3D 네비게이션 임플란트

설명

<3D 네비게이션 임플란트> 글 목록



  • 발치 즉시 임플란트 증례: 잇몸여드름, 치근파절

    발치 즉시 임플란트 증례: 잇몸여드름, 치근파절

    ※ 본 글은 연세마이덴치과 의료진이 직접 진료한
    실제 치료 사례를 바탕으로 작성되었습니다.


    안녕하세요, 소중한 치아를 지키는
    연세마이덴치과 닥터꼬집입니다.

    잇몸에서 고름이 반복적으로 올라오거나
    잇몸이 붓고 가라앉기를 반복하는 경우,

    단순한 잇몸 염증으로 생각하고
    치료를 미루시는 분들이 많습니다.

    하지만 이런 증상이 지속된다면
    단순 염증이 아니라 치아 뿌리 자체의 문제,
    치근파절과 같은 구조적인 문제가
    원인일 가능성도 있습니다.

    오늘은 잇몸 고름 주머니로 내원했지만
    진단 과정에서 수직 치근파절이 확인되어
    발치 및 임플란트로 이어진 케이스를 설명드리겠습니다.

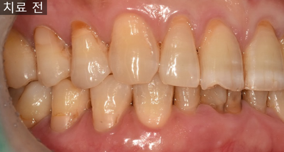
    초기 진단과 의심 소견

    해당 치아는 왼쪽 아래 어금니였고,
    잇몸에서 고름이 배출되는 통로가 형성되어 있는 상태였습니다.

    엑스레이를 확인해보니
    일반적인 포스트가 아니라
    캐스트 포스트가 깊게 삽입되어 있었고,

    주변 신경치료 상태 역시
    깔끔하게 마무리된 형태는 아니었습니다.

    이러한 경우에는 단순 치근단 염증뿐 아니라
    치근파절 가능성을 반드시 함께 고려해야 합니다.

    그래서 이 케이스에서는
    바로 치료를 진행하기보다는
    기둥을 제거한 뒤 내부 상태를 직접 확인하는 방향으로
    치료 계획을 세웠습니다.

    잇몸 여드름 위치가 의미하는 것

    잇몸에는 고름이 배출되는
    소위 ‘잇몸 여드름’이 형성되어 있었는데,

    그 위치가 치아의 상방 쪽에 자리하고 있었고
    뿌리를 따라 세로 방향으로 뼈가 녹아 있는 양상이 관찰되었습니다.

    이런 형태는 일반적인 염증보다
    치근파절에서 자주 보이는 패턴으로,

    겉으로는 단순 염증처럼 보여도
    내부 구조적인 문제가 있을 가능성이 높은 상태였습니다.

    기둥 제거 후 확인된 크랙

    포스트를 제거한 뒤
    미세현미경으로 내부를 확인한 결과,

    치아 뿌리를 따라
    명확한 크랙 라인이 관찰되었습니다.

    그리고 이 크랙의 방향이
    엑스레이에서 확인되던 뼈 소실 방향과
    일치하고 있었습니다.

    이 경우에는 신경치료나 재치료로
    문제를 해결할 수 있는 단계가 아니라,

    치아 자체가 구조적으로 분리된 상태이기 때문에
    보존이 어려운 상황입니다.

    결과적으로 해당 치아는
    발치를 결정하게 되었습니다.

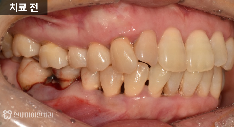
    염증이 있어도 즉시 임플란트가 가능했던 이유

    발치를 결정한 이후에는
    즉시 임플란트 식립가능한지 여부를 판단해야 합니다.

    뒤쪽 뿌리 부위는 뼈가 많이 소실되어 있었지만,
    앞쪽 뿌리 부위에는 비교적 건강한 뼈가 남아 있었고

    중간 부위에서도 일정 수준의 고정력을
    확보할 수 있는 조건
    이었습니다.

    또한 아래턱은 하치조 신경관이 지나가는 부위이기 때문에
    CT를 통해 정확한 위치를 계획한 뒤

    발치와 동시에 임플란트를 식립했습니다.

    치료 후 잇몸 회복 과정

    임플란트 식립 시
    초기 고정력이 충분히 확보되어

    힐링 어버트먼트를 연결해
    1차와 2차 수술을 동시에 마무리할 수 있었습니다.

    실밥 제거 시점에는
    기존에 있던 고름 주머니가 사라졌고,

    잇몸은 비교적 빠르게
    안정된 상태로 회복되는 모습을 보였습니다.

    이후 한 달 경과에서도
    염증 재발 없이 깨끗한 상태가 유지되었습니다.

    최종 보철과 주변 치아 관리

    약 3개월의 치유 기간 후
    임플란트 보철을 완성했고,

    해당 부위로 다시
    안정적인 저작이 가능한 상태가 되었습니다.

    또한 인접 치아의 신경치료 상태가
    완전하지 않은 부분이 확인되어

    추후 문제가 생기지 않도록
    함께 정리하는 치료를 진행했습니다.

    발치가 필요한 치아는 정확히 정리하고,
    남겨야 할 치아는 미리 관리
    하는 것이
    장기적인 구강 건강에 중요한 부분입니다.

    잇몸에서 고름이 나온다고 해서
    모든 경우가 단순 염증은 아닙니다.

    이번 케이스처럼
    치근파절이 원인인 경우에는
    보존 치료로 해결이 어려운 상황도 존재합니다.

    중요한 것은
    증상 자체보다 원인을 정확히 구분하는 것입니다.

    초기 단계에서 정확한 진단이 이루어지면
    불필요한 치료를 줄이고,
    필요한 치료는 더 빠르고 안정적으로 진행할 수 있습니다.

    치아를 살릴 수 있는지,
    아니면 정리하고 다음 단계로 넘어가야 하는지

    이 판단은 결국 정확한 진단에서 시작됩니다.

    연세마이덴치과는 미세현미경으로
    보다 정확한 진단을 지원하고 있습니다.

    감사합니다.


    더 자세한 내용을 확인하고 싶다면
    아래 링크를 통해 유튜브 영상을 시청해보세요!
    ▼▼▼

    예약 및 상담 02.6263.2828

  • 발치즉시임플란트 3년 증례: 잇몸출혈, 어금니파절

    발치즉시임플란트 3년 증례: 잇몸출혈, 어금니파절

    ※ 본 글은 연세마이덴치과 의료진이 직접 진료한
    실제 치료 사례를 바탕으로 작성되었습니다.


    안녕하세요, 소중한 치아를 지키는
    연세마이덴치과 닥터꼬집입니다.

    잇몸이 자주 붓고 피가 나며,
    어금니가 흔들려 식사가 어려운 상태에서
    내원하시는 경우가 적지 않습니다.

    이런 상황이 되면
    대부분 “임플란트를 해야 한다”는 이야기를 듣게 되고,
    그때 가장 많이 하시는 질문이 있습니다.

    “정말 다 뽑아야 하나요?”
    “임플란트를 꼭 여러 개 해야 하나요?”

    이번 케이스는
    잇몸이 자주 붓고 출혈이 있으며,
    고름이 반복되는 상태였습니다.

    아래 어금니 한 부위
    이미 크게 파절되어 있었고,

    주변 잇몸에는
    치석과 염증이 많이 축적되어 있었습니다.

    이런 경우 해당 치아는
    기능적으로 유지가 어렵고
    염증의 중심이 되는 경우가 많습니다.

    인접한 치아들을 확인해보니
    약간의 흔들림은 있었지만,

    치주 치료와 관리가 병행된다면
    충분히 유지 가능한 상태였습니다.

    이 경우 중요한 판단은
    “살릴 수 있는 치아를 어디까지 남길 것인가”입니다.

    결과적으로
    염증이 심한 두 개의 치아는 발치를 결정했고,
    나머지 치아는 잇몸 치료를 통해
    유지하는 방향으로 계획했습니다.

    이 케이스에서 중요한 것은
    임플란트를 몇 개 심느냐가 아니라
    구강 환경을 어떻게 정리하느냐였습니다.

    발치가 필요한 부위는
    염증 조직을 충분히 제거한 뒤
    임플란트를 식립하면서
    뼈 이식을 병행했습니다.

    동시에 남겨두는 치아에 대해서는
    치주 치료와 치주 수술을 먼저 시행해
    염증을 조절했습니다.

    즉, 임플란트 부위만이 아니라
    전체 잇몸 상태를 함께 개선하는 방향으로
    치료를 진행했습니다.

    염증 제거 후 잇몸 변화

    치료 후 약 2주가 지나면서
    이전에 붓고 출혈이 있던 잇몸은
    눈에 띄게 안정되었습니다.

    잇몸 조직은
    염증의 원인이 제거되면
    빠르게 회복
    되는 특성이 있습니다.

    다만 이 상태를 유지하려면
    이후 관리가 매우 중요합니다.

    임플란트 이후의 변화

    3개월의 치유 기간 후
    맞춤형 지대주를 이용해
    최종 보철을 완성했습니다.

    이 케이스에서 특징적인 점은
    임플란트를 통해
    오히려 잇몸 환경이 더 안정
    되었다는 점입니다.

    발치하지 않고 남겨둔 치아 주변의
    잇몸뼈 레벨도
    점차 안정
    되는 양상을 보였습니다.

    초기에 잇몸 치료
    염증 조절을 충분히 진행했기 때문에
    가능한 결과였습니다.

    치료 후 현재까지
    잇몸뼈 레벨은 안정적으로 유지되고 있습니다.

    이전에 흔들림이 있던 치아들도
    일상적인 식사에 큰 불편 없이
    사용 가능
    한 상태입니다.

    잇몸뼈가 유지된다는 것은
    결국 해당 치아의 수명이
    연장되고 있다는 의미
    입니다.

    이번 케이스는
    모든 치아를 발치하는 방식이 아니라,

    필요한 치아만 임플란트로 대체하고
    나머지는 보존하는 방향으로 진행된 사례입니다.

    임플란트 치료를 계획할 때
    중요한 것은 단순히 개수를 줄이는 것이 아니라,

    살릴 수 있는 치아를 정확히 판단하고
    주변 잇몸 환경을 함께 개선하는 것입니다.

    임플란트는 대체 치료이지만,
    가능하다면 자연 치아를 유지하는 것이
    장기적으로 유리한 경우
    가 많습니다.

    감사합니다.


    더 자세한 내용을 확인하고 싶다면
    아래 링크를 통해 유튜브 영상을 시청해보세요!
    ▼▼▼

    예약 및 상담 02.6263.2828

  • 앞니 임플란트 증례: 앞니 변색

    앞니 임플란트 증례: 앞니 변색

    ※ 본 글은 연세마이덴치과 의료진이 직접 진료한
    실제 치료 사례를 바탕으로 작성되었습니다.


    안녕하세요, 소중한 치아를 지키는
    연세마이덴치과 닥터꼬집입니다.

    안녕하세요.
    치과일타 닥터꼬집 입니다.

    이번 케이스는 통증이 아니라
    심미적인 이유로 내원한 경우입니다.

    10년 전 신경치료를 받은 앞니
    변색이 생겨서 불편함을 호소하셨고,
    통증은 없는 상태였습니다.

    “색이 점점 어두워진다”,
    “사진 찍을 때 보인다”
    는 점이
    주된 불편이었습니다.

    치아를 확인해보니
    크라운 치료는 되어 있지 않았습니다.

    외형상 라미네이트로 보이는 경계가 있었고,
    잇몸 하방까지 변색이 관찰되었습니다.

    입천장 쪽에는
    과거 레진으로 크게 수복한 흔적이 있었고
    전체적으로 내부 구조가 불안정해 보였습니다.

    방사선 사진에서는
    뿌리 끝에 가벼운 염증 소견이 확인되었습니다.

    신경치료가 완벽해 보이지는 않았기 때문에
    단순 미백이 아닌
    재신경치료 가능성을 먼저 고려했습니다.

    재신경치료 중 발견된 이상 소견

    레진을 제거하고
    신경관을 확인하는 과정에서
    이상한 소견이 관찰되었습니다.

    신경치료 재료인 거타퍼차
    정상적인 신경관 위치가 아닌
    입술 쪽 외측에서도 보였습니다.

    정상적인 구조라면
    나올 수 없는 위치
    였습니다.

    CT로 추가 확인한 결과
    치아 외측으로 천공이 존재했습니다.

    즉, 신경관이 아닌 부위에
    인위적인 구멍이 형성되어 있었고
    그 부위로 재료가 유출된 상태였습니다.

    왜 보존이 아닌 발치를 선택했을까

    천공이 있다고 해서
    무조건 발치가 필요한 것은 아닙니다.

    위치와 크기,
    염증 범위에 따라
    수복이 가능한 경우도 있습니다.

    다만 이번 케이스는
    천공 위치가 외측 잇몸과 가까웠고
    장기적으로 뼈 흡수와 잇몸 하강 가능성
    높다고 판단했습니다.

    이 경우 운이 좋게도
    아직 염증 반응이 심하지 않아,
    겉으로는 통증보다 변색만 두드러졌습니다.

    하지만 시간이 지나면
    뼈가 서서히 녹고
    잇몸 라인이 무너질 가능성
    이 있습니다.

    앞니는 잇몸 형태가 무너지면
    임플란트를 하더라도
    심미적 회복이 어려워질 수 있습니다.

    그래서 잇몸 구조가 크게 손상되기 전에
    발치 후 임플란트로 방향을 결정했습니다.

    치료 과정

    발치 즉시 임플란트를 식립했습니다.

    앞니 부위는
    식립 위치와 깊이가 매우 중요합니다.

    천공이 있던 부위를 중심으로
    가능한 범위에서 뼈이식을 병행했고,
    잇몸 형태를 유지하기 위해
    절개를 최소화하는 방식으로 진행했습니다.

    앞니잇몸 레벨 유지
    결과를 좌우합니다.

    치료 후에는
    변색으로 고민하던 부위가
    임플란트로 수복되었고,

    잇몸선이 크게 무너지지 않은 상태로
    마무리
    되었습니다.

    이번 케이스는
    신경치료 후 10년이 지나 앞니가 변색되었지만
    통증은 없는 상황”에서 시작되었습니다.

    단순 변색으로 보였지만
    정밀 진단 과정에서
    천공이라는 구조적 문제가 확인되었고
    치료 방향이 달라진 경우였습니다.

    앞니 변색
    내부 염증, 신경관 문제, 천공
    여러 원인이 복합적으로 작용할 수 있습니다.

    색이 어두워졌다고 해서
    무조건 미백으로 해결되는 것은 아닙니다.

    눈에 보이는 변화 뒤에
    구조적인 문제가 없는지
    정밀하게 확인하는 과정이 중요합니다.

    감사합니다.


    더 자세한 내용을 확인하고 싶다면
    아래 링크를 통해 유튜브 영상을 시청해보세요!
    ▼▼▼

    예약 및 상담 02.6263.2828

  • 어금니 임플란트 증례: 상악동 거상술, 뼈이식 동반

    어금니 임플란트 증례: 상악동 거상술, 뼈이식 동반

    ※ 본 글은 연세마이덴치과 의료진이 직접 진료한
    실제 치료 사례를 바탕으로 작성되었습니다.


    안녕하세요, 소중한 치아를 지키는
    연세마이덴치과 닥터꼬집입니다.

    임플란트 상담을 하다 보면
    불편함을 느끼면서도 한쪽으로만 씹으며
    오랜 기간 버티다가 내원
    하시는 분들이 적지 않습니다.

    처음에는 한쪽 어금니가 빠진 상태에서
    반대편으로 식사를 하며 지내지만,
    시간이 지나면 남아 있던 치아까지
    흔들리거나 쓰러지기 시작
    합니다.

    그 시점이 되면
    비로소 식사가 어려워지고
    치료를 고민하게 됩니다.

    이번 환자분은 고령의 환자분이었습니다.

    왼쪽 어금니가 빠진 뒤 장기간 방치되었고,
    남아 있던 치아는
    쓰러지고 흔들리는 상태였습니다.

    반대편으로만 식사를 하다 보니
    그쪽 치아에도 부담이 쌓여
    결국 양쪽 모두 불편해진 상태였습니다.

    치료 전 방사선 사진을 보면
    치아가 쓰러진 문제도 있었지만
    무엇보다 뼈의 폭과 높이가
    많이 줄어든 상태
    였습니다.

    잇몸도 전반적으로 약했고,
    반대편 역시 향후 치료가 필요할
    가능성이 있는 상황이었습니다.

    치료 전략: 식사가 가능한 쪽을 먼저 만들자

    이 경우 가장 중요한 것은
    완벽한 수복이 아니라
    “식사 가능한 상태를 빨리 만드는 것”이었습니다.

    양쪽을 동시에 무리하게 진행하기보다는
    식사가 어려운 쪽을 먼저 회복시켜
    생활의 불편을 줄이는 것
    우선 목표로 잡았습니다.

    반대편은 잇몸 관리와 정기 점검을 병행하며
    2단계로 계획했습니다.

    1차 수술: 발치, 염증 정리, 식립과 이식 동시 진행

    첫 단계에서는
    아래 1개, 위 2개
    3개의 임플란트를 계획했습니다.

    위쪽은 상악동이 내려와 있어
    상악동 거상술과 뼈이식을 함께 시행한 뒤
    그 공간에 임플란트를 식립했습니다.

    아래쪽은 뼈 상태가 비교적 유지되어 있었지만
    안정적인 고정을 위해
    필요한 부위에 뼈이식을 병행했습니다.

    즉, 발치가 필요한 부위는 발치를 하고
    염증을 정리한 뒤
    식립과 뼈이식
    하루에 함께 진행한 케이스였습니다.

    경과 관찰 후 보철 연결

    수술 후에는 잇몸 회복 상태를
    지속적으로 확인했습니다.

    염증의 원인이 제거되면
    잇몸은 비교적 빠르게 안정되는 경우가 많습니다.

    3개월의 치유 기간을 거친 뒤
    상부 구조를 연결하고
    맞춤형 지대주를 형성한 후
    보철을 완성했습니다.

    이 시점부터 해당 부위로 식사가 가능해졌고
    환자분의 생활 불편이 크게 줄었습니다.

    2차 치료: 반대편 회복

    시간이 지나면서
    반대편도 불편감이 증가해
    추가 치료를 진행하게 되었습니다.

    위쪽 2개, 아래쪽 2개
    4개의 임플란트를 계획했습니다.

    발치 후 내부를 확인하니
    오랜 기간 축적된 세균막이 관찰되었습니다.

    이러한 세균막은
    치주질환을 악화시키는 원인이 되기 때문에
    초기 정리가 매우 중요합니다.

    이후 잇몸 회복을 확인하면서
    보철까지 마무리했고
    양쪽 어금니로 균형 있게
    식사가 가능한 상태를 목표로 치료를 진행했습니다.

    전반적인 잇몸 관리는
    지속적으로 병행하며
    보존 가능한 치아는
    최대한 유지하는 방향
    으로 이어졌습니다.

    어금니씹는 힘을 담당하는 치아입니다.

    한쪽이 빠지면
    다른 쪽에 부담이 쏠리고,
    결국 전체 치열의 균형이 무너지기 시작합니다.

    치료 계획에서 중요한 것은
    모든 것을 한 번에 해결하는 것이 아니라
    식사가 가능한 상태를 단계적으로 회복하는 것입니다.

    보통 임플란트
    최종 보철까지 약 3개월 정도의 기간을 고려합니다.

    식사가 가능한 쪽을 남겨두고
    순차적으로 진행하면
    생활의 불편을 줄이면서 치료할 수 있습니다.

    반대로 양쪽 모두 식사가 어려운 상황이라면
    회복 속도를 높이는 방향으로
    치료 계획을 조정
    하기도 합니다.

    결국 중요한 것은
    현재 상태를 정확히 진단하고
    무리가 가지 않는 순서로
    식사 기능을 회복하는 것
    입니다.

    감사합니다.


    더 자세한 내용을 확인하고 싶다면
    아래 링크를 통해 유튜브 영상을 시청해보세요!
    ▼▼▼

    예약 및 상담 02.6263.2828

  • 앞니 임플란트 증례: 앞니 부러짐

    앞니 임플란트 증례: 앞니 부러짐

    ※ 본 글은 연세마이덴치과 의료진이 직접 진료한
    실제 치료 사례를 바탕으로 작성되었습니다.


    안녕하세요, 소중한 치아를 지키는
    연세마이덴치과 닥터꼬집입니다.

    앞니외상이나 오래 사용한 보철물의 파절로 인해
    갑자기 문제가 생기는 경우가 적지 않습니다.

    특히 잇몸선 가까이에서 치아가 부러지면
    “이건 뽑아야 하는 것 아니냐”는 질문을
    가장 많이 받습니다.

    앞니는 기능적인 역할도 중요하지만
    심미적인 부담이 크기 때문에
    치료 방향을 결정할 때
    환자의 심리적인 부분도 함께 고려하게 됩니다.

    앞니가 잇몸 가까이에서 파절되었을 때
    가장 먼저 확인하는 것은 뿌리의 상태입니다.

    뿌리 길이가 충분한지,
    치근의 두께가 안정적인지,
    파절선이 잇몸 아래까지 얼마나 내려갔는지,
    주변 뼈의 높이는 유지되고 있는지
    를 확인합니다.

    이번 케이스는 과거 보철 치료를 받았던 앞니가
    식사 중 갑자기 파절된 경우였습니다.

    검사 결과 뿌리 길이는 어느 정도 남아 있었지만
    치근의 두께 성장이 충분하지 않은 상태였습니다.

    어린 시기에 외상을 입고
    치료가 진행되었을 가능성이 있는 형태였습니다.

    이 경우 치아를 살릴 수 있는 방법이
    전혀 없는 것은 아닙니다.

    정출술을 통해 치아를 끌어올리는 방법이나
    보철 재치료를 시도할 수도 있습니다.

    다만 이미 신경치료 재료가 깊게 들어가 있었고
    치근 두께가 얇은 상태였기 때문에

    장기적인 예후를 고려하면
    재파절 가능성이 높다고 판단했습니다.

    결과적으로 환자분과 상의 후
    임플란트 치료를 선택하게 되었습니다.

    발치 후 즉시 임플란트가 가능한지도
    중요한 판단 요소입니다.

    CT를 통해 뿌리 주변의 뼈 상태를 확인한 결과
    감염 범위가 크지 않았고
    뼈 벽이 일정 부분 유지되어 있어
    즉시 식립이 가능한 조건이었습니다.

    앞니 임플란트에서 중요한 것은
    단순히 식립 여부가 아니라
    임시 치아를 어떻게 계획하느냐입니다.

    많은 분들이
    “그날 바로 치아가 생기나요?”라고 묻습니다.

    초기 고정력이 충분하면
    임플란트에 직접 연결하는 임시치아가 가능하지만,
    이번 경우에는 초기 고정력이
    아주 높은 상태는 아니었습니다.

    그래서 임플란트에 바로 연결하지 않고
    옆 치아를 지지대로 사용하는 임시 치아를 제작했습니다.

    치료 과정 중에도 앞니 공백이 생기지 않도록
    생활에 불편이 없게 하는 것이 우선이었기 때문입니다.

    임시 치아 상태로 일상생활을 유지한 뒤
    약 3~4개월 후 임플란트 상부 구조를 연결하고
    최종 보철을 완성했습니다.

    앞니 임플란트에서 가장 신경 쓰는 부분은
    잇몸 형태의 유지입니다.

    잇몸 라인이 무너지면
    아무리 치아 모양이 좋아도
    자연스럽게 보이기 어렵습니다.

    이번 케이스에서는 잇몸 레벨이
    비교적 안정적으로 유지되었고
    심미적인 균형을 고려해 마무리했습니다.

    앞니가 갑자기 부러졌다고 해서
    반드시 오랜 기간 치아 없이
    지내야 하는 것은 아닙니다.

    조건이 맞는 경우에는
    발치와 임플란트 식립, 임시 치아 장착까지
    하루 안에 계획할 수 있습니다.

    반대로 보존이 가능한 조건이라면
    임플란트가 아닌
    다른 치료를 선택할 수도 있습니다.

    중요한 것은
    파절 위치와 뿌리 상태를 정확히 평가한 뒤
    장기적인 예후를 기준으로 결정하는 것입니다.

    앞니 치료는 속도도 중요하지만
    결국은 안정성과 유지 가능성이 더 중요합니다.

    감사합니다.


    더 자세한 내용을 확인하고 싶다면
    아래 링크를 통해 유튜브 영상을 시청해보세요!
    ▼▼▼

    예약 및 상담 02.6263.2828