안녕하세요, 소중한 치아를 지키는
연세마이덴치과입니다.
오늘은 양악수술로 주걱턱과 비대칭을 교정한
환자분의 케이스를 소개하겠습니다.
이 치료증례는 단순 치아교정이 아닌
수술을 동반한 교정치료로 치료전후의 큰 차이를 이끌어낸 사례입니다.
주걱턱 양악수술 부작용없이 가능할까?

오늘 사례의 환자분은 20대 환자분으로
아래턱이 많이 나왔고 좌우 비대칭이 심하다는 주소로 오셨습니다.
치료 전 사진을 보면, 오른쪽으로 아래턱 틀어짐이 보이고,
윗니와 아랫니의 중심선도 맞지 않았습니다.
턱의 교합이 맞지 않아서 전체적인 치열도 고르지 못한 것을 확인할 수 있습니다.

파노라마 방사선 촬영으로 구내 상태를 더 면밀히 확인해보면,
아래 앞니는 삐뚤게 배열되어있고,
사랑니 4개 모두 과맹출 된 상태였습니다.
약간의 잇몸 퇴축이 확인되기는 했지만,
다행히도 전체적인 잇몸 상태는 양호한 편이었습니다.

환자분의 편측 방사선 촬영본을 분석한 결과,
아래턱이 위턱에 비해 너무 길고 앞으로 돌출된 상태였습니다.
추가로 교정 정밀진단을 통해 수치를 분석했는데,
ANB 수치와 Wits 수치가 정상에서 많이 벗어난 상태였습니다.
ANB수치란 위턱과 아래턱의 가장 튀어나온 점 사이의 각도를 말하며,
정상은 2도~3도지만, 환자분은 –3도로 정상수치를 벗어났습니다.
Wits 수치란 교합평면의 기준으로 골격을 판단하는 수치로
정상은 -2도지만, 환자분은 -14.8도로 정상수치를 크게 벗어났습니다.
교정 정밀진단을 바탕으로 3급 부정교합 진단을 내렸습니다.
단순 치아교정만으로는 완전한 치료가 어려운 케이스였고,
환자분께서 주걱턱을 교정하려는 의지가 강하셨기 때문에
양악 수술을 통해 턱과 비대칭을 동시에 교정하는 치료 계획을 세웠습니다.
수술 전 치아교정, 양악수술 과정

술전 치아교정은 수술 결과를 극대화하기 위해서
치아 배열을 정리하는 중요한 단계입니다.
환자분은 위턱과 아래턱의 교합이 심하게 뒤틀렸기 때문에
위턱과 아래턱을 따로 교정하는 작업이 진행됐습니다.
아래턱이 지나치게 앞으로 돌출돼있었기 때문에
치아들이 앞쪽으로 몰리는 현상도 있었습니다.
이를 교정하기 위해서 탈보상 교정이 필요했고,
이 과정에서 일시적으로 교합이 더 어긋나게 보일 수 있지만
수술 후에는 정확한 위치로 돌아오기 때문에 걱정하지 않아도 됩니다.

환자분은 상악과 하악을 동시에 교정해서
단기간 내에 턱교합을 교정할 수 있도록 치료 계획을 세웠습니다.
아래턱은 뒤로 밀고, 위턱의 끝은 올려서
맞지않는 턱의 비율을 맞추는 방식으로 진행됐습니다.
이렇게 하면 안면비대칭도 교정되고
아래턱의 돌출도 해결할 수 있습니다.
특히, 턱 끝 수술 시 턱이 너무 많이 들어가지 않도록 조절해야
심미적으로 안모가 개선되기 때문에 이를 주의해야 합니다.
양악수술 후 치아교정

술전 치아교정을 끝낸 후 양악 수술을 진행했습니다.
양악 수술 후에는 고무줄을 사용해서 교합을 안정시키고
치아 배열을 최종적으로 마무리하는 과정이 필요합니다.
환자분은 양악수술 후 1달 차에 오셔서
수술용 와이어를 교정용으로 교체하였습니다.

또, 양악 수술 후 3개월 간 치아교정을 통해
치아 간격을 조정하고 비대칭을 개선하였습니다.
양악 수술 후 적절한 치아교정이 이뤄져야만
만족스러운 치료 결과를 얻을 수 있습니다.
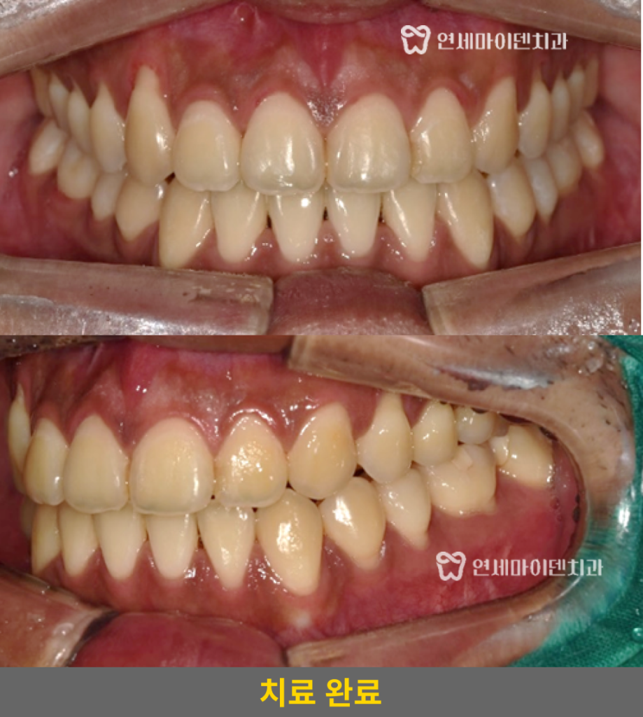
환자분께서는 고른 치열과 자연스럽고 균형잡힌 얼굴의 변화에
매우 만족하시고 치료를 마무리하였습니다.

전후를 비교하면 2년만에 턱의 교합을 회복하고
치열도 가지런해진 것을 볼 수 있습니다.
또, 위아래 치아도 정확하게 맞물려서
치아의 기능도 회복되었습니다.
연세마이덴치과는 분과별 전문의 협진을 통해
양악수술 부작용 없이 주걱턱 교정이 가능합니다.

수술 전후 측면 사진을 비교해보면
코 끝이 수술 전보다 더 올라가면서 얼굴 전체의 밸런스도 개선되었습니다.
마지막으로 미니스크류를 사용해서 교합을 안정시켰고,
현재도 부작용없이 추적관찰을 진행하고 있습니다.
양악 수술은 쉽지 않은 결정이지만, 이런 환자분의 케이스에서는
수술이 교정치료보다 단시간 더 효과적인 치료 결과를 가져올 수 있습니다.
주걱턱이나 비대칭으로 양악수술이나 치아교정을 고민하고 계시다면
언제든 교정과 전문의 1대1 맞춤 진단이 있는 연세마이덴치과로 연락주세요.
읽어주셔서 감사합니다.
더 자세한 내용이 궁금하시다면
아래 링크를 통해 유튜브 영상을 시청해보세요!
▼▼▼
