재신경치료&임플란트 증례: 잇몸 여드름
※ 본 글은 연세마이덴치과 의료진이 직접 진료한
실제 치료 사례를 바탕으로 작성되었습니다.
안녕하세요, 소중한 치아를 지키는
연세마이덴치과 닥터꼬집입니다.
신경치료 후에도 치아 뿌리에 염증이 생기고,
잇몸에 여드름 같은 고름 주머니가 올라오면,
대부분 ‘발치해야 하나?’라는 생각부터 떠올리십니다.
실제 그렇게 임플란트 진단을 받게 되는 경우도 흔합니다.
다만 같은 염증이라도,
모든 치아가 똑같은 진단을 받게 되는 것은 아닙니다.
뿌리의 상태, 뼈의 회복, 염증의 범위에 따라
치료 방향이 달라질 수 있습니다.
이번 글에서는 치아 보존에 성공한 경우와
결국 발치 진단을 내린 경우의 차이,
그리고 치료 방향 결정의
핵심적인 판단 기준에 관해 설명드리겠습니다.
같은 증상이라도 치료 진단은 달라질 수 있습니다
이번에 치료한 케이스도 그랬습니다.
양쪽 어금니 모두 염증이 있었고,
잇몸에 여드름처럼 고름이 올라온 상태였습니다.
외형상 증상은 비슷했지만,
내부 상태와 반응은 완전히 달랐습니다.
염증이 심했지만, 치아 보존에 성공한 경우

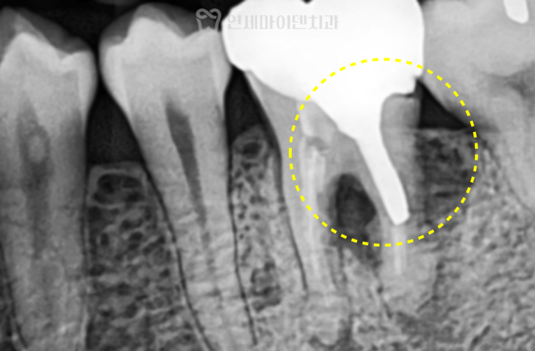
첫 번째 치아 치료 전
첫 번째 치아는 왼쪽 아래 어금니였으며
과거에 신경치료를 받은 상태였습니다.
내원 당시 잇몸에는
여드름처럼 보이는 고름 주머니가 있었고,
영상 검사에서 뿌리 끝을 중심으로
치조골이 까맣게 녹아 있는
J자 형태의 염증 소견이 관찰되었는데요.
이런 염증 양상은 일반적으로
크랙이 동반된 경우 의심이 되지만,
육안으로는 크랙이 직접적으로 보이지 않았습니다.
또한 치아 내부에는 레진코어가 있었지만,
제거 후에는 냄새나 감염된 흔적이 있었기 때문에
철저히 세척한 뒤 신경치료를 다시 진행했습니다.
치료 후 통증은 사라졌고,
염증 반응도 점차 줄어들었지만
바로 크라운을 씌우지 않고,
임시치아 상태로 약 2개월 동안 경과를 지켜보았습니다.
그 결과 잇몸 여드름이 사라지고
뼈가 재생되는 양상까지 영상으로 확인되었습니다.
이후 최종적으로 크라운을 제작해 기능을 회복시켰고,
치료가 성공적으로 마무리 되었습니다.
현재는 정상적으로 식사할 수 있는 상태이며,
발치없이 치아 보존에 성공한 사례라고 할 수 있습니다.

첫 번째 치아 치료 후
겉보기에 양호했으나, 결국 발치 진단을 내린 경우

두 번째 치아 치료 전
두 번째 치아도 첫 번째 치아와 동일하게
과거 신경치료를 받은 이력이 있었고,
비슷한 시기에 잇몸에 염증성 여드름이 나타났습니다.
초기 영상에서는 염증 범위가 다소 넓게 나타났으며,
크랙은 확인되지 않았습니다.
내부를 뜯어보니 기존 레진코어는 잘 유지된 상태였으며,
제거 후에 냄새가 나거나 감염 소견도 크지 않아
외형상으로는 비교적 양호한 치아처럼 보였습니다.
하지만 재신경치료를 진행해도
염증이 줄어들지 않았고,
시간이 지나면서 오히려
뼈가 점점 더 녹아들었습니다.
결국 잇몸을 열어 내부 상태를 확인한 결과,
치조골 손실이 심하게 진행돼 있었고,
더는 회복이 어려운 상태라고 판단해
이 치아는 발치 후 즉시 임플란트 진단을 내렸습니다.
발치 당시엔 염증 부위를 철저히 분리하여,
건강한 뼈를 기반으로 고정력을 확보한 뒤
뼈이식과 차폐막을 함께 적용했습니다.
약 한 달 후 잇몸은 건강하게 회복되었고,
3~4개월의 안정기를 거쳐 최종 보철까지 완료했습니다.

두 번째 치아 임플란트 치료 후
진단은 염증이 아니라, ‘뼈가 다시 생길 수 있는가’로 판단합니다

치료 방향을 결정할 때는
다양한 요소들을 함께 고려해야 합니다.
겉으로 드러난 증상보다는,
치아 내부 구조와 염증의 진행 정도,
치조골 상태, 과거 치료의 완성도 등을
종합적으로 판단하게 됩니다.
예를 들어, 육안으로는 멀쩡해 보이지만
미세현미경 검사에서 미세한 크랙이 발견될 수도 있고,
반대로 겉에 염증이 커 보여도
실제로는 감염이 국소적이어서
치료 반응이 좋은 경우도 있습니다.
또한 기존 신경치료가 얼마나 정밀하게 이루어졌는지,
레진코어 등 재료가 잘 유지되었는지도
중요한 판단 요소입니다.
다만 무엇보다 중요한 건 치료 후 반응입니다.
통증이 사라지고, 잇몸 여드름이 줄어드는 것만으로
치료가 끝났다고 볼 수는 없습니다.
진짜 핵심은 바로 뼈가 다시 생기고 있는가,
즉 치조골이 회복되고 있는가입니다.
잇몸뼈의 회복 여부는
신경치료의 성공과 실패를 가르는
결정적인 기준이 됩니다.
시간이 지나도 뼈가 생기지 않는다면,
치아를 더 이상 유지하는 데 한계가 있다고 판단하게 되며
이 경우엔 발치 후 임플란트로
치료 방향을 전환할 수밖에 없습니다.



마무리하며
같은 잇몸 염증이라도
자연 치아 살리기가 가능한 지는
치료 후 반응에 달려 있습니다.
잇몸 여드름이 사라져도 치료가 끝난 게 아니라,
뼈 회복을 확인하고 6개월~1년간 경과를 관찰해야 합니다.
이 기간 동안 뼈가 생기지 않으면
신경치료가 실패했다고 보셔야 합니다.
따라서 비록 신경치료 후 염증 소견이 있더라도
자연 치아가 소중하다면 단정적인 발치보다는
재신경치료 후 살릴 수 있다면 살리고,
불가능하다면 시기를 놓치지 않고
임플란트로 전환해야 합니다.
결국 제대로 진단하고, 치료 반응을 지켜보고,
올바른 타이밍에 결정하는 것이 중요합니다.
더 자세한 내용을 확인하고 싶다면
아래 링크를 통해 유튜브 영상을 시청해보세요!
▼▼▼

예약 및 상담 02.6263.2828



