발치즉시 임플란트 증례: 어금니 흔들림
※ 본 글은 연세마이덴치과 의료진이 직접 진료한
실제 치료 사례를 바탕으로 작성되었습니다.
안녕하세요, 소중한 치아를 지키는
연세마이덴치과 닥터꼬집입니다.
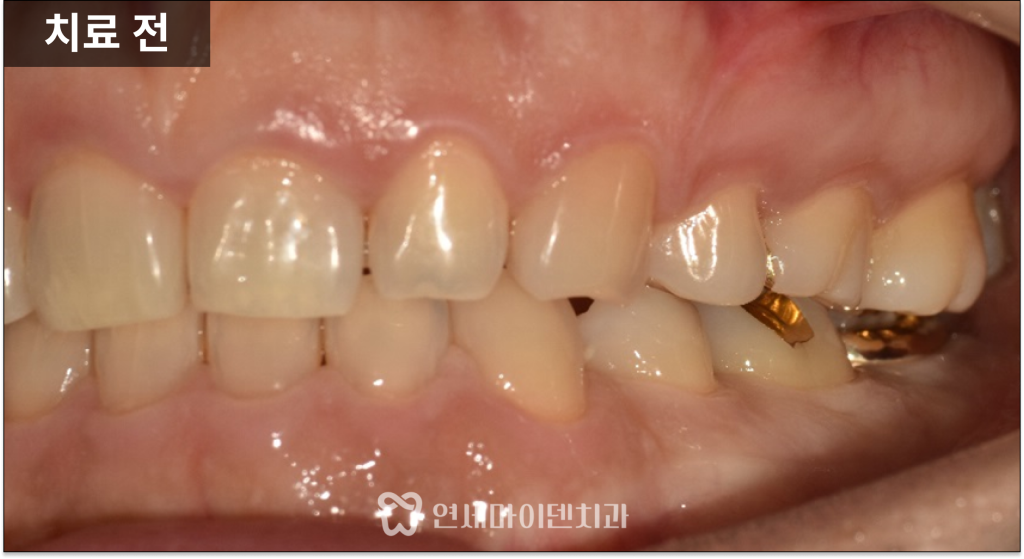
왼쪽 아래 어금니에서
냄새가 나고 흔들리는 증상으로
내원하신 케이스입니다.
치아를 가능한 한 보존하는 것이
치료의 원칙이지만,
모든 경우에서 자연치아를 유지할 수 있는 것은 아닙니다.

이번 경우 역시
보존을 우선적으로 검토했지만
결과적으로 발치를 선택할 수밖에 없었던 상황이었습니다.
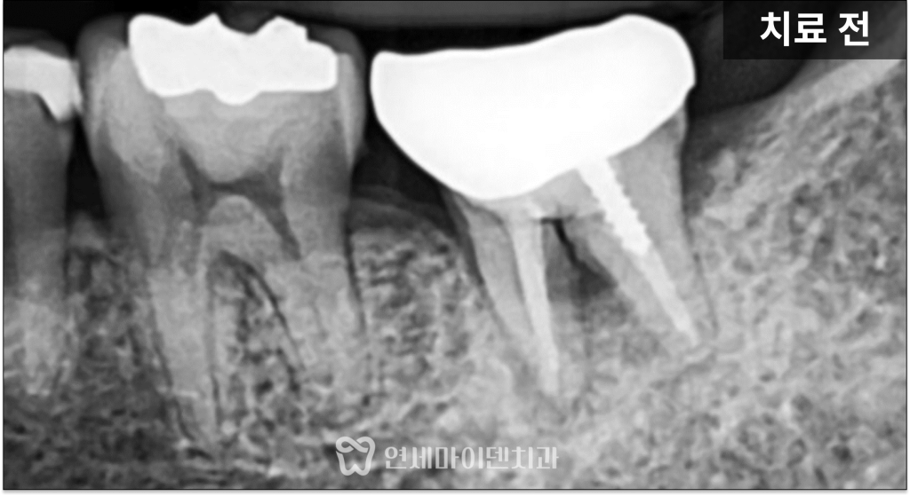
과거 신경치료 후 발생한 문제

문제가 된 치아는
과거 신경치료 후 금니로 수복되어 있었고,
잇몸에는 고름이 배출되는
이른바 ‘잇몸 여드름’이 관찰되었습니다.
이러한 증상은 단순한 불편감이 아니라
치아 내부 또는 주변 뼈에서
염증이 지속되고 있다는 신호입니다.
또한 환자분은 임신을 준비 중이었기 때문에
염증을 빠르게 정리하는 것이
중요한 상황이었습니다.
임신 이후에는 면역 변화로 인해
기존의 만성 염증이 급성으로 악화될 수 있어,
가능한 치료는 임신 전에 마무리하는 것이
안전합니다.
발치 여부를 결정한 핵심 기준
신경치료 후 생긴 염증은
재신경치료를 통해
치아를 살릴 수 있는 경우도 많습니다.

하지만 이 케이스에서는
치아 뿌리가 갈라지는 부위인
분지부까지 뼈가 녹아 있는 상태였습니다.
분지부 뼈가 손상되었다는 것은
치아를 지지하는 구조 자체가
무너졌다는 의미입니다.
여기에 더해
치아의 흔들림도 심하게 동반되어 있었고,
장기적으로 안정적인 유지가 어렵다고 판단되어
발치를 선택할 수밖에 없었습니다.
발치 즉시 임플란트를 선택한 이유
임신 준비 중이라는 상황을 고려해
치료 기간을 단축하는 것이 중요했습니다.
그래서 발치와 동시에
임플란트를 식립하는
‘발치 즉시 임플란트’를 계획했습니다.

이 방법은 염증을 완전히 제거한 뒤
남아 있는 건강한 뼈를 이용해
즉시 고정력을 확보할 수 있을 때 가능한 치료입니다.
특히 아래 어금니 부위는
하치조 신경관이 지나가기 때문에
위치와 깊이를 매우 신중하게 설정해야 합니다.

염증 조직을 깨끗하게 제거하고
신경 위치를 고려해 식립을 진행했으며,
한 번의 수술로 발치와 임플란트를
모두 마무리했습니다.
분지부 뼈가 녹는 원인
치아 뿌리 사이의 분지부 뼈가 녹는 경우는
예후가 좋지 않은 경우가 많습니다.
대표적인 원인은 다음과 같습니다.
치주질환으로 인해
잇몸과 뼈가 서서히 파괴되는 경우
치아 뿌리에 금이 가는
수직 치근 파절
그리고 치료 과정에서
비정상적인 통로가 생긴 경우입니다.
이번 케이스에서는
과거 신경치료 과정 중
치아 내부에 불필요한 구멍이 생겼고,
이를 적절한 재료가 아닌
레진으로 덮어 마무리하면서
문제가 시작된 것으로 보였습니다.
레진은 이러한 부위에서
완전한 밀폐를 유지하기 어려워
시간이 지나면서 미세한 틈이 생기고,
그 틈을 통해 세균이 유입되면서
결국 분지부 뼈까지 녹게 되는 결과로
이어진 것입니다.

이번 케이스는
신경치료 후 관리가 제대로 이루어지지 않았을 때
어떤 문제가 발생할 수 있는지를 보여주는 사례입니다.
모든 치아를 살리는 것이 이상적이지만,
치아를 지지하는 뼈까지 손상된 경우에는
무리한 보존이 오히려
더 큰 문제로 이어질 수 있습니다.
중요한 것은
언제 보존하고, 언제 정리해야 하는지를
정확하게 판단하는 것입니다.
그리고 그 시작은
처음 신경치료의 완성도에서 결정됩니다.
치아 내부를 정확하게 치료하고
적절한 재료로 밀폐하는 과정이 이루어져야
장기적으로 문제를 줄일 수 있습니다.
초기 치료가 제대로 이루어졌다면
발치까지 이어지는 상황을
충분히 줄일 수 있었을 가능성도 있습니다.
치아는 한 번 손상되면 되돌릴 수 없기 때문에
처음 치료부터 원칙적으로 접근하는 것이
가장 중요합니다.
감사합니다.
더 자세한 내용을 확인하고 싶다면
아래 링크를 통해 유튜브 영상을 시청해보세요!
▼▼▼

예약 및 상담 02.6263.2828



