안녕하세요, 소중한 치아를 지키는
연세마이덴치과 닥터꼬집 입니다.
오늘은 치경부 마모증과 잇몸 패임으로 인한 염증으로
발치 진단까지 받았던 환자분의 치료증례 입니다.
환자분은 전반적인 치아 상태는 매우 튼튼했지만,
잇몸 염증으로 인해 치조골까지 녹아버려서
타치과에서 발치 진단을 받으셨지만
치아를 살리기 위해 저희 병원에 오셨습니다.
잇몸 패임으로 신경 괴사된 치아

환자분은 처음에는 가벼운 잇몸 시림 증상만 느끼셨다고 합니다.
통증이 심하지 않아서 따로 치료를 받지 않으셨지만
이후 잇몸 여드름처럼 고름이 생겨서
치과를 찾아가셨다고 합니다.
저희 병원에 오시기 전, 다른 치과에서 진단받은 결과는
잇몸이 패이면서 염증이 심해졌고 치아 뿌리 주변의 뼈가 녹아서
결국 발치를 해야 한다는 소견이었습니다.
발치를 피하고 치아를 살릴 수 있는 방법을 찾기 위해
<내치아 지키기 프로젝트>를 진행하는
저희 연세마이덴치과에 오셨습니다.

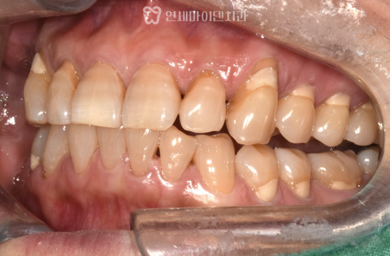
초진 당시 구강 내부를 살펴보니
치아와 잇몸의 경계 부위가 깊게 패인
‘치경부 마모증‘이 심하게 진행된 상태였습니다.
또, 잇몸 여러 부위에서 여드름과 같이
고름이 차있는 모습도 확인할 수 있었습니다

엑스레이 촬영 결과, 문제의 치아 주변
치조골이 까맣게 소실된 것이 뚜렷하게 보입니다.
잇몸이 지속적으로 패이면서 치아의 목 부위가
도끼로 찍힌 것처럼 손상되었고,
그로 인해 치수 신경이 괴사되어 있었던 상황입니다.
다른 치과에서는 염증이 심해서
발치 외에는 방법이 없다고 판단했지만,
저희 병원에서는 염증을 제거하고 신경치료를 진행하면
치조골의 자연 회복이 가능하다고 판단했습니다.
치아에 금이 가는 크랙만 없다면
자연치아 보존이 가능하기 때문에
신속하게 신경치료를 진행하였습니다.
신경치료만으로 자연치아 보존

우선 괴사된 신경을 제거한 후,
치아 내부를 소독하고 신경치료를 시행했습니다.
신경치료 후에는 치아 중심부에 기둥(post)을 세워서
약해진 치아 구조를 보강했습니다.
치아가 패여 있는 상태에서는
약한 부분이 일상에서 부러질 수 있기 때문입니다.
물론 기둥을 세우더라도 치료 후 아주 딱딱하거나
질긴 음식들은 조심하시는게 좋습니다.

신경치료 후 크라운을 씌워 마무리 해드렸습니다.
크랙이 없는 치아라면, 1개월, 3개월, 6개월 후
경과 관찰을 통해 잇몸뼈가 점차 하얗게 회복되는 것을
확인할 수 있을 것입니다.
잇몸 염증의 원인만 명확하게 제거해도
발치를 피하고 자연치아를 살릴 수 있습니다.
치경부 마모증, 레진 치료가 필요한 이유

신경이 괴사된 치아 외에도
반대쪽 치아에서도 치경부 마모증이 진행되어 있었습니다.
다행히 이 부위는 신경 괴사까지는 진행되지 않았지만,
방치할 경우 같은 결과로 이어질 수 있기 떄문에
사전에 레진 수복 치료를 진행했습니다.

치경무 마모증에 대한 레진 수복은 단순한 메음이 아니라
자연스러운 모양과 매끄러운 경계선 처리가 중요합니다.
형태가 부자연스럽거나 경계가 날카로운 경우,
잇몸에 오히려 자극이 생기고 염증이 악화될 수 있습니다.
따라서 레진 수복은 미세한 조정 기술과
세심한 테크닉이 매우 중요한 치료라고 할 수 있습니다.
이번 치료에서도 정밀한 수복을 통해
잇몸과의 조화를 이루도록 치료를 완료해드렸습니다.
이번 케이스는 치경부 마모증으로 인한 치조골 흡수와 염증으로
발치 진단까지 받았던 환자분의 치아를
신경치료와 레진 수복만으로 살린 증례입니다.
잇몸 고름, 잇몸 패임, 치아 시림 등 증상이 지속된다면
조기 진단과 치료가 무엇보다 중요합니다.
연세마이덴치과는 <내치아 지키기 프로젝트>로
정직한 진료를 지향하고 있습니다.
궁금하신 부분이 있으시면
언제든 저희 연세마이덴치과로 연락주세요.
읽어주셔서 감사합니다.
더 자세한 내용을 확인하고 싶다면
아래 링크를 통해 유튜브 영상을 시청해보세요!
▼▼▼

예약 및 상담 02.6263.2828



