안녕하세요, 소중한 치아를 지키는
연세마이덴치과 닥터꼬집 입니다.
이번 포스팅에서는 비수술,
비발치 교정만으로 안면 비대칭을 개선한
성인 치아교정 증례를 살펴보겠습니다.
골격적인 원인이 일부 동반된 비대칭이라고 해도
모든 경우에 수술이 필수적인 것은 아닙니다.
기능적 불균형과 치아의 배열을 교정하는 방식으로
전체적인 대칭감과 심미성을 충분히 회복할 수 있습니다.
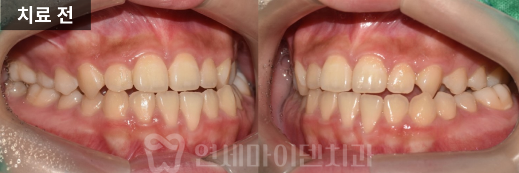
중심선 어긋남과 부정교합 문제

환자분은 상,하악 중심선이 맞지 않는 문제로 내원하셨습니다.
진단 결과, 위아래 정중선이 서로 어긋나 있었고,
특히 좌측 어금니가 상,하 역교합 상태로 거꾸로 물리고 있었습니다.

옆모습 방사선 정밀 진단 결과에서는
위턱보다 아래턱이 더 발달한 주걱턱 양상을 보였습니다.
또, 턱 끝은 중심에서 왼쪽으로 치우쳐져 있는 상태였습니다.
이러한 골격적 불균형을 보상하기 위해서
앞니는 상대적으로 앞으로 돌출되어 있었습니다.
또 부정교합을 맞추기 위해
아래쪽 앞니까지 뒤로 쓰러져 있는 모습이었습니다.

턱의 위치와 치아 물림이 맞지 않는 경우,
기능적 문제로 비대칭이 심화될 수 있습니다.
이 환자분 역시 턱의 위치를 중심선에 맞춰봤을 때,
왼쪽 송곳니가 아랫니에 먼저 닿았는데
이 때문에 턱을 왼쪽으로 비틀어 무는 습관이 있었고,
습관때문에 점점 비대칭이 심해진 양상이었습니다.
이런 경우 치아와 턱의 물림을 잘 조정하면
수술없이도 안면 비대칭을 개선할 수 있습니다.
악궁 확장 장치를 활용한 치아교정 과정

치료 초기에는 악궁 확장 장치를 활용해서
위턱의 폭을 넓혀주는 과정이 필요합니다.
위턱이 아래턱보다 좁기 때문에
이를 해결하기 위해 고정식 확장 장치를 사용했습니다.
일정 기간동안 일정 간격을 넓히는 방식으로
상악궁을 넓혀주었습니다.

장치를 조금씩 돌려서 위턱을 확장해주면
앞니 사이의 틈이 생길 수 밖에 없습니다.
이 환자분도 상악궁을 확장시키면서
앞니 사이에 공간이 생겼습니다.
이 과정은 일시적으로 보기에는 미관상 좋지 않지만
뼈가 잘 벌어지고 있다는 것을 확인할 수 있는 중요한 징표입니다.

엑스레이로 치료 과정을 살펴보면
가운데 뼈가 완전히 붙어있다가 점차 간격이 벌어지는게 보입니다.
벌어진 부분은 시간이 지나면서 자연스럽게 뼈가 차오르고
치아교정을 통해 앞니가 정상 간격으로 모아집니다.

악궁 확장을 마친 후에는 미니스크류와 고무줄을 사용하여
치아를 뒤로 이동시켜주는 과정이 필요합니다.
악궁을 넓혀서 비워진 공간을 고른 치열로 배열하는 과정입니다.
점차 송곳니와 어금니가 이동하면서
비정상적으로 물리던 교합이 지그재그로 잘 자리잡게 됩니다.
비발치 교정치료 기간과 전후 비교

환자분은 어긋나던 교합과 비대칭을
비수술, 비발치 교정으로 약 26개월만에 해결했습니다.
맞지않던 중심선이 맞아졌고, 위아래 부정교합도 정상적으로 회복됐습니다.
위아래 중심선 차이는 1mm 이내로 개선되었고,
거꾸로 물리던 어금니와 삐뚤빼뚤했던 치열도 가지런히 정렬되었습니다.

또, 아래턱이 뒤로 들어가면서
앞으로 나와있었던 주걱턱도 완화되었습니다.
턱이 들어가면서 자연스럽게 입술 돌출도 줄어들었고,
더 조화로운 얼굴 라인을 완성하였습니다.
환자분도 다소 긴 교정 기간이었지만,
드라마틱한 변화에 매우 만족하셨습니다.
성인의 경우 골격 구조를 크게 변화시키는 것은 어렵지만,
치아 배열과 턱의 위치, 교합 조정을 통해서
기능적 안정성과 심미적 개선을 동시에 도모할 수 있습니다.
특히 중심선이 어긋나 있거나 비정상적인 조기 접촉으로 인해
턱 위치가 틀어져 있는 경우에는
치아 교정만으로 충분한 개선 효과를 기대할 수 있습니다.
비대칭 교정은 개개인의 진단에 따라 치료 범위와 방법이 달라지기 때문에
정확한 진단과 전문의와의 상담을 통해
개인별 맞춤 치료 계획을 세우는 것이 중요합니다.
연세마이덴치과는 교정과 전문의 1:1 맞춤 진단과
분과별 전문의 협진이 가능합니다.
비대칭이나 중심선 문제로 고민 중이시라면
언제든지 저희 연세마이덴치과로 연락주세요.
읽어주셔서 감사합니다.
더 자세한 내용을 확인하고 싶다면
아래 링크를 통해 유튜브 영상을 시청해보세요!
▼▼▼

예약 및 상담 02.6263.2828



