을 교정했습니다.

특히 치열을 교정하는 과정에서
아랫니가 앞으로 튀어나오지 않도록 세밀한 조정이 필요했습니다.
그 결과, 치아 배열이 점차 정돈되었고,
어긋났던 교합도 시간이 지나면서 안정화되었습니다.
치아교정으로 주걱턱과 부정교합 개선

치아교정은 총 21개월에 걸쳐 진행되었고,
그 결과 수술 없이도 주걱턱을 교정하는데 성공했습니다.
처음에는 위아래 치아가 거꾸로 맞물리고 있었지만,
치아교정 후에 정상교합을 회복한 것이 확인됩니다.
특히, 원 안을 보면 한눈에 보기에도
튀어나왔던 아래턱이 많이 개선된 모습입니다.

또한, 주걱턱과 교합이 개선되면서
환자분의 얼굴 윤곽도 자연스럽게 바뀌게 되었습니다.
아래턱의 돌출이 완화되면서
얼굴형이 더 부드러워지고 균형이 맞춰졌습니다.
물론 모든 케이스가 수술없이 해결될 수 있는 건 아니지만
위험성이 큰 수술 대신 교정만으로도 충분히 만족스러운 결과를 얻을 수 있습니다.
중요한 것은 믿을 수 있는 교정과 전문의가 상주하는지,
환자 개인의 상태에 맞춤형 진단과 치료 설계가 가능한지입니다.
연세마이덴치과는 교정과 전문의 1대1 맞춤 진단으로
치료 시작부터 끝까지 교정치료를 책임지고 있습니다.
주걱턱때문에 양악 수술을 고민하고 계시거나
치아 교정이 필요하신 분들은 언제든 연세마이덴치과로 연락주세요.
읽어주셔서 감사합니다.
더 자세한 내용이 궁금하시다면,
아래 링크를 통해 유튜브 영상을 시청해보세요!
▼▼▼

