돌출입 치아교정: 발치교정 전후
※ 본 글은 연세마이덴치과 의료진이 직접 진료한
실제 치료 사례를 바탕으로 작성되었습니다.
안녕하세요, 소중한 치아를 지키는
연세마이덴치과 닥터꼬집입니다.
※ 본 글은 연세마이덴치과 의료진이 직접 진료한
실제 치료 사례를 바탕으로 작성되었습니다.
안녕하세요, 소중한 치아를 지키는
연세마이덴치과 닥터꼬집입니다.
교정을 앞두고 가장 먼저 고민하게 되는 부분이 바로
“발치 교정을 꼭 해야 하는지”입니다.
가능하다면 발치 없이
교정을 진행하고 싶어 하시는 분들이 많지만,
모든 경우에서 비발치 교정이 가능한 것은 아닙니다.
개인의 치열 상태, 치아의 건강 상태, 골격 구조에 따라
발치가 불가피한 경우도 분명히 존재합니다.
중요한 점은 발치 교정이 마치 공식처럼
무조건 4번 치아를 뽑는 치료가 아니라는 점입니다.
각자의 치아 상태에 맞춰
어떤 치아를, 왜 발치해야 하는지를
신중하게 판단하는 과정이 필요합니다.
오늘은 이러한 판단 과정을 잘 보여주는
실제 발치 교정 치료 사례를 소개해 드리겠습니다.
돌출입 2급 부정교합 진단

이번 케이스는 20대 돌출입 환자의
치아 교정 치료 사례입니다.
초기 검사 결과,
앞니가 전반적으로 앞으로 뻐드러져 있었고
일부 치아는 신경치료가 불완전하거나
염증이 동반된 상태였습니다.

또한 골격적으로는
위턱이 상대적으로 발달하고
아래턱이 뒤로 들어간
2급 부정교합 양상을 보이고 있었습니다.
이번 케이스는 단순히
돌출입 치열 문제만 있는 상황이 아니라,
몇몇 치아 자체의 예후가 좋지 않았기 때문에
조금 더 신중한 발치 교정 계획이 필요했습니다.
발치 교정 치료 계획

일반적으로 돌출입 교정 시에는
송곳니 뒤쪽의 4번 치아 발치를 가장 많이 고려합니다.
하지만 이번 케이스에서는
다른 치아를 발치하는 방향으로 계획을 세웠습니다.
발치 기준은 다음과 같았습니다.
- 신경치료가 불완전하고 예후가 좋지 않은 치아
- 뼈 흡수와 염증 소견이 동반된 치아

이에 따라 오른쪽 아래는 큰어금니(6번),
오른쪽 위와 왼쪽 아래는 5번 치아,
그리고 교합의 대칭을 맞추기 위해
왼쪽 위 역시 5번 치아를 발치했습니다.
문제가 있는 치아를 먼저 정리하면서
동시에 돌출 개선까지 도모한
치료 계획이었습니다.
돌출입 교정 치료 과정

초기 단계 (약 1년 1개월)
발치 공간이 점차 줄어들기 시작했고,
돌출 개선을 위해 미니스크류를 이용해
앞니를 최대한 후방으로 이동시켰습니다.

치아 배열은 서서히 가지런해졌으며,
교정 후 크기 조정이 필요한 치아는
보철 치료를 병행할 계획으로 접근했습니다.

중간 단계 (약 1년 7개월)
윗니 발치 공간은 대부분 닫혔고
중심선도 비교적 안정적으로 맞아갔습니다.
다만 왼쪽 어금니 부위에서
교합이 들리는 양상이 보여
고무줄 사용과 철사 조절을 병행했습니다.

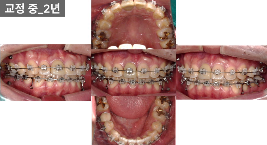
후반 단계 (약 2년)
상악은 재배열 과정에서
일시적으로 공간이 다시 벌어졌으나,
하악은 대부분 공간이 닫힌 상태였습니다.
오른쪽은 크라운 보철을 고려해
일부 공간을 의도적으로 남겨두었고,
교합 역시 점차 안정화되었습니다.
이 과정에서 상악동 위치 차이로 인해
왼쪽 치아 이동 속도가
다소 느린 점도 함께 확인되었습니다.

치료 완료 (2년 9개월)
최종적으로 모든 발치 공간이 닫히고
치아 배열은 안정적으로 정리되었습니다.
- 발치 부위는 보철 치료를 통해 대칭성 확보
- 어금니 교합 안정적으로 회복
- 돌출된 앞니가 후방으로 이동하며 입술 돌출 개선 확인
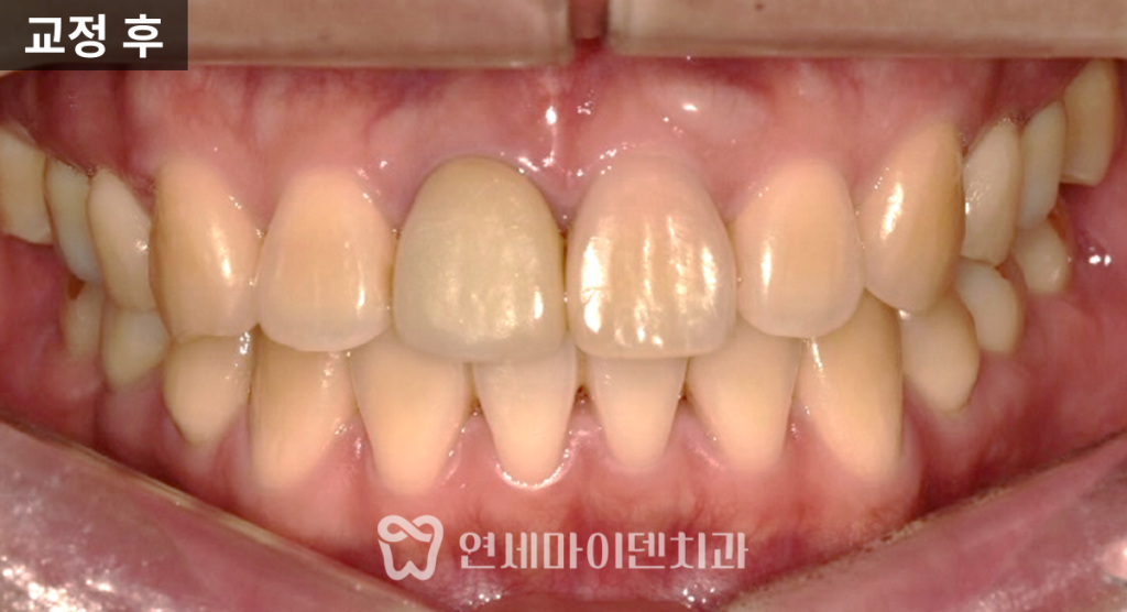
교정 전후 변화

염증과 불완전한 신경치료가 있었던 치아를 발치하고
사랑니까지 함께 정리한 뒤 교정을 진행했습니다.
치료 종료 시점에서는 뿌리 흡수 없이
안정적인 상태로 마무리되었습니다.

앞니 배열이 가지런해졌고,
측면에서는 입술 돌출이 개선되어
보다 조화로운 얼굴 라인을 확인할 수 있었습니다.

돌출입 교정 기간에 대해
이 환자는 군 복무로 인해
일정 기간 내원이 지연되는 상황이 있었음에도 불구하고,
총 2년 9개월의 치료 기간 동안
꾸준히 관리하여 교정을 마무리할 수 있었습니다.
만약 군 복무로 인한 내원 지연이 없었다면
치료 기간은 약 2년 반 정도로
단축되었을 것으로 예상됩니다.
많은 분들이 돌출입 교정은
비교적 짧은 기간에 끝날 것이라 생각하시지만,
오히려 치아 배열은 심하지 않고
돌출만 있는 경우
치료 기간이 길어지는 경우도 많습니다.
이 점을 충분히 이해한 상태에서
교정 치료를 시작하는 것이 중요합니다.
발치 교정, 필요할 때도 있습니다

이번 케이스처럼
예후가 좋지 않은 치아를 발치하면서
돌출까지 함께 개선하는 방식은
장기적인 안정성 측면에서도
유리한 선택이 될 수 있습니다.
발치 교정은 무조건 피해야 할 치료가 아니라,
개개인의 치아 상태, 골격 구조,
심미적 요구를 종합적으로 고려해
신중하게 결정해야 하는 치료입니다.
보존적이면서도 균형 잡힌 교정 계획이
무엇보다 중요합니다.
돌출입 교정을 고민하고 계신 분들께
이번 사례가 참고 자료가 되기를 바랍니다.
감사합니다.

예약 및 상담 02.6263.2828
더 자세한 내용을 확인하고 싶다면
아래 링크를 통해 유튜브 영상을 시청해보세요!
▼▼▼

예약 및 상담 02.6263.2828



