VPT 생활치수치료 증례: 상부 치아크랙
※ 본 글은 연세마이덴치과 의료진이 직접 진료한
실제 치료 사례를 바탕으로 작성되었습니다.
안녕하세요, 소중한 치아를 지키는
연세마이덴치과 닥터꼬집입니다.
최근 진료실에서 자주 마주하는
환자분들의 공통된 고민이 있습니다.
다른 치과에서 치료를 받았지만 이후 문제가 생겼고,
그 진단과 치료 방향이 맞는지 확신이 서지 않아
정확한 설명을 듣고 싶어 내원하시는 경우입니다.
환자분들이 원하는 것은 대부분 비슷합니다.
내 치아 상태가 정확히 어떤지,
왜 그런 치료가 필요하다는 것인지
근거를 가지고 설명을 듣고 싶어 하십니다.
또한 가능하다면 치아를 최대한 덜 건드리고,
삭제를 최소화하면서 보존하고 싶어 하시는 분들도
점점 늘고 있습니다.
다만 환자의 상태와 상관없이 시행하는
보존 치료가 항상 최선은 아닙니다.
환자분의 상태를 정확하게 진단하고,
가능한 모든 진단 자료를 바탕으로
그 상태에 가장 적합한 치료 계획을 설명드리는 것이
무엇보다 중요하다고 생각합니다.
“충치 치료를 받았는데, 오히려 더 아파졌어요”

이번 환자분도 이러한 이유로 내원하셨습니다.
왼쪽 어금니에 통증이 있어서
타 치과에서 충치 치료를 받았는데,
충치 치료 후 통증이 더 심해졌고
씹을 때 깜짝 놀랄 정도로
찌릿한 통증이 있다고 하셨습니다.
치료받은 치과에서는 치아 크랙이 의심되며
계속 불편하면 임플란트를 해야한다는
설명을 들으셨다고 합니다.
환자분 입장에서는
그 설명을 그대로 받아들이고
임플란트로 진행했을 수도 있었겠지만,
혹시라도 치아를 살릴 수 있을지,
정확한 진단을 듣기 위해 저희 병원을 찾으셨습니다.

우선 엑스레이를 확인했을 때
특이한 소견은 관찰되지 않았습니다.
하지만, 엑스레이 상 이상소견이 없다고
치아에 이상이 없는 것은 아닙니다.
문제가 된 치아는
2주 전 충치 치료를 받은 왼쪽 어금니였고,
레진 치료가 되어 있는 상태였습니다.
하지만 환자분의 증상은 분명했습니다.
씹을 때 찌릿하게 놀라는 통증,
충치 치료 전보다 오히려 심해진 시린 증상.
이런 경우 단순 충치 문제만으로 보기보다는
치아 크랙 가능성을
반드시 함께 고려해야 합니다.
Qray 검사로 확인된 크랙 소견

일반 엑스레이에서는
크랙이 잘 보이지 않는 경우가 많기 때문에,
특정 파장의 빛을 이용한
Qray 장비로 추가 검사를 진행했습니다.
그 결과 레진 치료 부위 주변으로
붉은 틈이 관찰되었고,
치아 외측으로도 크랙 소견이 확인되었습니다.
충치 치료를 받은 지
2주밖에 되지 않은 상태였지만,
이미 크랙으로 인한 증상이
나타나고 있었던 것입니다.
이 단계에서 환자분께는
“임플란트로 가기에는 아직 이르다”
“크랙에 대한 처치를 먼저 해보자”라고 설명드렸습니다.
크랙 치아 치료의 첫 단계: 레진 제거와 크라운
첫 번째로 진행한 것은
기존에 충치 치료로 사용된 레진을
모두 제거하는 것이었습니다.
치료 후 접착이 충분하지 않았을 경우,
치료 받았던 레진 자체가
증상의 원인이 될 수도 있기 때문입니다.

레진을 제거한 뒤
다시 정확하게 접착을 시행했고,
크랙에 대한 보호를 위해
크라운 치료를 진행했습니다.
이 단계에서 증상이 잡힌다면
신경치료 없이
크라운 치료로 마무리할 수 있습니다.

하지만 크라운 치료 후 한 달이 지났을 때
증상은 일부 완화되었지만
씹을 때 불편감은 여전히 남아 있었습니다.
보통 이 시점에서는
전체 신경치료를 권유받는 경우가 많습니다.
하지만 요즘은
전체 신경을 모두 제거하기 전에
한 단계 더 보존적인 선택지가 있습니다.
바로 바이탈 펄프 테라피(VPT)입니다.
생활치수치료(VPT)는 무엇이 다른가

VPT(생활치수치료)는
치아의 상부 일부 신경만 제거하고,
치근 쪽 신경은 그대로 보존하는 치료입니다.
치아 내부로 접근하면
살아있는 신경이기 때문에
출혈이 나타나게 되는데,
이를 정리한 뒤 근관 입구(오리피스)를
미세현미경으로 정확히 확인합니다.

이번 치아는 C자 형태의
기형적인 근관 구조를 가지고 있었고,
미세현미경 하에서
해당 부위의 신경만 선택적으로 절단했습니다.
이후 칼슘실리케이트 제제,
흔히 MTA라고 불리는
생체 친화적인 재료로 충전하여
신경과 치근단 조직의 치유를 기대할 수 있도록 했습니다.
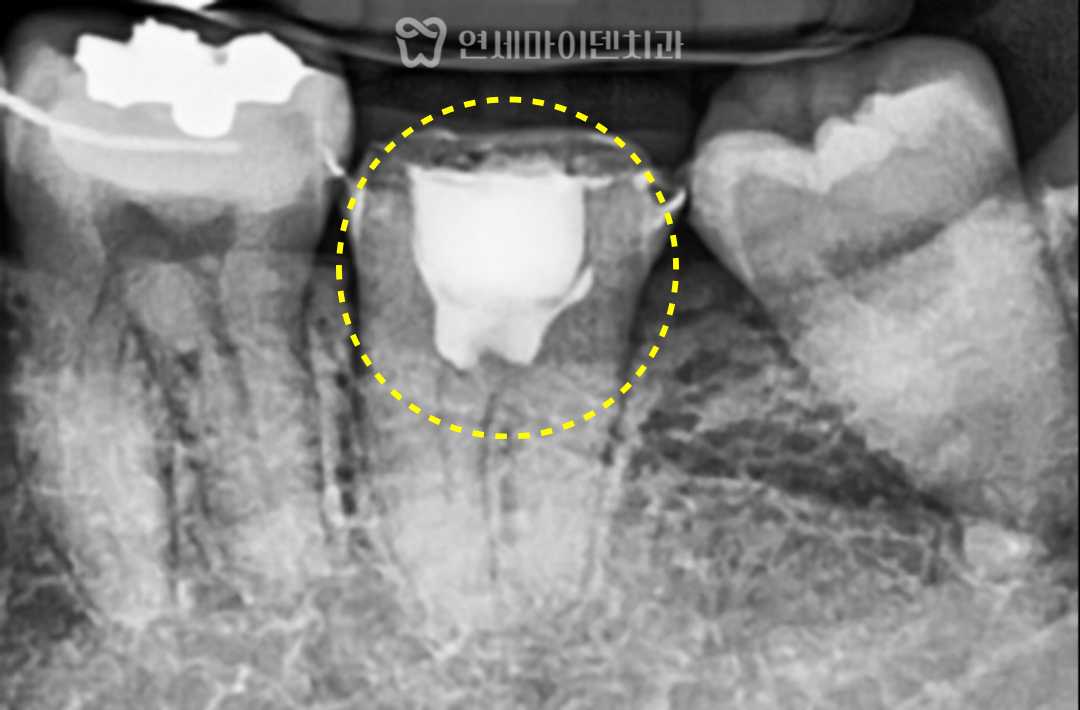
VPT 후 크라운 치료 결과

상부는 레진 코어로 단단히 보강한 뒤
최종 크라운 치료를 진행했습니다.
그 결과 환자분의 통증은 소실되었고,
한 달 뒤 보철을 완성하면서
정상적인 식사가 가능해졌습니다.
처음 충치 치료 이후
통증 때문에 식사가 어려웠던 상태에서,
VPT와 크라운을 통해 증상을 잡고
크랙의 추가 진행을 방어할 수 있었습니다.
크랙 치아, 모두 임플란트로 가야 할까요?
치아 크랙은 분명
무서운 문제일 수 있습니다.
크랙이 뿌리 방향으로 진행되면
수직치근파절로 이어져
발치가 필요해질 수 있습니다.
하지만 상부에 국한된 크랙이라면
반드시 임플란트로
바로 가야 하는 것은 아닙니다.
이번 케이스처럼
단계적인 치료 과정을 통해
증상을 조절하고,
정기적인 검진과 팔로우업을 병행한다면
자연 치아를 보존하며
오래 사용할 수도 있습니다.
치료에서 가장 중요한 것, 환자의 증상
이 케이스에서 가장 중요했던 포인트는
환자가 느끼는 불편감,
즉 Chief Complaint(C.C)였습니다.
치료를 받았지만
그쪽으로 식사를 할 수 없다는 것은
환자에게 매우 큰 불편입니다.
환자의 이야기를 충분히 듣고,
증상의 원인을 정확히 파악한 뒤
그에 맞는 치료를 선택하는 것이
가장 기본적인 진료의 출발점입니다.
환자분들께서 치과를 선택하실 때에도
이러한 점을 유의해서 보시고,
조금 더 내 치아에 유리한,
내 치아를 살릴 수 있는 치과를
선택하시는 걸 추천드립니다.
감사합니다.
더 자세한 내용을 확인하고 싶다면
아래 링크를 통해 유튜브 영상을 시청해보세요!
▼▼▼

예약 및 상담 02.6263.2828



