치아교정&임플란트 협진 증례: 1년 9개월
※ 본 글은 연세마이덴치과 의료진이 직접 진료한
실제 치료 사례를 바탕으로 작성되었습니다.
안녕하세요, 소중한 치아를 지키는
연세마이덴치과 닥터꼬집입니다.
오늘은 송곳니 위치 이상, 유치 잔존, 어금니 교합 불일치 등
여러 가지 복합적인 문제를 가진 환자분의
비발치 치아교정 임플란트 협진
치료 증례를 소개하고자 합니다.
잔존유치 가위교합 치아교정

환자분은 “전체적으로 가지런한 치아를 갖고 싶어요”라는
고민으로 내원하셨습니다.
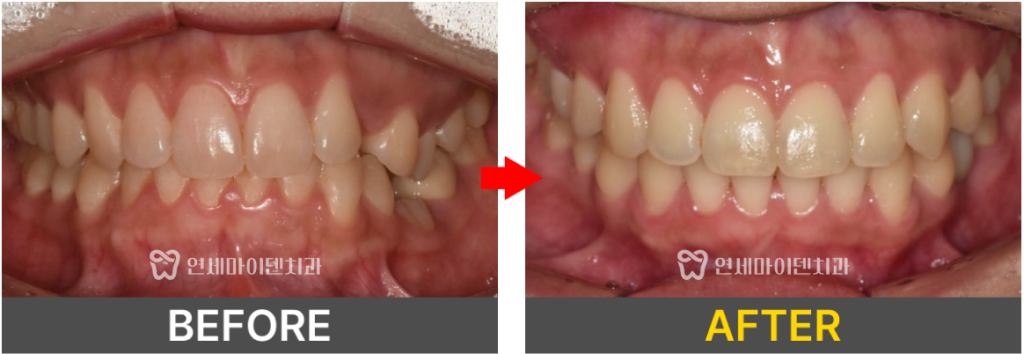
정면 구내 사진을 보면 왼쪽 위 송곳니가 보이지 않았고,
왼쪽 아래에는 유치가 남아 있는 상태였습니다.
유치는 오랜 기간 잔존하면서 뼈와 유착되어 있었고,
주변의 작은 어금니들이 비정상적으로 내려와 있었습니다.
또한 오른쪽 위 어금니는 바깥쪽으로 심하게 튀어나와
가위교합(cross bite) 을 형성하고 있었습니다.

방사선 촬영 결과, 유치 아래에는
영구치가 존재하지 않는 결손 상태였습니다.
위쪽 송곳니는 제자리를 벗어나
안쪽으로 매복되어 배열을 어지럽히고 있는 상태였습니다.

전체적으로 어금니는 뒤로 기울어 있고,
앞니는 올라간 형태로 교합의 높낮이가 불균형했으며,
얼굴 비율상 수직 길이도 짧아 보였습니다.
이런 경우 발치를 고려하기도 하지만,
환자분은 입술이 다소 안쪽으로 들어간 형태였기 때문에
비발치 교정이 가능하다고 판단하였습니다.
다만 잔존 유치는 장기적으로 유지가 어렵기 때문에
발치 후 임플란트로 대체하기로 하였습니다.
치아 교정, 임플란트 협진 치료과정

초진 구내 사진을 보면,
송곳니가 정상 위치에 있지 않고 유치가 남아 있어
치아의 높낮이가 맞지 않는 상태였습니다.
특히 오른쪽 위 어금니는 바깥으로 튀어나와
가위 교합을 형성하고 있었습니다.
또, 위아래 치아가 깊게 물리면서
아래 앞니도 삐뚤빼뚤한 모습이었어요.
남아있는 유치는 장기적으로 유지가 어려운 상태라서
발치 후 임플란트를 할 계획으로
치아 교정을 진행하기로 했습니다.

치료를 시작하면서 먼저 위아래 치아에
교정용 브라켓을 부착하고 치아 배열을 맞추기 시작했습니다.
특히 안쪽으로 들어간 송곳니가 배열될 수 있도록
공간을 확장하는 과정이 필요했습니다.
또한, 오른쪽 위 튀어나온 어금니는
미니스크류(미니 임플란트)를 이용해 제 위치로 당겨주었습니다.
교정 중에는 치아가 서로 부딪칠 수도 있어서,
아래쪽 치아에 임시로 파란 레진을 붙여서
교합을 띄우는 조치도 함께 진행했어요.
유치가 있던 부위는 발치 후 골 이식을 진행했고
교정치료 기간동안 공간을 확보한 뒤
임플란트를 식립하기로 했습니다.

치료 시작 약 1년 4개월 후,
바깥으로 돌출되었던 어금니와
안쪽으로 매복되어 있던 송곳니가
모두 제자리를 찾아 배열되었습니다.
위아래 중심선도 잘 맞춰졌고,
전체적으로 치열이 가지런하게 정돈된 모습을 확인할 수 있었습니다.

총 1년 9개월의 치료 기간 동안
치아 교정과 임플란트 치료를 병행하였습니다.
최종적으로 안쪽에 숨어있던 송곳니가 정상 배열을 이루고,
유치 부위에는 임플란트가 정확히 식립되어
기능적·심미적으로 모두 회복되었습니다.

비정상적으로 물리던 가위교합도 개선되었고,
중심선이 맞지 않았던 부분도
교정 후 확실히 균형을 되찾았습니다.
처음에는 비대칭이 심했던 교합이
이상적인 형태로 완성되었습니다.
발치 없이 치아교정이 가능한 이유

이 환자분처럼 여러 문제가 동시에 존재하더라도,
정확한 진단과 교정 전문의의 세밀한 계획이 있다면
발치 없이 교정이 가능합니다.
교정치료는 단순히 치아를 가지런히 만드는 것이 아니라,
환자의 골격 구조, 교합, 얼굴형, 치아 위치를
모두 고려해야 하는 정밀한 치료입니다.
📌 이런 경우에는 꼭 교정 상담을 받아보세요.
- “유치가 아직 남아 있는데 그냥 둬도 될까요?”
- “나도 발치하지 않고 교정이 가능할까요?”
- “교정과 임플란트를 같이 하면 치료 기간이 얼마나 걸릴까요?”
이런 고민이 있다면, 교정과 전문의와 상담을 통해
현재의 치아 상태를 정확히 진단받는 것이 좋습니다.
연세마이덴치과는 교정과 전문의가
교정 진단부터 치료까지 책임지고 있습니다.
궁금하신 부분은 언제든지
저희 연세마이덴치과로 연락주세요.
읽어주셔서 감사합니다.
더 자세한 내용을 확인하고 싶다면
아래 링크를 통해 유튜브 영상을 시청해보세요!
▼▼▼

예약 및 상담 02.6263.2828



