VPT 생활치수치료 증례: 상부 치아크랙
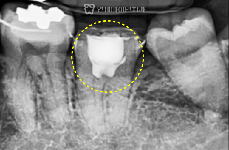
VPT 생활치수치료 증례: 상부 치아크랙 최근 진료실에서 자주 마주하는환자분들의 공통된 고민이 있습니다. 다른 치과에서 치료를 받았지만…
VPT 생활치수치료 증례: 상부 치아크랙 최근 진료실에서 자주 마주하는환자분들의 공통된 고민이 있습니다. 다른 치과에서 치료를 받았지만…
발치 즉시 임플란트 3년 증례: 치아 퍼포레이션 저희 병원에는 발치 진단을 받으신 후에도신경치료를 통해 치아를 살려보고자찾아오시는…
안녕하세요, 소중한 치아를 지키는연세마이덴치과 닥터꼬집입니다. 오늘은 잇몸 고름과 염증때문에타 치과에서 발치 진단을 받았지만, 신경치료를 통해 치아를…