설명
<3D 네비게이션 임플란트> 글 목록
-
3D 네비게이션 임플란트 증례: 미세현미경
안녕하세요, 소중한 치아를 지키는
연세마이덴치과 닥터꼬집입니다.기술이 발전하면서 치과 치료 장비도 발전하고 있습니다.
CT, 구강 스캐너 같은 첨단 장비 덕분에 진단이 더 정밀해졌고,
미세현미경과 같은 치료 장비로 치료 정확도도 더 높아졌습니다.특히 임플란트처럼 뼈 상태를 세심하게 확인해야 하는 치료에선 큰 도움이 됩니다.
그중에서도 ‘3D 네비게이션’은 임플란트 시술의 정확도를 크게 높입니다.
수술 전에 식립 위치와 각도 등 세밀한 계산이 가능하고
수술 시에도 계산된 정보로 정밀한 수술이 가능해졌기 때문입니다.오늘은 이 3D 네비게이션으로
발치 즉시 임플란트를 식립한 치료 증례를 소개해드리겠습니다.치아를 살리고 싶어서 방문한 환자분

이 환자분은 아래쪽 어금니 2개에 문제가 있었습니다.
염증이 크고 다른 치과에서 발치 권유를 받았지만
최대한 치아를 살리고 싶으셔서 저희 병원을 찾아오셨습니다.엑스레이 상에서 넓은 부위의 염증을 확인했지만
저희 병원은 ‘내치아지키기’ 프로젝트로 자연치아 보존을 최우선으로 하기 때문에
환자분의 니즈대로 우선 신경치료부터 시도해보기로 했습니다.
신경치료를 하기 전 어금니에 씌워져 있던 크라운을 제거하고
미세현미경으로 내부를 확인하였습니다.이 과정에서 엑스레이로 확인되지 않았던
치아의 금, 즉 크랙라인이 확인되었습니다.금이 간 치아는 살릴 수 없나요?
치아의 뿌리까지 금이 가 있는 경우에는 안타깝게도 현재 치과 기술로도
금을 붙이거나 복구할 수 있는 방법이 없습니다.만약 금이 간 상태로 치아를 방치하게 되면
치아가 더 손상되고 염증이 퍼져 다른 치아에도 악영향을 미칠 수 있습니다.따라서 뿌리까지 크랙라인이 발견되면
지체없이 발치 후 치료가 필요합니다.
이 환자분도 미세현미경 상으로 명백한 크랙라인이 확인됐기 때문에
지체없이 발치한 후 임플란트를 진행하기로 했습니다.당일 수술이 결정되었지만, 3D 네비게이션 정밀 진단을 통해
당일 발치 즉시 임플란트를 진행하였습니다.환자분께서는 당일 바로 발치와 임플란트를 식립하는 것에 걱정이 있으셨지만,
첨단 장비를 통해 환자분의 치아와 잇몸 상태가 철저히 분석돼고
여러번의 모의 수술 후 수술이 진행되는 것을 확인하시고는
안심하시고 수술을 받기로 결정하셨습니다.발치 즉시 임플란트 준비 과정

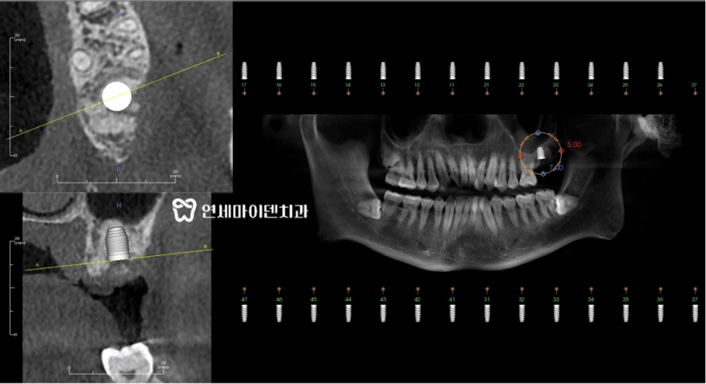
임플란트 수술을 진행하기 위해서
먼저 엑스레이와 CT 촬영을 진행합니다.검사를 통해 신경관의 위치와 치아 주변 뼈 상태를
꼼꼼하게 확인합니다.특히, 아래턱에 임플란트를 식립할 때에는
신경관이 지나가는 경로를 꼭 정확하게 파악해야 합니다.
만약 임플란트를 하치조 신경관에 너무 가깝게 심는다면
신경 손상이 발생할 수 있기 때문입니다.신경 손상이 발생하면 입술이나 턱 주변이 마비되거나
심한 통증을 느낄수 있어서 매우 섬세한 작업이 필요합니다.이 환자분의 경우에도 CT 촬영을 통해 신경관의 위치를 정확하게 파악했고
이를 토대로 임플란트를 안전하게 심을 수 있는 위치와
정확한 각도를 설정해주었습니다.임플란트 수술 전 치과의사의 준비 루틴

본격적인 수술에 들어가기 전에
3D 네비게이션으로 임플란트가 식립되는 위치와 깊이를 설정합니다.모의 시술로 어느 위치에 어느 깊이로 심어야 할지 디자인하면서
신경관이나 다른 구조물에 닿지 않도록 세밀하게 계획해야 합니다.여러번의 모의 시술 끝에 발치 즉시 임플란트 수술을 진행합니다.

발치 당일 임플란트를 식립함으로써
임플란트 기간을 단축하고 빠른 회복이 가능합니다.환자분께서도 임플란트 치료 기간을 1년 이상으로 생각하셨다가
발치 즉시 임플란트를 통해 단축된 치료 기간에 깜짝 놀라셨습니다.현재는 최종 보철 이후 정기검진을 오시면서
뼈가 잘 회복되는지, 다른 치아에 문제는 없는지 꾸준히 추적관찰 하고 계십니다.발치 즉시 임플란트는 환자의 뼈나 잇몸 상태에 따라
충분한 준비와 신중한 계획이 필수입니다.발치 즉시 임플란트, 안전할까요?

발치 후 곧바로 임플란트 식립을 위해서는
철저한 준비 관정이 필요합니다.환자분의 구강 상태에 따라 즉시 임플란트를 식립할 수 있는지
꼼꼼히 진단 후 안전한 치료 계획을 세우는 것이 필수적입니다.3D 네비게이션을 통해 모의 수술을 진행하고
최소 절개로 정확하게 임플란트를 식립하면
수술 후 붓기와 통증을 최소화할 수 있습니다.물론 숙련된 기술을 가지고 있는 치과 의사를 찾는 것도 중요합니다.
술자의 테크닉에 따라 수술의 성공률도 달라지기 때문입니다.
만약 임플란트를 고민하고 계신다면
미세현미경이나 3D 네비게이션 등 첨단 장비를 사용하고 있는지,
고난도 증례가 많은 경험있는 의료진이 있는지 확인하시는걸 추천드립니다.연세마이덴치과는 보존과, 치주과, 교정과, 보철과 전문의 상주로
대학병원급 협진 시스템을 갖추고 있습니다.상담이 필요하시면 언제든지 저희 연세마이덴치과로 연락주세요.
읽어주셔서 감사합니다.
더 자세한 내용을 확인하고 싶다면
아래 링크를 통해 유튜브 영상을 시청해보세요!
▼▼▼
예약 및 상담 02.6263.2828
-
고난이도 임플란트 증례: 매복사랑니 발치와 보존술
안녕하세요, 소중한 치아를 지키는
연세마이덴치과 닥터꼬집입니다.오늘은 고난이도 매복 사랑니 임플란트 치료케이스를 소개해드리겠습니다.
다른 병원에서 “발치도 임플란트도 불가능하다”는 충격적인 진단을 받고
저희 병원을 찾아오신 환자분인데요,치료 불가능 진단을 받은 치아를 어떻게 치료했는지
함께 살펴보겠습니다.매복사랑니 발치와 임플란트

환자분은 위쪽 어금니에 지속적인 통증을 느끼셔서 치과를 방문하셨습니다.
“사랑니의 위치가 상악동과 가까워 발치도 위험하고,
발치 후에도 임플란트 식립이 어렵다”는 진단을 받으셨습니다.대학병원도 알아보시다가 대학병원급 장비와 많은 치료증례를 보시고
마지막 희망을 가지고 저희 병원으로 찾아오셨습니다.
엑스레이 상으로 확인해보니
어금니 바로 아래에 매복 사랑니가 있는 것이 보입니다.보통 사랑니는 잇몸 끝쪽에 있지만
이 환자분의 사랑니는 어금니 바로 아래에서 염증을 유발하고 있었습니다.
특히 엑스레이상 까맣게 보이는 염증으로
잇몸 뼈가 이미 많이 녹아있는 상태였습니다.고난이도 치료를 많이 시행하고 있는 저희 연세마이덴치과지만
발치 후 임플란트도 쉽지 않아보이는 상황이었습니다.하지만 발치 후 임플란트 없이 치아를 놔둔다면
잇몸도 내려앉고 다른 치아에도 안 좋은 영향을 줄 수 있기때문에최대한 임플란트가 가능하도록 세밀한 치료 계획을 세웠습니다.
어금니, 매복사랑니 발치 과정
먼저 문제가 되는 어금니와 아래의 매복 사랑니를 모두 발치하기로 했습니다.
하지만 발치 즉시 임플란트를 식립하기에는 어려운 상황이었습니다.
발치 후 가능한 빨리 임플란트를 하는 것이 가장 이상적이지만,
어금니와 사랑니를 발치하고나면 남아있는 뼈가 거의 없었기 때문입니다.이에 최대한 조직 손상을 줄여서 발치를 진행하고
잇몸 뼈가 재생되도록 시간을 준 이후에 임플란트를 심는 계획을 세웠습니다.
먼저 위쪽 어금니를 발치했습니다.
발치된 치아를 보면 살아있는 세포가 거의 없을 정도로 심각한 상태였습니다.

발치 후에는 깊숙하게 매복된 사랑니 머리가 하얗게 보였습니다.
사랑니는 주변 뼈의 손상을 최대한 줄이기 위해
여러 조각으로 쪼갠 후에 발치를 했습니다.매복된 사랑니와 상악동의 거리가 매우 가까웠기 때문에
사랑니의 뿌리가 상악동을 찔렀을 경우를 우려했지만,다행히 뿌리쪽에 염증은 없는 상태였습니다.
덕분에 발치 후 잇몸 뼈만 잘 회복된다면
임플란트 식립도 가능할 것으로 판단했습니다.매복 사랑니 발치와 보존술
발치 후에 염증의 원인을 제거해주면
잇몸 뼈는 자연 재생이 됩니다.하지만 이 환자분은 이미 뼈 손실이 많았기 때문에
발치와 동시에 뼈 이식을 진행했습니다.발치 즉시 임플란트가 불가능할 때는 발치와 보존술을 통해 뼈의 재생을 돕고
임플란트에 유리한 상태를 만들어주는 것이 중요합니다.
이 과정에서 뼈의 성장을 돕는 콜라겐 멤브레인을 덮어서
잇몸 뼈가 더 잘 재생되도록 유도했습니다.중간 부분을 살짝 벌려두는 오픈 멤브레인 테크닉을 적용해서
뼈 재생에 유리하게 발치와 보존술을 진행했습니다.
치유 과정을 거치면서 1개월, 3개월 후 잇몸 상태를 보면
한눈에도 잇몸이 많이 회복된 것이 보입니다.발치와 보존술을 진행한지 3개월 차에는 건강한 잇몸 뼈가 자라서
임플란트 식립이 가능한 상태가 되었습니다.
CT 촬영 후 3D 네비게이션을 통해 3차원적으로
임플란트를 식립할 최적의 위치와 크기, 깊이를 설정해주었습니다.정밀하게 식립 위치를 계산하고 최적의 깊이까지 임플란트를 넣어주는 것이
임플란트 성공률을 높이는 중요한 준비단계입니다.
아직 이식된 뼈가 단단하게 성숙되지는 않은 상태이기 때문에
회복되는 경과를 지켜보면서 뼈가 자리를 잡으면 최종 보철물을 올려드릴 예정입니다.매복 사랑니 발치와 임플란트
다른 병원에서 “발치와 임플란트가 불가능하다”는 진단을 받으셨지만
발치와 보존술로 건강한 뼈를 재생해서 임플란트까지 성공적으로 마쳤습니다.
엑스레이에서도 보이듯이 시간이 지나면서 까맣게 녹아있던 뼈 부분이
하얗게 재생되는 걸 확인할 수 있습니다.임플란트를 해야하는데 어려운 상황에 있어 고민이신 분들께
이번 환자분의 치료 사례가 도움이 되었으면 좋겠습니다.더 궁금한 점이 있으시거나 상담이 필요하시면
언제든지 ‘연세마이덴치과‘로 연락주세요.읽어주셔서 감사합니다.
더 자세한 내용을 확인하고 싶다면,
아래 링크를 통해 유튜브 영상을 시청해보세요!
▼▼▼
-
앞니 발치 즉시 임플란트, 임시치아까지 당일 완성 증례

안녕하세요, 소중한 치아를 지키는
연세마이덴치과 닥터꼬집입니다.오늘은 상악 전치부 발치 즉시 임플란트 증례를 소개하려고 합니다.
앞니는 외관에서 가장 눈에 띄는 요소 중 하나이기 때문에
불편하거나 심미적으로 보기 좋지 않으면 신경이 쓰일 수 밖에 없습니다.특히, 앞니 임플란트를 고민하시는 분들은
임플란트를 자연스럽게 완성할 수 있을지에 대한 걱정이 큽니다.오늘 환자분의 앞니 임플란트 치료 증례를 통해서
앞니 임플란트 수술 시 중요한 것은 무엇인지 살펴보겠습니다.신경치료 후에도 지속되는 앞니 통증으로 내원

앞니는 치아 중 심미적으로 중요한 위치에 있고,
잇몸 뼈가 다른 부위보다 훨씬 얇습니다.그렇기 때문에 임플란트를 심을 때 매우 신중해야 합니다.
이 환자분은 위쪽 앞니에 불편감이 있어서 신경치료를 했음에도
계속해서 찌릿하고 시린 통증이 지속되어 저희 병원에 오셨습니다.엑스레이 상으로는 큰 염증이 확인되지는 않았지만,
녹은 잇몸 뼈의 양상이 좋지 않았습니다.이후 찍어본 CT 상으로 앞니 뿌리에 문제가 있는게 확인되었고,
발치를 하지 않으면 뼈가 계속 녹을 수밖에 없는 상황이었습니다.뼈가 많이 녹을수록 자연스러운 앞니 임플란트를 만들기 어렵기때문에
잇몸이 더 악화되기 전에 발치 즉시 임플란트를 진행하기로 하였습니다.앞니 임플란트 식립 시 중요한 것

위 사진은 문제의 치아를 발치한 후 촬영한 사진입니다.
뿌리 가운데 큰 구멍이 생긴 것이 확연히 보입니다.
치아에 생긴 구멍때문에 치아를 둘러싼 바깥쪽 뼈가 계속 녹아내리고 있었던 것입니다.
발치하지 않고 보존치료를 계속했다면, 잇몸은 계속 내려오게 되고,
잇몸이 내려온 이후에 임플란트를 하면 심미적으로 안좋은 결과가 나옵니다.이런 것처럼 치료 전 정밀한 검사와 진단은
이후 치료 예후에 중요한 역할을 하게됩니다.이 환자분은 CT 촬영 후 신속한 발치 결정으로
잇몸이 더 악화되기 전에 발치 즉시 임플란트를 진행할 수 있었습니다.
앞니의 얇은 뼈에 성공적으로 임플란트를 식립하려면
기술적으로 전략적인 접근이 필요합니다.앞니의 뼈 얇기를 고려해서 다른 부위의 임플란트보다
각도를 입천장 쪽으로 조금 더 깊게 심어주는 것이 좋습니다.이렇게 임플란트를 심어야 시간이 지나도 잇몸이 꺼지지 않고,
심미적으로도 예쁜 결과를 얻을 수 있습니다.3D 네비게이션을 통해 수술 전 세밀한 각도 조절은 필수입니다.
또, 얇은 뼈에 맞는 크기의 얇은 임플란트를 선택하는 것도 중요합니다.
너무 두꺼운 임플란트는 잇몸 뼈에 무리가 갈 수 있기 때문에,
이 환자분도 최대한 얇은 크기의 임플란트를 선택해주었습니다.앞니 임플란트, 고정력이 중요한 이유
환자분들이 앞니 치료를 하기 꺼려하고 가장 걱정하시는 것이
바로 치료 당일 앞니가 없이 생활하는 것인데요,치료 후 앞니가 없이 일상생활을 하는 것은 매우 불편한 일입니다.
특히, 임플란트는 치료 기간이 길기 때문에 치료가 마무리될 때까지
앞니가 비어있는 채로 지내야하는 것에 대한 걱정이 많습니다.임플란트 후 임시치아를 달기 위해 가장 중요한 것은
바로 임플란트 ‘고정력’ 입니다.임플란트 식립 후 고정력이 30뉴턴 이상이 나와야만
임시 치아를 바로 장착할 수 있기 때문입니다.
원래도 얇은 앞니 뼈에서는 고정력을 얻기 쉽지 않은데
이 환자분의 경우 잇몸 뼈도 많이 녹아있었습니다.그래서 발치 후 염증을 깨끗하게 제거한 뒤
잇몸 뼈 이식을 함께 진행했습니다.뼈 이식 후 임플란트를 식립하였고, 충분한 고정력을 얻어서
당일 발치, 뼈 이식, 임플란트, 임시 치아까지 완성해드릴 수 있었습니다.임플란트 수술 당일 임시치아까지 만들었기 때문에
환자분은 앞니 없이 생활하는 순간이 단 한순간도 없다는 것에 매우 만족하셨습니다.기능을 상실한 치아를 치료하는 것이 치과가 하는 일이지만,
일상에서 불편함 없이 생활할 수 있도록 도와드리는 것도 중요한 치과의 역할입니다.저희 연세마이덴치과는 앞으로도 환자분들의 불편함을 귀담아 듣고
올바른 치료를 위해 노력하겠습니다.앞니 치료를 고민하고 계시거나 상담이 필요하시면
언제든지 연세마이덴치과로 연락주세요.읽어주셔서 감사합니다.
더 자세한 내용을 확인하고 싶다면,
아래 링크를 통해 유튜브 영상을 확인해보세요!
▼▼▼
-
재신경치료까지 실패했다면? 임플란트 선택 기준

안녕하세요, 소중한 치아를 지키는
연세마이덴치과 닥터꼬집입니다.임플란트는 비싼 비용과 긴 치료기간, 다양한 부작용 등
되도록 피하고 싶은 치료 중 하나인데요,내 소중한 치아를 되도록 오래 사용하면 좋겠지만,
어쩔 수 없이 임플란트를 선택해야 하는 순간도 있습니다.그렇다고 무작정 임플란트를 하는게 좋을까요?
중요한건,
정말로 필요한 상황에서 알맞은 임플란트를 선택하는 것 입니다.오늘은 임플란트가 언제 필요한지,
임플란트 전에 고려해야할 게 무엇인지실제 환자분의 치료 사례를 통해 설명드리겠습니다.
음식을 씹을 때 어금니 통증이 있던 50대 환자
이 환자분은 50대 환자분으로 음식을 씹을 때마다
왼쪽 아래 어금니에 통증이 느껴져 내원하셨습니다.
타 병원에서 신경치료를 여러 번 받았음에도 불구하고,
끝내 치근 수직파절로 인해 임플란트로 전환된 케이스인데요,이런 상황이 바로 임플란트를 선택해야 하는 상황 중 하나입니다.
첫 내원 당시, 왼쪽 아래 어금니 2개는 이전 병원에서 신경치료 후
각 크라운이 연결되어있는 ‘스플린트 크라운‘을 씌워놓은 상태였습니다.
우선 기존 크라운을 제거하고 안쪽을 살펴보니
충치도 있고 많이 지저분한 상태가 보였습니다.미세현미경을 통해 치아를 세밀하게 관찰한 결과
다행히 치아 크랙, 즉 치아 실금이 확인되지 않았습니다.현재까지 금이 가버린 치아를 살릴 수 있는 방법이 없기 때문에
크랙이 확인됐다면 바로 발치 후 임플란트를 진행하는 것이 회복에 유리합니다.크랙이 확인되지 않았기 때문에 지저분해진 치아를 깨끗히 청소한 후
재신경치료를 마쳤고, 잇몸뼈의 회복 경과를 지켜보기로 하였습니다.재신경치료 6개월 후 경과 확인
재신경치료를 끝낸 후 6개월 후에 정기검진을 진행했습니다.
치료 직후에는 통증이 없었지만,
시간이 지나면서 다시 불편감을 느끼셨다는 환자분의 말씀.정확한 확인을 위해 엑스레이 촬영을 진행했습니다.

검진 결과, 재신경치료 한 어금니 2개 중
#37번 끝 치아의 뿌리 끝에 염증이 재발한 것을 확인했습니다.치아를 살리기 위해 재신경치료를 시도하지만
항상 모든 치아를 살리기에 성공하는 것은 아닙니다.그렇다면, 재신경치료까지 실패했을때,
다음으로 선택할 수 있는 치료는 무엇이 있을까요?첫 번째, 자연치아를 보존하기 위한 방법으로
치근단 수술이나 치아 재식술을 시도할 수 있습니다.이 수술은 치아를 발치해서 뿌리 끝의 염증을 직접적으로 제거하는 방법으로,
일부 치아는 이렇게 수술로 다시 살릴 수 있습니다.그러나, 치아 뿌리에 금이 있거나 염증이 뼈까지 퍼져버린 경우에는
위와 같은 수술적 방법으로도 한계가 있습니다.우선, 발치 후 치아 상태를 확인하여
보존적 술식을 적용할 수 있는지 확인해보기로 했습니다.발치 후 발견한 뿌리 염증의 원인은?

문제의 어금니를 발치한 후 뿌리를 직접 살펴봤습니다.
위의 사진처럼 치아 뿌리에서 위쪽으로 올라가는
‘수직 치근파절’이 발견되었습니다.크랙이 없었다면 염증을 깨끗하게 제거해준 뒤,
치아 재식술이나 치근단 절제술과 같은 보존적 술식을 적용해볼 수 있었겠지만명확하게 크랙이 확인된 상황에서 발치하지 않으면
치아와 뼈가 재생되지 않고 염증이 점점 심해져 주변치아의 예후까지 위협할 수 있습니다.따라서 해당 치아는 발치 즉시 임플란트를 진행하기로 하였습니다.

임플란트 식립 시에는 임플란트를 식립할 위치와 각도가 매우 중요합니다.
수술 전 환자분과 상의 후 3D 네비게이션으로 모의 수술을 통해
임플란트를 식립할 위치를 정확히 설정했습니다.또, 발치 직후에는 기존에 있던 염증들을 깨끗하게 제거해야만
임플란트 성공률을 높힐 수 있습니다.
미세현미경을 통한 염증의 제거와 3D 네비게이션을 활용하여
발치 즉시 임플란트 식립을 진행하였습니다.식립 이후 잇몸 뼈가 잘 회복되는 것을 확인한 뒤
2차 임플란트 수술 후 최종 보철물까지 올려 치료를 마무리 했습니다.임플란트 수술 전, 고려해봐야 하는 것들
임플란트는 결코 가벼운 선택이 아니지만,
치아 건강을 위해 필수적인 치료이기도 합니다.이번 치료 사례처럼 신경치료에 실패했거나 치아 구조에 문제가 있을 때는
임플란트를 통해 치아 기능을 회복할 수 있습니다.중요한 건, 임플란트를 꼭 필요한 상황에 적절히 선택하는 것,
환자의 상태에 따른 정확한 진단과 세심한 치료 계획이 필요하다는 것입니다.이번 사례가 임플란트를 고민하고 계시거나
신경치료에 실패하여 앞으로의 치료 방향을 고민하고 계신 분들께
도움이 되길 바랍니다.읽어주셔서 감사합니다.
더 자세한 내용을 확인하고 싶다면,
아래 링크를 통해 유튜브 영상을 시청해보세요.
▼▼▼



