안녕하세요, 소중한 치아를 지키는
연세마이덴치과입니다.
이번 증례는 심한 부정교합과 덧니가 있던
30대 환자분의 비발치 교정 케이스입니다.
좁은 악궁을 가진 환자분이었지만,
발치를 하지 않고 악궁 확장 장치를 사용해서
가지런한 치아와 건강한 교합을 회복시킨 증례입니다.
30대 부정교합, 덧니 치아교정

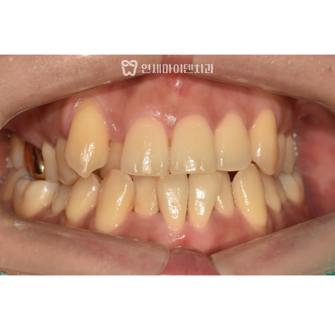
이 환자분은 30대 여성분으로
오른쪽 위 송곳니가 덧니로 나와있는 상태였고,
위쪽 앞니들이 겹쳐져 있었습니다.
특히 앞니 중심선이 맞지 않아서
전체적으로 삐뚤빼뚤한 치열을 가지고 계셨습니다.
여성분이시다보니 가지런하지 못한 치열이 콤플렉스라서
환하게 웃지 못했고, 성인 치아교정을 위해 저희 병원에 오셨습니다.

파노라마 방사선 사진을 통해 치아의 상태를 더 정밀하게 확인했습니다.
전체 치아 갯수는 결손 없이 정상이었고
아래쪽에만 2개의 매복 사랑니가 있었습니다.
치아의 공간이 부족했지만 비발치 교정을 원하셔서
매복 사랑니를 발치해서 아래턱의 공간을 확보한 뒤 치아의 재배열이 필요했습니다.

옆모습 방사선 사진으로 시행한 정밀 교정진단 결과,
아래턱이 위턱보다 더 발달한 골격적 3급 부정교합 상태였습니다.
이런 경우 외관에서 아래턱이 앞으로 나와보이는
주걱턱 형태를 띄게 됩니다.

특히 치아교정 전 상악과 하악 사진에서
맞지 않는 교합을 보상하기 위해 아래 앞니가 안쪽으로 많이 쓰러진 것을 확인했습니다.
여러가지 방면으로 교정과 전문의가 직접 교정진단 후에
좁은 악궁을 넓히고 중심선을 회복하며 아래턱도 들어가야하는 치료 계획이 필요했습니다.
악궁확장 장치를 활용한 치아교정
이 환자분의 치아교정 목적 중 하나는 좁은 악궁을 확장해서
덧니를 배열할 공간을 확보하는 것이었습니다.
발치를 피하면서도 교정이 가능하도록
미니스크류를 사용한 악궁확장장치인 MARPE를 활용하기로 했습니다.

입천장에 4개의 미니스크류를 식립한 뒤
하루에 한 번씩 장치를 돌려서 천천히 위쪽의 폭을 넓혔습니다.
악궁장치는 보통 2주에서 한 달정도 사용하게 되는데,
이 환자분은 악궁이 많이 좁았고 확실한 확장이 필요했기 때문에
6주동안 악궁확장장치를 착용했습니다.
악궁이 확장되면서 양쪽 어금니의 반대교합은 어느정도 개선됐고
튀어나온 덧니를 배열할 공간도 확보하였습니다.
악궁 확장 후 덧니 치아교정
악궁이 확장된 후에는 아래 어금니를 뒤로 미는 방향으로
치아 배열 교정을 시작하였습니다.
아래 앞니는 원래의 위치에서 조금씩 더 뒤로 미뤄야했기 때문에
잇몸에 무리가 가지 않도록 후방부터 순서대로 배열을 시작했습니다.

이 과정에서는 바이트 레진을 어금니에 적용해서
위아래 치아가 서로 부딪히지 않도록 했습니다.
바이트 레진은 3~4개월 정도 유지하면서 배열을 진행했습니다.
바이트 레진을 사용하면 음식을 섭취할 때 불편함이 있을 수 있지만,
안정적인 교합을 만들기 위해서는 꼭 필요한 과정입니다.

치아교정 약 15개월 후 모습을 보면
후방 어금니는 목표 위치로 충분히 이동한 것을 볼 수 있습니다.
또, 비뚤빼뚤하던 앞니 배열도 점차 빈공간으로 자리잡기 시작했습니다.
위쪽의 앞니들은 벌어진 공간을 활용해서
각도를 조정하면서 배열됐고, 중심선도 맞춰져 갔습니다.

치아교정 21개월 차에는 양쪽 어금니의 반대교합이 대부분 해소되었습니다.
앞니 배열도 상당 부분 완성되었고,
안정적인 교합 유지를 위해 마무리까지 치아교정을 진행했습니다.
3급 부정교합 덧니 비발치 교정 증례

29개월동안의 치아교정을 마친 뒤 전후를 비교해보면
삐뚤고 중심선이 맞지 않던 치아가 가지런해진 것을 볼 수 있습니다.
튀어나와있던 덧니는 확장한 악궁의 공간으로 잘 들어갔고
중심이 맞지 않던 아랫니도 중심선이 회복된 것이 확인됩니다.
양쪽 어금니의 교합도 안정적이고 치열이 매우 가지런해져서
환자분의 기대보다 더 만족스러운 결과를 얻을 수 있었습니다.

교정 전후 옆모습을 비교해보면
교정 전에는 아래턱이 발달해서 입술이 묻혀있었지만,
교정 후에는 아래턱이 들어가고 입술이 정상적으로 나오게 돼서
훨씬 균형감 있는 얼굴형이 만들어졌습니다.
실제로 이런 치아교정은 어릴수록 효과가 크기 때문에
성인 치아교정의 경우 드라마틱한 변화를 기대하기 어렵지만
미니스크류와 RPE 악궁 확장 장치를 통해
발치 회피 교정의 좋은 증례가 되었습니다.
만약, 성장기 자녀가 있으시거나 치열이 삐뚤빼뚤하게 자랄 경우
조기에 교정과 전문의 치과에 방문하셔서 교정진단 받으시는 걸 추천드립니다.
연세마이덴치과는 어린이와 성인 남녀노소
교정과 전문의가 1대1 맞춤형 교정진단하여 치료 계획을 세웁니다.
치아교정이 필요하거나 궁금하신 부분이 있다면
언제든지 연세마이덴치과로 연락주세요.
읽어주셔서 감사합니다.
더 자세한 내용이 궁금하시다면
아래 링크를 통해 유튜브 영상을 시청해보세요!
▼▼▼

