안녕하세요, 소중한 치아를 지키는
연세마이덴치과 닥터꼬집입니다.
앞니는 외관으로 가장 먼저 보이는 치아이기 때문에
많은 분들이 치료 결과를 걱정하십니다.
자연스러운 치료 결과가 나오지 않는다면
일상 속에서 사람을 만날 때마다 신경이 쓰이기 때문입니다.
오늘 소개해드릴 케이스의 환자분도 앞니 치료를 받아야하는데
자연스러운 치료 마무리가 가능할지 걱정하시면서 저희 병원에 오셨습니다.
어떤 케이스였고, 어떤 결과가 나왔을지 함께 살펴보겠습니다.
앞니 임플란트, 티 안나게 가능할까?

자연 치아를 잘 보존하는 것이 최우선이지만,
많은 환자분들이 과거 수차례의 신경치료를 받았거나
치아 손상, 염증 재발 등의 이유로 임플란트를 고민하게 됩니다.
이 환자분은 두 개의 앞니 모두 어렸을 때 신경치료를 받으셨고,
왼쪽 앞니는 치근단절제술까지 했지만 계속해서 염증이 재발하는 상태였습니다.

저희 병원에는 “다른 병원에서 전부 발치, 임플란트 해야한대요”
“어떻게든 제 치아를 살리고 싶어요”라는 환자분들이 정말 많이 오십니다.
저희 연세마이덴치과가 <내치아살리기> 프로젝트를 진행하고도 있고
많은 고난이도 치료 증례를 올려드리기 때문에
치료의 마지막 선택으로 찾아오시는 분들이 많습니다.
이 환자분께서는 어렸을 때부터 계속되는 앞니 치료에
많은 스트레스를 받고 살아오셨다고 합니다.
그래서 “차라리 앞니 임플란트를 해서 더이상 스트레스 받고싶지 않다”며
앞니 임플란트 진행을 원하셨습니다.

우선은 치아의 상태를 확인한 뒤 살릴 수 없는 치아인게 확실하다면
앞니 임플란트를 진행하기로 했습니다.
우선 치근단절제술까지 진행했던 왼쪽 앞니는
이미 치아에 금이 가고 남아있는 치질도 많이 없는 상태였습니다.
이런 경우 발치하지 않으면 치아 금으로 균이 침투해
계속해서 주변 뼈를 녹이기 때문에 발치가 필요한 상황이었습니다.
이때, 자연스러운 앞니 임플란트 결과를 위해서는
신속한 발치와 임플란트 식립이 중요합니다.
잇몸 뼈가 녹을수록, 발치 후 임플란트 식립이 늦어질수록
잇몸 라인이 무너져서 심미적인 결과를 얻기 힘들기 때문입니다.
왼쪽 앞니는 자연스러운 잇몸 라인을 위해
당일 발치 즉시 임플란트를 진행하기로 했습니다.

오른쪽 앞니는 신경치료했던 뿌리 끝에 염증이 있기는 하지만
크랙이 있거나 심한 염증이 있는 건 아니었습니다.
그래서 재신경치료를 통해 최대한 자연치아를 살리기로 하였습니다.
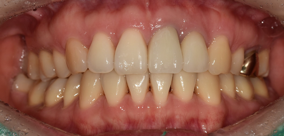
내 치아같은 보철물로 완성도 높이기
앞니 치료는 자연스러움이 생명입니다.
단순히 하얗고 깨끗한 보철물만이 좋은 앞니 치료가 아닙니다.
내 치아의 크기와 모양, 색깔을 고려해서
정교하게 보철물을 제작해야만 자연스러운 결과를 얻을 수 있습니다.
이 환자분은 치아의 끝 면이 투명하게 빛이 투과되는 특성이 있었고,
이러한 특성을 최대한 반영해 치아 색상과 비슷한 지르코니아 크라운을 제작했습니다.

그 결과, 어떤게 자연 치아고 크라운인지 구별이 되지 않을 정도로
자연스러운 결과물을 얻을 수 있었습니다.
환자분도 앞니 임플란트를 결정할 때는
앞으로 환하게 웃지 못할까봐 걱정을 많이 하셨는데
치료 결과를 보시고 어떤게 임플란트인지 구별도 안 된다면서
굉장히 만족스러워 하셨습니다.

이제 환자분은 더이상 앞니에 염증이 재발할 걱정도,
치료 중인 치아를 숨길 걱정도 하지 않아도 됩니다.
자연스러운 결과도 중요하지만, 이후 치료의 경과도 중요하기 때문에
환자분은 꾸준히 정기검진을 통해 경과를 관찰하고 있습니다.
임플란트는 시기와 테크닉이 매우 중요한 시술입니다.
특히 앞니 치료의 경우 심미성도 필수적인 요소이기 때문에
믿을 수 있는 병원에서 충분한 상담을 받는 것이 중요합니다.
어린 시절 신경치료나 외상으로 약해진 치아 때문에 스트레스 받으시거나
앞니 임플란트를 고민하고 계신 분들께 이번 사례가 도움이 되셨길 바랍니다.
자세한 상담이 필요하시거나 궁금한 부분이 있다면
언제든지 연세마이덴치과로 연락주세요.
(☎ 02.6268.2828)
읽어주셔서 감사합니다.
더 자세한 내용을 확인하고 싶다면,
아래 링크를 통해 유튜브 영상을 확인해보세요!
▼▼▼

