앞니 재신경치료 3년 증례: 크라운 교체
※ 본 글은 연세마이덴치과 의료진이 직접 진료한
실제 치료 사례를 바탕으로 작성되었습니다.
안녕하세요, 소중한 치아를 지키는
연세마이덴치과 닥터꼬집입니다.
오늘은 앞니 크라운 재치료 케이스를 소개하려 합니다.
앞니는 겉으로 드러나는 부위이다 보니,
치료를 다시 받는 데 큰 용기가 필요합니다.
“보철 뜯으면 임플란트 해야 하는 건 아닐까?”
“앞니 없이 사회생활을 할 순 없는데…”
이런 걱정 때문에 치료를 미루다
시기를 놓쳐 버리는 경우가 많습니다.
하지만 치료 당일 임시 치아 접착이 가능하기에,
앞니 없이 지내야 하는 상황은 걱정하지 않으셔도 됩니다.
따라서 앞니라서 치료를 미루며 불안해하기보단,
지금의 치아 상태를 정확히 확인해
더 큰 문제를 예방하는 것이 중요합니다.
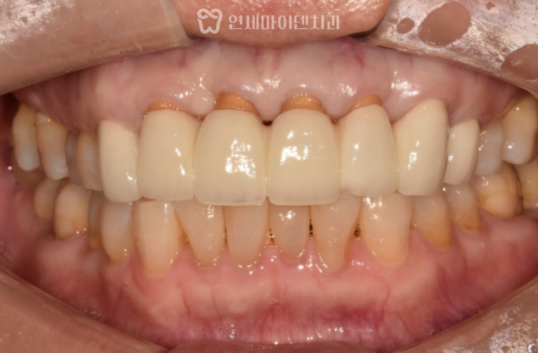
치료 전: 스플린트 크라운으로 연결된 앞니 7개


치료 전 앞니
이번 케이스는 앞니 7개 치아가
하나의 스플린트 크라운 형태로 묶여 있었습니다.
치아 뿌리가 드러나 있어 심미적으로 좋지 않았고,
치실 사용이 불가하다보니 위생 관리 역시 어려운 상태였습니다.
문제는 보철이 모두 묶여 있기 때문에
치아 개별 흔들림의 여부를
확인할 수 없다는 점이었습니다.
내부를 들여다보니
잇몸뼈는 상당 부분 소실되어 있었습니다.


치료 전 앞니
앞니 크라운 재치료 시 주의사항
크라운 교체가 필요할 때,
겉의 크라운만 다시 씌우면 되는 걸까요?
내부 상태가 불량한 채로 새로운 보철만 올리면,
치료의 효과는 단기적일 수 밖에 없습니다.
따라서 크라운 교체 전에는
다음과 같은 평가와 치료가 필요합니다.
- 보철물을 제거하고 개별 치아 상태를 확인하기.
- 내부 염증 소견이 있는 치아는 재신경치료를 진행.
- 치아 사이와 잇몸 내부의 세균막을 철저히 제거하는 잇몸치료 병행.


크라운 수복: 앞니 2개만 연결, 나머지는 개별 크라운으로
잇몸 치료 이후 흔들림이
얼마나 회복되는지를 관찰했고,
다행히 모든 치아가 보존 가능하다는 판단이 들었습니다.
크라운은 기존처럼 7개 치아를 모두 묶는 대신
심미성을 유지할 수 있게 앞니 2개만 연결하고,
나머지는 개별 크라운으로 분리해 수복하였습니다.
이렇게 수복할 경우,
● 위생 관리가 훨씬 수월하고,
● 한 치아에 문제가 생기면 해당 치아만 치료가 가능하며,
● 흔들림이나 진행 여부를 치아 개별 단위로 판단할 수 있습니다.


재신경치료 완료 후
치료 후 변화

앞니 크라운 재수복 후
재신경치료와 잇몸치료,
크라운 수복까지 완료한 뒤 사진입니다.
잇몸뼈가 다시 차오르면서
치아 뿌리가 노출된 부위는 자연스레 커버되었습니다.
그리고 앞니 2개를 제외한 나머지는
치아 개별로 크라운을 수복했기 때문에,
나중에 혹시나 크라운을 뜯어내게 되더라도
상태가 좋지 않은 치아만 치료하면 되기 때문에
부담이 덜해집니다.
해당 치아는 재치료 후 3년 후까지도
흔들림 없이 잘 유지되고 있습니다.

앞니 크라운 재치료 3년 후
마무리하며 : 크라운 교체, 겉보다 ‘속’이 더 중요합니다


앞니 크라운 교체는 단순히 보철을
다시 씌우는 치료가 아닙니다.
크라운만 교체하는 것은 임시 방편입니다.
크라운 교체 시 내부의 염증과 잇몸의 상태까지도
재점검하는 것이 치아를 건강하고 오래 사용하는 법입니다.
문제의 원인을 해결하지 않고
겉만 새로 씌우는 방식이라면,
얼마 지나지 않아 다시 같은 문제가 반복됩니다.
중요한 것은 원칙적인 치료라는 것을
이번 사례를 통해 더 분명히 전달되었기를 바랍니다.
감사합니다.
더 자세한 내용을 확인하고 싶다면
아래 링크를 통해 유튜브 영상을 시청해보세요!
▼▼▼

예약 및 상담 02.6263.2828



