자연스러운 앞니 심미치료 케이스

설명

<자연스러운 앞니 심미치료 케이스> 글 목록



  • 앞니 신경치료, 실활치미백 증례: 크라운 없이 레진수복

    앞니 신경치료, 실활치미백 증례: 크라운 없이 레진수복

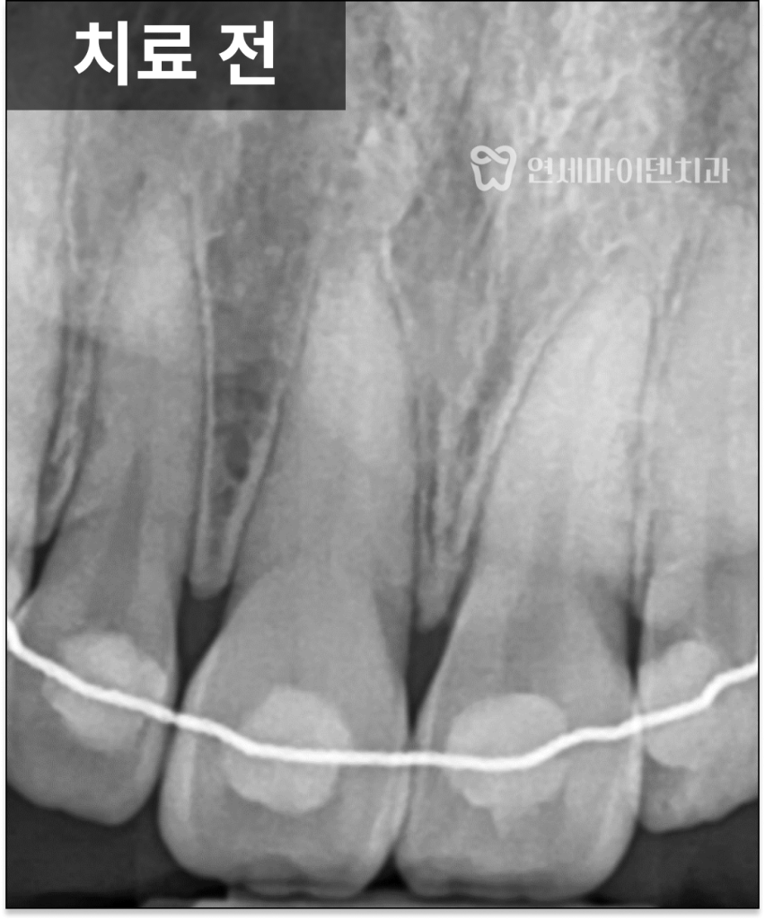
    ※ 본 글은 연세마이덴치과 의료진이 직접 진료한
    실제 치료 사례를 바탕으로 작성되었습니다.


    안녕하세요, 소중한 치아를 지키는
    연세마이덴치과 닥터꼬집입니다.

    이번에 다룰 케이스는
    운동 중 앞니를 부딪힌 이후
    옆 치아와 색이 달라져 내원하신 케이스입니다.

    앞니 외상은 단순히 깨지거나 금이 가는 문제뿐 아니라
    시간이 지나면서 색이 변하거나
    신경에 문제가 생기는 경우도 적지 않습니다.

    특히 통증이 사라진 뒤 변색만 남는 경우에는
    치료를 미루기 쉬운데,
    이 시점에서 정확한 판단이 중요합니다.

    앞니 외상 후 변색, 왜 생길까

    외상 직후 통증이 있었다가
    시간이 지나면서 통증이 사라지고
    색만 변하는 경우
    가 있습니다.

    이때 엑스레이상 뿌리 끝에
    뚜렷한 염증이 보이지 않는 경우도 많습니다.

    염증은 대부분 서서히 진행되는
    만성적인 변화이기 때문에,
    외상 직후 며칠 만에 뼈가 급격히 녹는 형태로
    나타나는 경우는 드뭅니다.

    따라서 겉으로 보이는 색 변화만으로
    단순 착색인지, 내부 문제인지
    구분하는 것이 중요
    합니다.

    정상 치아와 비교해 보았을 때
    해당 치아만 유독 어둡고 노란빛을 띤다면
    표면 문제가 아니라
    치아 내부 변화 가능성을 우선적으로
    생각해볼 수 있습니다.

    외상 후 변색된 치아, 어떻게 검사할까

    외상 이후 가장 흔하게 발생하는 문제는
    치수 괴사입니다.

    치아 내부 신경이 손상되어
    점차 기능을 잃게 되면
    혈류 공급이 줄어들면서
    치아 색이 점점 어두워지는 특징을 보입니다.

    이때 중요한 검사가
    생활력 검사입니다.

    치아가 살아있는지,
    이미 신경이 괴사된 상태인지
    판단
    하는 과정입니다.

    먼저 냉검사를 통해
    찬 자극에 반응이 있는지 확인하고,

    반응이 없을 경우
    전기 치수 검사를 통해
    신경 반응 여부를 추가로 확인합니다.

    이번 케이스에서는
    냉검사와 전기 검사 모두에서
    반응이 나타나지 않아

    신경이 이미 괴사된 상태로 판단했습니다.

    신경치료, 꼭 해야 하는 경우

    외상 이후라고 해서
    무조건 신경치료를 진행하는 것은 아닙니다.

    생활력 검사를 통해
    신경이 살아 있는 경우에는
    불필요한 치료를 피하는 것이 원칙입니다.

    하지만 이번처럼
    검사 결과가 모두 음성으로 확인되고
    신경이 기능을 상실한 경우에는
    감염을 예방하고 추가적인 문제를 막기 위해
    신경치료가 필요합니다.

    실제로 치료 과정에서 확인해보니
    치수는 이미 괴사된 상태였습니다.

    교정 유지장치가 있어도 치료 가능할까

    앞니 안쪽에는
    교정 유지장치가 부착되어 있었지만,

    전체를 제거할 필요는 없었습니다.

    신경치료가 필요한 부위만
    부분적으로 조정한 뒤 치료
    를 진행하고,

    치료 후에는 해당 부위만
    다시 보수하는 방식으로 마무리했습니다.

    이처럼 기존 장치를 유지하면서도
    필요한 치료는 충분히 진행할 수 있습니다.

    앞니 신경치료 후, 크라운이 꼭 필요할까

    신경치료를 했다고 해서
    모든 앞니에 크라운이 필요한 것은 아닙니다.

    어금니에 비해 앞니는
    받는 힘이 상대적으로 적고,
    남아 있는 치질이 충분하다면

    레진 수복만으로도
    기능을 유지할 수 있습니다.

    이번 케이스에서도
    치아 구조가 비교적 잘 유지되어 있었기 때문에
    크라운 없이 보존적인 치료를 선택했습니다.

    변색을 개선하기 위해
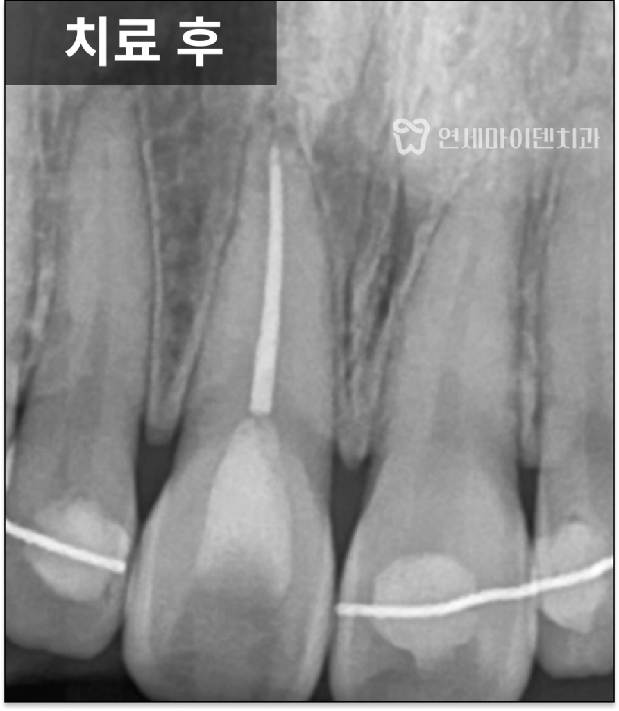
    치아 내부에 미백제를 적용하는
    실활치 미백을 진행했고,

    1~2주 경과 후
    색이 자연스럽게 회복된 것을 확인한 뒤
    레진으로 마무리했습니다.

    크라운 없이 자연스럽게 복원한 이유

    앞니는 심미적인 영향이 큰 부위이기 때문에
    가능하다면 치아 삭제를 최소화하는 것이 중요합니다.

    적절한 위치에서 신경관 충전 재료를 정리하고
    상부를 레진으로 안정적으로 접착하면
    변색 재발도 충분히 줄일 수 있습니다.

    이번 케이스는
    외상으로 인해 불가피하게 신경치료가 필요했지만,

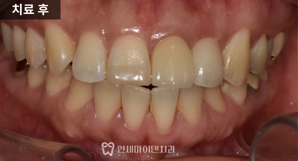
    크라운 없이
    자연스러운 색과 형태를 유지하며
    치아를 보존할 수 있었습니다.

    또한 유지장치 역시
    레진으로 깔끔하게 복원하여
    겉에서 보았을 때도 티 나지 않도록 마무리했습니다.

    앞니 외상 이후 치료 여부는
    겉으로 보이는 색 변화가 아니라
    치아의 생활력 상태를 기준으로 판단해야 합니다.

    치아가 살아 있다면
    불필요한 치료를 피하는 것이 중요하고,

    반대로 신경이 괴사된 경우에는
    적절한 시기에 신경치료를 진행해야
    추가적인 염증을 예방할 수 있습니다.

    외상 치아는 시간이 지나면서
    상태가 변하는 경우도 많기 때문에
    정확한 진단과 단계적인 판단이 필요합니다.

    초기에 올바르게 접근한다면
    불필요한 크라운이나 임플란트 없이도
    자연치아를 충분히 유지할 수 있습니다.

    감사합니다.


    더 자세한 내용을 확인하고 싶다면
    아래 링크를 통해 유튜브 영상을 시청해보세요!
    ▼▼▼

    예약 및 상담 02.6263.2828

  • 앞니 재신경치료 증례: 염증재발 발치 진단

    앞니 재신경치료 증례: 염증재발 발치 진단

    ※ 본 글은 연세마이덴치과 의료진이 직접 진료한
    실제 치료 사례를 바탕으로 작성되었습니다.


    안녕하세요, 소중한 치아를 지키는
    연세마이덴치과 닥터꼬집입니다.

    이번 치료 케이스는
    예전에 신경치료를 받았던 앞니
    염증과 통증이 생겨 내원하신 케이스입니다.

    앞니는 기능적인 불편뿐 아니라
    겉으로 보이는 부위이기 때문에

    치료 기간이 길어지거나
    결과가 만족스럽지 않을까에 대한
    심리적인 부담도 큰 부위입니다.

    이번 케이스 역시
    다른 치과에서 발치 후 임플란트까지
    권유받은 상황이었지만,

    자연치아를 살릴 수 있는 가능성
    우선적으로 검토한 케이스였습니다.

    앞니 신경치료 후 염증 재발, 왜 생길까

    치료 전 엑스레이를 보면
    앞니는 이미 신경치료 후 크라운까지
    마무리된 상태였습니다.

    다만 한쪽 치아의 뿌리 끝에만
    둥글게 뼈가 녹아 있는
    큰 염증
    이 관찰되었습니다.

    이처럼 동그랗게 경계가 명확한 염증은
    치근단 낭종 형태의 염증일 가능성이 높고,

    대부분 신경관 내부의 감염이
    완전히 제거되지 않았을 때
    발생
    하는 경우가 많습니다.

    즉, 겉으로는 치료가 끝난 상태처럼 보여도
    치아 내부에서는 감염이 지속되고 있었던 상황입니다.

    발치 대신 재신경치료를 먼저 선택한 이유

    이런 경우
    “이미 신경치료를 했는데 또 해야 하나요?”
    라는 질문을 많이 하게 됩니다.

    신경관은 사람마다 구조가 다르고
    가지처럼 갈라진 형태를 가지고 있어
    처음 치료에서 모든 공간을
    완벽하게 처리하지 못하는 경우가 있습니다.

    따라서 염증이 재발했다는 것은
    내부 어딘가에 감염원이 남아 있을
    가능성
    이 높다는 의미입니다.

    이 상태에서 바로 치근단 절제술을 진행하면
    겉에서 염증만 제거하는 것이지
    내부 감염을 해결하지 못할 수 있습니다.

    그래서 원칙적으로는
    먼저 재신경치료를 통해
    내부를 다시 정리하는 과정이 필요합니다.

    재신경치료에서 가장 중요한 핵심

    재신경치료의 본질은
    ‘내부를 얼마나 깨끗하게 정리하느냐’입니다.

    기존의 충전 재료와 오염된 조직을 모두 제거하고,
    신경관 내부를 세척·소독·멸균하는 과정을 반복하게 됩니다.

    이 과정이 제대로 이루어져야
    염증의 원인이 제거되고
    뿌리 끝의 병소도 자연스럽게 회복
    될 수 있습니다.

    치료 후에는 임시치아 상태
    일상생활을 하며 경과를 확인했고,

    통증과 불편감이 사라진 것을 확인한 뒤
    레진 코어를 통해 내부 구조를 보강하고
    최종 보철까지 진행했습니다.

    앞니 크라운, 자연스럽게 만드는 기준

    앞니 치료에서는 기능만큼 중요한 것이
    자연스러운 심미성입니다.

    모든 치아를 동일하게 하얗게 만드는 것이 아니라,
    기존 자연치아의 색조와 조화를 맞추는 것이 핵심입니다.

    이 케이스에서도
    기존 크라운은 중간 톤이 어색하게 노랗게 보여
    자연스럽지 않은 상태였고,

    반대편 자연치아의 색을 기준으로
    톤을 맞추어 보철을 제작
    했습니다.

    자연치아는 단일 색이 아니라
    부위에 따라 색의 깊이와 투명도가 다르기 때문에
    이 부분을 고려한 보철 설계가 중요합니다.

    치료 후 6개월, 염증의 변화

    재신경치료 후 약 6개월이 지나자
    뿌리 끝에 있던 염증은 점차 줄어들고
    뼈가 다시 차오르는 양상이 확인되었습니다.

    결과적으로 치근단 절제술이나 발치 없이
    재신경치료와 크라운만으로
    치아를 보존
    할 수 있었습니다.

    수술까지 진행할 수 있었던 상황이었지만,
    원칙적인 접근을 통해
    보다 보존적인 방향으로 치료가 마무리된 케이스입니다.


    신경치료 후 염증이 재발했다고 해서
    곧바로 발치나 임플란트로 이어지는 것은 아닙니다.

    가장 중요한 것은
    치아 내부의 감염 원인을 정확히 파악하고
    원인을 제거하는 것입니다.

    재신경치료는 시간이 걸리고
    난이도가 높은 치료이지만,

    내부를 제대로 정리할 수 있다면
    치아를 오랫동안 유지할 수 있는
    가능성
    충분히 만들어낼 수 있습니다.

    겉으로 보이는 보철보다
    치아 내부의 상태가
    장기적인 결과를 결정
    한다는 점을
    기억하시는 것이 중요합니다.

    감사합니다.


    더 자세한 내용을 확인하고 싶다면
    아래 링크를 통해 유튜브 영상을 시청해보세요!
    ▼▼▼

    예약 및 상담 02.6263.2828

  • 앞니 재신경치료&실활치미백 증례: 포스트 제거

    앞니 재신경치료&실활치미백 증례: 포스트 제거

    ※ 본 글은 연세마이덴치과 의료진이 직접 진료한
    실제 치료 사례를 바탕으로 작성되었습니다.


    안녕하세요, 소중한 치아를 지키는
    연세마이덴치과 닥터꼬집입니다.

    오래전에 신경치료를 받은 앞니
    점점 어둡게 변색되면서
    심미적인 불편을 느끼는 경우가 많습니다.

    특히 금속 포스트가 들어간 치아는
    시간이 지나면서 색이 비쳐 보이거나
    전체적으로 까맣게 변색되는 경우가 흔합니다.

    통증이 없더라도
    앞니 색이 얼룩덜룩해 보이거나 어두워지면
    심리적인 부담이 커질 수밖에 없습니다.

    오늘은 금속 포스트로 인해 변색된 앞니
    재신경치료보철 치료를 통해
    자연스럽게 회복한 케이스를 설명드리겠습니다.

    오래된 신경치료 치아, 변색의 원인

    해당 치아는 과거 신경치료 후
    금속 포스트
    가 삽입된 상태였고,

    크라운 없이 레진으로 마무리되어 있었습니다.

    겉으로는 큰 문제가 없어 보였지만
    치아 사이에는 충치가 진행되어 있었고,
    뿌리 끝에는 염증 소견도 확인되었습니다.

    이처럼 변색만 있는 것처럼 보이는 경우에도
    내부에는 이미 문제가 진행되고 있는 경우가 많습니다.

    왜 크라운 치료를 선택했을까

    앞니는 신경치료 후에도
    반드시 크라운을 해야 하는 부위는 아닙니다.

    하지만 이 케이스에서는
    이미 충치로 인해 치질이 일부 손상되어 있었고,
    기존 레진 수복 상태도 좋지 않은 상황이었습니다.

    이 상태에서 다시 신경치료를 진행하면
    치아에 남아 있는 구조가 더욱 약해지기 때문에

    장기적인 안정성을 고려해
    크라운 치료를 함께 계획했습니다.

    포스트 제거와 재신경치료

    치료의 핵심은
    겉이 아니라 내부를 정리하는 과정입니다.

    기존 레진을 제거해보니
    금속 포스트가 일부 노출되어 있었고,
    내부 상태도 깨끗하지 않은 상황이었습니다.

    먼저 포스트를 제거한 뒤
    신경관 내부를 다시 청소하는
    재신경치료를 진행했습니다.

    이 과정에서는 러버댐을 이용해
    외부 침과 세균이 들어가지 않도록 격리하는 것이 중요합니다.

    내부 감염원을 제대로 제거하지 않으면
    아무리 좋은 보철을 하더라도
    장기적인 결과를 기대하기 어렵기 때문입니다.

    실활치 미백과 색상 정리

    내부 치료가 마무리된 이후에는
    실활치 미백을 통해 변색을 먼저 정리했습니다.

    금속 포스트로 인해 어둡게 변한 색을
    내부에서 밝히는 과정으로,

    이 단계를 거치면
    최종 보철 색을 보다 자연스럽게 맞출 수 있습니다.

    얼룩덜룩한 상태에서 바로 크라운을 진행하는 것보다
    훨씬 안정적인 결과로 이어집니다.

    자연스러운 앞니 크라운의 기준

    앞니 크라운에서 중요한 것은
    단순히 밝은 색이 아니라
    주변 치아와의 조화입니다.

    자연치아는 하나의 색으로 이루어져 있지 않고,
    치아 끝은 투명하고
    치경부로 갈수록 따뜻한 색을 띠는 구조
    를 가지고 있습니다.

    이러한 특성을 반영해 제작해야
    겉으로 보았을 때 자연스럽게
    어우러지는 결과를 만들 수 있습니다.

    치료 이후
    뿌리 끝 염증이 있던 부위에서는
    뼈가 다시 형성되는 양상
    이 확인되었고,

    이는 내부 치료가
    안정적으로 이루어졌다는 의미입니다.

    앞니 보철 역시
    시간이 지나도 색감과 형태가 안정적으로 유지되고 있으며,
    주변 치아와도 자연스럽게 조화를 이루고 있습니다.

    앞니 변색은 단순한 색의 문제가 아니라
    내부 상태와 구조적인 문제까지 함께 고려해야 합니다.

    겉만 덮는 치료보다는
    내부를 정확하게 정리한 뒤
    그 위에 보철을 진행하는 것이
    장기적인 안정성과 만족도를 높이는 방법입니다.

    또한 앞니 보철은
    ‘얼마나 하얀가’보다
    ‘얼마나 자연스럽게 어울리는가’가 더 중요합니다.

    앞니 변색으로 고민하고 있다면
    외형만이 아니라
    치아 내부 상태까지 함께 점검
    한 후
    치료 방향을 결정하시길 권해드립니다.

    감사합니다.


    더 자세한 내용을 확인하고 싶다면
    아래 링크를 통해 유튜브 영상을 시청해보세요!
    ▼▼▼

    예약 및 상담 02.6263.2828

  • 앞니 치근단절제술 증례: J자 염증

    앞니 치근단절제술 증례: J자 염증

    ※ 본 글은 연세마이덴치과 의료진이 직접 진료한
    실제 치료 사례를 바탕으로 작성되었습니다.


    안녕하세요, 소중한 치아를 지키는
    연세마이덴치과 닥터꼬집입니다.

    위 앞니에 염증이 생기거나 고름이 반복되면
    치과마다 진단이 달라 혼란을 겪는 경우가 많습니다.

    어떤 곳에서는 재신경치료를 이야기하고,
    어떤 곳에서는 치근단 수술을,
    또 어떤 곳에서는 발치 후 임플란트를 권유하기도 합니다.

    특히 앞니는 심미적인 부담이 크기 때문에
    “뽑아야 한다”는 이야기를 들으면
    치료 방향을 쉽게 결정하기 어려운 경우가 많습니다.

    오늘은 앞니 염증으로 여러 진단을 듣고
    혼란을 겪던 케이스에서
    어떤 기준으로 치료 방향을 결정했는지 설명드리겠습니다.

    앞니 염증, 위치가 중요한 이유

    해당 환자는 구강 내 크라운 수복이 많은 상태였고,
    문제가 된 앞니 부위에는 비교적 큰 염증이 관찰되었습니다.

    특히 염증의 위치가
    치아 뿌리 끝이 아니라 측면을 따라
    길쭉하게 형성
    되어 있었습니다.

    이런 형태의 염증은
    단순한 치근단 염증과는 다르게 해석해야 합니다.

    임상적으로 이런 패턴이 보일 경우
    두 가지 가능성을 먼저 고려하게 됩니다.

    하나는 치아에 금이 간 경우로,
    이 경우에는 보존이 어렵고 임플란트가 필요할 수 있습니다.

    다른 하나는 앞니에서 비교적 흔하게 나타나는
    측방 근관과 같은 해부학적 구조로 인해
    염증이 측면으로 퍼진 경우입니다.

    이 두 가지는 치료 방향이 완전히 다르기 때문에
    정확한 구분이 중요합니다.

    석회화된 신경관, 치료의 한계

    문제가 된 치아는
    신경관이 많이 석회화되어 있는 상태였습니다.

    이 경우에는 재신경치료를 시도하더라도
    뿌리 끝까지 완전히 접근하기 어려울 수 있습니다.

    그래서 우선 재신경치료를 시도하되,
    치료 결과에 따라
    치근단 수술까지 이어지는 계획을 세웠습니다.

    치료 과정 중 크랙이 발견된다면
    즉시 발치로 전환하는 것을
    사전에 설명드리고 진행했습니다.

    미세현미경을 이용해 신경관을 탐색했지만
    석회화가 심해
    완전한 신경관 확보는 어려운 상태였고,

    결국 계획했던 다음 단계인
    치근단 절제술로 치료 방향을 전환했습니다.

    치근단 절제술로 확인한 결정적 요소

    치근단 수술의 가장 중요한 목적 중 하나는
    단순히 염증을 제거하는 것이 아니라
    치아의 상태를 직접 확인하는 것입니다.

    수술 과정에서 뿌리 끝을 절제하
    단면을 관찰한 결과,

    치아에 금이나 크랙은 발견되지 않았습니다.

    이 경우에는 치아를 보존할 수 있는 조건이기 때문에
    뿌리 끝을 정리한 뒤
    MTA 재료로 밀폐해 수술을 마무리했습니다.

    또한 뼈 손실이 심하지 않아
    별도의 뼈 이식 없이
    자연적인 회복
    을 기대할 수 있는 상태였습니다.

    치료 결과와 치아별 다른 판단

    경과를 지켜본 결과
    해당 치아 부위에는
    점차 뼈가 다시 형성되는 모습이 확인되었습니다.

    결과적으로 이 치아는
    발치 없이 보존할 수 있었습니다.

    반면 인접 치아는
    재신경치료 과정 중
    크랙
    이 확인되었고,

    구조적으로 보존이 어려운 상태였기 때문에
    발치 후 임플란트로 치료를 진행했습니다.

    이처럼 같은 부위라도
    치아마다 상태가 다르기 때문에
    치료 결과 역시 달라질 수 있습니다.

    임플란트 진행 시에는
    잇몸 형태를 최대한 보존하는 방향으로 수술을 진행했고,

    이후 부자연스럽게 보이던 기존 크라운도
    자연스러운 색감으로 재제작해
    심미적인 부분까지 함께 개선했습니다.

    앞니 염증은 단순히
    “염증이 있다 → 발치한다”는 방식으로
    접근할 수 있는 문제가 아닙니다.

    염증의 위치와 형태,
    신경관의 상태,
    그리고 치아의 구조적인 안정성까지

    여러 요소를 종합적으로 판단해야
    올바른 치료 방향을 결정할 수 있습니다.

    특히 측면으로 길게 퍼진 염증의 경우
    치근파절인지, 해부학적 구조로 인한 염증인지에 따라
    결과가 완전히 달라질 수 있습니다.

    이번 케이스처럼
    정확한 진단과 단계적인 접근을 통해
    살릴 수 있는 치아는 보존하고,

    보존이 어려운 치아만 선택적으로 치료하는 것이
    장기적으로 더 좋은 결과를 만드는 방법입니다.

    앞니 염증으로 치료 방향이 고민되신다면
    단순한 결론보다
    진단 과정과 판단 기준을 함께 확인해보시길 권해드립니다.

    감사합니다.


    더 자세한 내용을 확인하고 싶다면
    아래 링크를 통해 유튜브 영상을 시청해보세요!
    ▼▼▼

    예약 및 상담 02.6263.2828

  • 앞니 임플란트 증례: 앞니 변색

    앞니 임플란트 증례: 앞니 변색

    ※ 본 글은 연세마이덴치과 의료진이 직접 진료한
    실제 치료 사례를 바탕으로 작성되었습니다.


    안녕하세요, 소중한 치아를 지키는
    연세마이덴치과 닥터꼬집입니다.

    안녕하세요.
    치과일타 닥터꼬집 입니다.

    이번 케이스는 통증이 아니라
    심미적인 이유로 내원한 경우입니다.

    10년 전 신경치료를 받은 앞니
    변색이 생겨서 불편함을 호소하셨고,
    통증은 없는 상태였습니다.

    “색이 점점 어두워진다”,
    “사진 찍을 때 보인다”
    는 점이
    주된 불편이었습니다.

    치아를 확인해보니
    크라운 치료는 되어 있지 않았습니다.

    외형상 라미네이트로 보이는 경계가 있었고,
    잇몸 하방까지 변색이 관찰되었습니다.

    입천장 쪽에는
    과거 레진으로 크게 수복한 흔적이 있었고
    전체적으로 내부 구조가 불안정해 보였습니다.

    방사선 사진에서는
    뿌리 끝에 가벼운 염증 소견이 확인되었습니다.

    신경치료가 완벽해 보이지는 않았기 때문에
    단순 미백이 아닌
    재신경치료 가능성을 먼저 고려했습니다.

    재신경치료 중 발견된 이상 소견

    레진을 제거하고
    신경관을 확인하는 과정에서
    이상한 소견이 관찰되었습니다.

    신경치료 재료인 거타퍼차
    정상적인 신경관 위치가 아닌
    입술 쪽 외측에서도 보였습니다.

    정상적인 구조라면
    나올 수 없는 위치
    였습니다.

    CT로 추가 확인한 결과
    치아 외측으로 천공이 존재했습니다.

    즉, 신경관이 아닌 부위에
    인위적인 구멍이 형성되어 있었고
    그 부위로 재료가 유출된 상태였습니다.

    왜 보존이 아닌 발치를 선택했을까

    천공이 있다고 해서
    무조건 발치가 필요한 것은 아닙니다.

    위치와 크기,
    염증 범위에 따라
    수복이 가능한 경우도 있습니다.

    다만 이번 케이스는
    천공 위치가 외측 잇몸과 가까웠고
    장기적으로 뼈 흡수와 잇몸 하강 가능성
    높다고 판단했습니다.

    이 경우 운이 좋게도
    아직 염증 반응이 심하지 않아,
    겉으로는 통증보다 변색만 두드러졌습니다.

    하지만 시간이 지나면
    뼈가 서서히 녹고
    잇몸 라인이 무너질 가능성
    이 있습니다.

    앞니는 잇몸 형태가 무너지면
    임플란트를 하더라도
    심미적 회복이 어려워질 수 있습니다.

    그래서 잇몸 구조가 크게 손상되기 전에
    발치 후 임플란트로 방향을 결정했습니다.

    치료 과정

    발치 즉시 임플란트를 식립했습니다.

    앞니 부위는
    식립 위치와 깊이가 매우 중요합니다.

    천공이 있던 부위를 중심으로
    가능한 범위에서 뼈이식을 병행했고,
    잇몸 형태를 유지하기 위해
    절개를 최소화하는 방식으로 진행했습니다.

    앞니잇몸 레벨 유지
    결과를 좌우합니다.

    치료 후에는
    변색으로 고민하던 부위가
    임플란트로 수복되었고,

    잇몸선이 크게 무너지지 않은 상태로
    마무리
    되었습니다.

    이번 케이스는
    신경치료 후 10년이 지나 앞니가 변색되었지만
    통증은 없는 상황”에서 시작되었습니다.

    단순 변색으로 보였지만
    정밀 진단 과정에서
    천공이라는 구조적 문제가 확인되었고
    치료 방향이 달라진 경우였습니다.

    앞니 변색
    내부 염증, 신경관 문제, 천공
    여러 원인이 복합적으로 작용할 수 있습니다.

    색이 어두워졌다고 해서
    무조건 미백으로 해결되는 것은 아닙니다.

    눈에 보이는 변화 뒤에
    구조적인 문제가 없는지
    정밀하게 확인하는 과정이 중요합니다.

    감사합니다.


    더 자세한 내용을 확인하고 싶다면
    아래 링크를 통해 유튜브 영상을 시청해보세요!
    ▼▼▼

    예약 및 상담 02.6263.2828