재신경치료&임플란트 증례: 해외 거주 환자
※ 본 글은 연세마이덴치과 의료진이 직접 진료한
실제 치료 사례를 바탕으로 작성되었습니다.
안녕하세요, 소중한 치아를 지키는
연세마이덴치과 닥터꼬집입니다.
해외에 거주 중인 분들 중 한국 방문 시
치과 치료를 함께 계획하시는 경우가 많습니다.
언어, 비용, 의료 시스템의 차이로 인해
현지에서 치료를 받기 어렵기 때문입니다.
하지만 국내에서도 머무는 시간이 한정적이기 때문에,
정확한 진단과 체계적인 치료 계획 수립이 무엇보다 중요합니다.
이번 포스팅에서는 2개월 후 출국을 앞둔
해외 거주자 환자의 임플란트 및 신경치료 케이스를 중심으로
짧은 일정 안에서도 효과적인 치료가 가능했던
치료 과정을 소개해드리겠습니다.

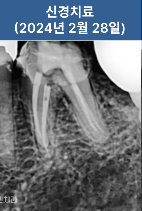
환자분의 왼쪽 아래 어금니(#36)는
기존 금 인레이 아래로 2차 충치가 발생한 상태였습니다.

통증이 동반되었으며, 충치 깊이가 신경에 도달해
신경치료가 불가피한 상황이었습니다.

신경치료를 통해 염증 부위를 제거하고,
레진으로 내부를 밀봉한 뒤 크라운을 수복했습니다.

치근까지 염증이 진행되기 전 내원하신 덕분에
발치 없이 치아를 보존할 수 있었습니다.
조기 내원의 중요성이 잘 드러난 케이스입니다.

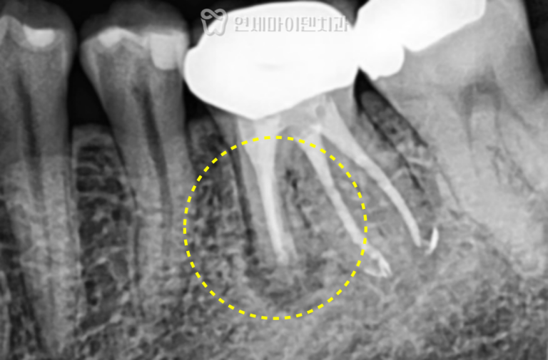
반대편 어금니(#46)는
스플린트 크라운으로 수복되어 있었습니다.
겉으로 보기엔 멀쩡했지만,
내부에는 깊은 충치가 진행돼 있었습니다.
보철물을 제거하자 치아 내부 조직이 심하게 손상되어 있었고,
결국 보존 불가로 판단했습니다.

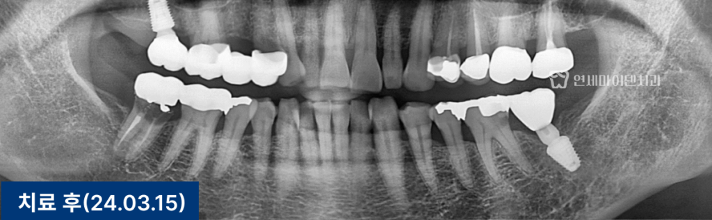
이에 따라 발치 후 즉시 임플란트를 진행했습니다.
다행히 치조골 상태가 양호해 즉시 식립이 가능했습니다.
임플란트 식립 후 골이식과 멤브레인 적용을 통해 뼈의 안정화를 유도했고,
2주 뒤 봉합사 제거 후 출국하실 수 있도록 계획했습니다.
최종 보철물은 귀국 시기에 맞춰 맞춤 제작하여 완성했습니다.
💡 스플린트 크라운(여러 치아가 묶인 형태)은
청결 관리가 어렵고, 내부 충치가 생겨도 확인이 늦을 수 있습니다.
이후에는 단독형 크라운으로 교체하여 관리 효율을 높였습니다.

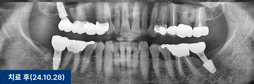
환자분은 과거에 시술받은 임플란트 중
일부 보철물이 파절된 상태였습니다.
하지만 다행히 임플란트 본체는 건강하게 유지되고 있었습니다.
이에 따라 기존 임플란트는 그대로 두고,
상부 보철물만 새로 제작했습니다.
이번에는 교합면 방향과 잇몸 형태를 고려하여
맞춤형 지대주(abutment)를 적용했습니다.
이는 향후 파절 위험을 줄이고
심미적 완성도를 높이는 데 도움이 됩니다.
해외 거주자의 치과 치료 팁


진료 일정과 커뮤니케이션이 핵심입니다
해외 거주자의 경우
치료를 미루거나 통증을 참는 경우가 많습니다.
하지만 증상을 방치하면 더 큰 치료가 필요해질 수 있으므로,
방문 기간에 맞춘 체계적인 치료 계획 수립이 중요합니다.
특히 인비절라인(투명교정) 같은 장치는
장치를 미리 수령해 해외에서 착용하고,
귀국 시 점검받는 방식으로도 치료가 가능합니다.
미국·일본·중국 등 왕래가 잦은 국가의 경우
정기 점검 일정 조율이 비교적 용이해서
실제로 많이 활용되고 있습니다.
또한 SNS 메신저 등을 통한 의료진과의
실시간 커뮤니케이션이 가능한 병원을 선택하면,
출국 후에도 진료 연속성이 유지됩니다.
진료기록과 X-ray가 동일 병원에 누적되어 있으면
시간이 지나 재내원 시에도 비교·분석이 용이해
정확한 진단과 재치료에 큰 도움이 됩니다.
해외에 거주 중이라도 치아 통증이나 불편감이 있다면
치료를 미루지 마시기 바랍니다.
충치나 염증은 방치할수록 치료 범위와 비용이 커집니다.
국내에 머무는 기간 동안 치료가 가능할지,
어떤 일정으로 진행할 수 있을지 의료진과 미리 상의해보시면 좋습니다.
연세마이덴치과는 해외 거주 환자분들의 일정에 맞춰
맞춤형 치료 플랜을 제안드리고 있습니다.
궁금하신 부분은 언제든지
저희 연세마이덴치과로 연락주세요.
읽어주셔서 감사합니다.
더 자세한 내용을 확인하고 싶다면
아래 링크를 통해 유튜브 영상을 시청해보세요!
▼▼▼

예약 및 상담 02.6263.2828



