어금니 임플란트 증례: 치주질환 치료
※ 본 글은 연세마이덴치과 의료진이 직접 진료한
실제 치료 사례를 바탕으로 작성되었습니다.
안녕하세요, 소중한 치아를 지키는
연세마이덴치과 닥터꼬집입니다.
연세마이덴치과에는 치아를 보존하기 어려운 상태에서
내원하시는 환자분들이 많습니다.
치아를 가능한 한 살리기 위해
다양한 보존적 치료를 시행하지만,
골조직 파괴가 심하거나 치주조직이 손상된 경우에는
임플란트 치료가 불가피합니다.
그중에서도 대표적인 원인이 바로
치주 질환(잇몸병) 입니다.
치주 질환은 신경치료로 통증이 일시적으로 완화되더라도
결국 뼈의 파괴가 진행되어
임플란트로 이어지는 경우가 많습니다.
이번 사례는 심한 치주염으로 인해
세 부위의 임플란트 치료를 시행한 환자 사례입니다.

환자분은 오른쪽 아래 어금니의 통증과
흔들림을 주소로 내원하셨습니다.
엑스레이 검사 결과, 해당 치아의 뿌리 주변 치조골이
심하게 흡수된 상태로 확인되었습니다.
겉보기에는 일부 뿌리가 정상처럼 보였으나,
세균막이 깊이 침투하여 치근 주위의 골소실이
광범위하게 진행된 상태였습니다.
이러한 경우에는 신경치료나 치근절제술로는
예후를 기대하기 어렵기 때문에
발치 및 즉시 임플란트 치료를 계획하였습니다.
또한 반대편 어금니와 상악 어금니에서도
동일하게 치주염이 진행되어
총 세 부위에 대한 치료가 필요하다고 판단하였습니다.

CT 촬영 결과, 치아 후방부의 뼈는 완전히 흡수되어 있었지만
전방부에는 일부 치조골이 남아 있어서
고정력을 확보할 수 있었습니다.

이에 따라 발치와 동시에 임플란트를 식립하였으며,
흡수된 부위에는 골이식(bone graft) 을 병행하였습니다.
발치 직후 치근 표면을 관찰한 결과,
세균막이 치근 전체를 덮고 있어 뼈 재생이 불가능한 상태였습니다.

철저한 염증 제거와 이식재 충전을 통해
임플란트가 안정적으로 골유착되었으며
잇몸도 정상적으로 회복되었습니다.

좌측 하악 제2대구치 역시
심한 치조골 흡수가 관찰되었습니다.

해당 부위는 보존치료가 불가능하다고 판단하여
발치를 시행하였으며,
세균막과 염증조직을 완전히 제거한 후
즉시 임플란트 식립 및 뼈이식을 진행하였습니다.

치료 후 안정적인 초기 고정이 확보되었으며,
양측 교합의 균형이 회복되었습니다.

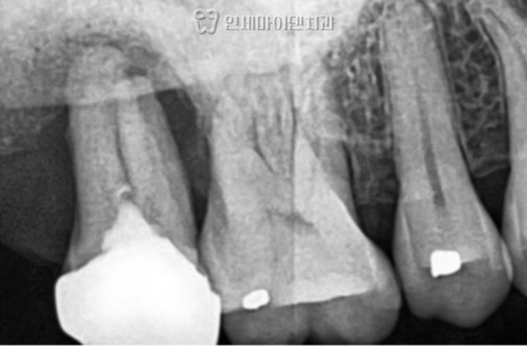
상악 좌측 제2대구치는 초기에는
신경치료 후 크라운 수복까지 완료하였으나,
7개월 후 재내원 시 입천장 쪽 치근 주위의 치조골이
완전히 소실된 상태였습니다.
외측 치근이 정상으로 보여 판단이 어려웠던 케이스로,
세균막이 치근 내면 깊숙이 형성되어 있었습니다.


이 부위는 즉시 임플란트가 불가능하다고 판단하여
우선 발치와 보존술(socket preservation) 을 시행하였습니다.


4개월 후 잇몸과 뼈가 충분히 재생되어
상악동과 연계한 지연 임플란트를 식립하여 마무리하였습니다.

치주 질환은 세균 감염으로 인해
치조골이 서서히 파괴되는 질환입니다.
식사나 구강 내 세균 증식으로 인해 형성되는 바이오필름(biofilm) 은
일반적인 칫솔질로는 완전히 제거되지 않으며,
시간이 지나면서 잇몸 깊은 부위로 확산되어 뼈를 흡수시킵니다.
따라서 치주 질환의 관리에는
가정 내 구강 위생 관리와 전문적 치과 치료의 병행이 필수적입니다.
정기적인 스케일링과 세균막 제거 치료를 통해
치주조직의 손상을 최소화하고,
치아 상실을 예방할 수 있습니다.
이번 사례에서처럼, 뿌리 끝까지 진행된 치주염은
신경치료만으로는 근본적인 치료가 불가능합니다.
이미 세균막이 침투하여 뼈가 손상된 경우에는
과감한 발치 후 임플란트 치료가
예후를 높이는 가장 현실적인 방법입니다.
연세마이덴치과에서는
정밀 진단, 뼈이식, 발치 즉시 임플란트 등
고난도 치주 연계 치료를 통해
기능적 안정성과 심미적 복원을 동시에 달성하고 있습니다.
궁금하신 부분이 있으시면
언제든지 연세마이덴치과로 연락주세요.
읽어주셔서 감사합니다.
더 자세한 내용을 확인하고 싶다면
아래 링크를 통해 유튜브 영상을 시청해보세요!
▼▼▼

예약 및 상담 02.6263.2828



