설명
<3D 네비게이션 임플란트> 글 목록
-
앞니 임플란트&신경치료 3년 증례: 스플린트 크라운
앞니 임플란트&신경치료 3년 증례: 스플린트 크라운
※ 본 글은 연세마이덴치과 의료진이 직접 진료한
실제 치료 사례를 바탕으로 작성되었습니다.안녕하세요, 소중한 치아를 지키는
연세마이덴치과 닥터꼬집입니다.앞니 염증으로 내원하시는 분들 중에는
발치에 대한 두려움 때문에
가능하다면 최대한 치아를
살리고 싶어 하시는 분들이 많습니다.※ 본 글은 연세마이덴치과 의료진이 직접 진료한
실제 치료 사례를 바탕으로 작성되었습니다.안녕하세요, 소중한 치아를 지키는
연세마이덴치과 닥터꼬집입니다.앞니는 심미적으로도, 기능적으로도
매우 중요한 부위이기 때문에
저희는 가능한 경우
자연치아를 보존하는 방향을
치료의 원칙으로 삼고 있습니다.오늘은 붓고 고름이 나던 두 개의 앞니를
한쪽은 임플란트로, 한쪽은 신경치료로
각각 마무리한 실제 치료 케이스를 소개해 드리겠습니다.“앞니가 붓고 고름이 나와요”

이번 케이스는
앞니가 반복적으로 붓고
고름이 생기며
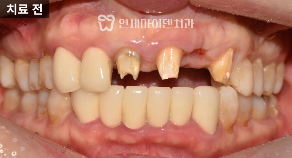
발치 가능성까지 거론되던 상황이었습니다.전치부 앞니 네 개가
스플린트 크라운, 즉 여러 치아가
하나로 묶인 보철 형태로 제작되어 있었고,
이로 인해 염증 부위를
명확히 구분하기 어려운 상태였습니다.
스플린트 크라운은
단기적으로 흔들림을 줄이는 장점은 있지만,
치실 사용이 어렵고
각 치아를 개별적으로 평가하기 힘들어
염증을 늦게 발견하는 단점이 있습니다.이런 경우 문제가 상당히 진행된 뒤에야
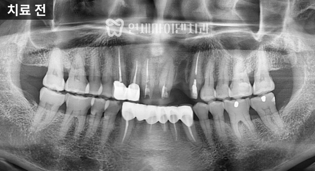
증상이 겉으로 드러나는 경우가 많습니다.염증 앞니 치료 계획

정밀 촬영 결과
두 개의 앞니 뿌리 끝, 즉 치근단 부위에서
뚜렷한 염증 소견이 확인되었습니다.한쪽 치아는
뼈 손상이 심해 예후가 불량한 상태였고,
다른 한쪽은
염증이 국소적으로 제한되어 있어
신경치료 후 경과를 지켜볼 수 있는 상황이었습니다.이에 따라 치료 계획은 다음과 같이 세웠습니다.
- 두 치아 모두 기존 보철물과 포스트를 제거
- 예후가 불량한 치아는 발치 후 즉시 임플란트 식립
- 살릴 수 있는 치아는 신경치료를 통한 보존
임플란트와 보존치료의 병행

예후가 좋지 않은 앞니는
발치를 진행한 뒤
뼈이식을 동반한 임플란트를 식립했습니다.
3D CT를 활용해
임플란트 식립 각도와 위치를
정밀하게 계획했고,
초기 고정력을 안정적으로 확보할 수 있었습니다.
치료 당일 임시치아를 즉시 제작해 부착함으로써
앞니가 없는 상태로
일상생활을 해야 하는 불편함을
최소화했습니다.
반면, 보존이 가능하다고 판단된 앞니는
신경치료를 진행했고
내부를 철저히 소독한 뒤
경과를 관찰했습니다.치료 결과

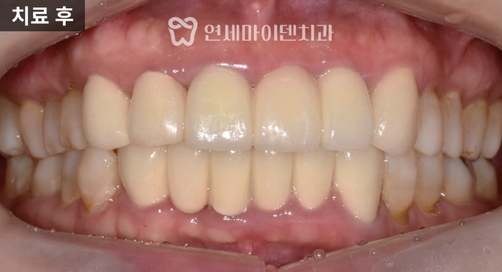
임플란트로 치료한 앞니는
안정적으로 자리 잡았고,신경치료를 시행한 치아는
치근단 낭성 병변이
자연스럽게 치유되면서
추가적인 치근단 수술 없이
회복을 확인할 수 있었습니다.
최종 보철을 통해
기능과 심미성을 모두 회복했으며,해당 케이스는
치료 후 3년이 지난 현재까지도
안정적으로 유지되고 있습니다.
스플린트 크라운의 한계와
만성 염증 조기 진단의 중요성이번 사례처럼
여러 치아를 묶은 스플린트 보철은
겉으로 보기에는
문제가 없어 보일 수 있습니다.하지만 시간이 지나면
개별 치아 상태를 정확히 파악하기 어려워
내부 염증을 놓치기 쉽습니다.특히 만성 치근단 염증은
통증이 심하지 않은 경우가 많아
“참을 만하다”는 이유로
방치되는 경우가 많습니다.이 상태가 반복되면
잇몸뼈가 서서히 녹아내리며
결국 발치를 피할 수 없게 됩니다.잇몸이 반복적으로 붓거나
고름이 생겼다가 가라앉는 증상이 있다면,
조기에 정확한 진단을 받는 것이
무엇보다 중요합니다.보존치료와 임플란트,
어떻게 판단해야 할까요?모든 치아를
무조건 살릴 수는 없습니다.하지만 뼈 손상이 심하지 않고,
치아 뿌리에 균열이 없으며,
신경치료로 염증 조절이 가능한 경우라면
자연치아 보존을
우선적으로 고려해야 합니다.반대로 뼈 손상이 크거나
치아 뿌리 균열이 있는 경우에는
임플란트로 대체하는 것이
더 합리적인 선택이 될 수 있습니다.결국 중요한 것은
정확한 진단과 균형 잡힌 판단입니다.앞니 염증으로 치료 방향을 고민하고 계시다면,
이번 케이스를 참고해 보시길 바랍니다.연세마이덴치과에서는
미세현미경과 정밀 술식을 통해
치아를 최대한 살리는 치료를 시행하고 있습니다.감사합니다.
더 자세한 내용을 확인하고 싶다면
아래 링크를 통해 유튜브 영상을 시청해보세요!
▼▼▼더 자세한 내용을 확인하고 싶다면
아래 링크를 통해 유튜브 영상을 시청해보세요!
▼▼▼
예약 및 상담 02.6263.2828

예약 및 상담 02.6263.2828
-
전체 임플란트 증례: 돌출 앞니 개선
전체 임플란트 증례: 돌출 앞니 개선
※ 본 글은 연세마이덴치과 의료진이 직접 진료한
실제 치료 사례를 바탕으로 작성되었습니다.안녕하세요, 소중한 치아를 지키는
연세마이덴치과 닥터꼬집입니다.치료를 받다 보면
“이 치료 순서가 맞는 걸까?”라는
의문이 드는 순간이 있습니다.이미 치료가 시작된 상태에서
방향성에 대한 고민이 생기면,
계속 믿고 맡겨야 할지
아니면 다시 상담을 통해 조율해야 할지
혼란스러울 수 있습니다.특히 여러 부위를 함께 다루는
전체 임플란트 치료에서는
치료의 우선순위와 순서에 따라
최종 결과가 크게 달라질 수 있습니다.그래서 치료 시작 전
방향성과 목표에 대한 사전 논의는
무엇보다 중요합니다.오늘은 실제 전체 임플란트 사례를 통해
치료 순서가 결과에 어떤 영향을 미치는지
자세히 살펴보겠습니다.초기 상태와 치료 목표

이번 케이스는
이미 다른 치과에서
임플란트 치료가 시작된 상태로 내원한 사례였습니다.상악 치아는 심하게 손상되어
일부는 틀니 형태로 사용 중이었고,
하악은 앞니 보철 치료가
이미 완료된 상황이었습니다.
정면에서 보면
위 앞니보다 아래 앞니 노출이
더 많은 상태임을 확인할 수 있었습니다.이번 치료의 핵심 목표는
다음 두 가지였습니다.- 전치부, 특히 앞니의 돌출을 개선하는 것
- 위 앞니의 노출 비율을 늘려 외관상 나이가 들어 보이지 않도록 하는 것
이 목표를 달성하기 위해서는
위·아래 치아의 전후 위치와
수직고경, 즉 교합의 높이를
새롭게 설정할 필요가 있었습니다.전체 임플란트 치료의 원칙

전체 치료의 본질은
단순히 빈 공간을 채우는 것이 아니라,
전체 교합을 다시 설계하는 과정입니다.만약 아래 앞니를 먼저 완성한 뒤
그에 맞춰 위 앞니를 제작하게 되면,
위 앞니가 안쪽으로 들어갈 공간이 부족해
결과적으로 돌출되어 보일 가능성이 높아집니다.반대로 어금니 교합을 먼저 설정해
편안한 수직고경을 확립한 뒤
앞니 위치를 조정하면,
위·아래 치아의 전후 관계를
다시 설계할 수 있습니다.이 순서를 따르면
전치부를 후방으로 이동시킬 여유가 생기고,
앞니가 돌출되지 않으면서
자연스럽게 맞물릴 수 있습니다.상악 임플란트 치료 과정

상악은 다수의 치아가
깊이 손상된 상태였기 때문에,
발치 후 임플란트 수복이 필요했습니다.상악 임플란트 치료 계획은
다음과 같이 수립했습니다.1. 송곳니 부위에 임플란트를 식립해
전방과 후방의 지지를 확보합니다.2. 앞니 4개 부위에 임플란트를 배치해
심미, 발음, 지지 기능을 형성합니다.3. 상악 큰어금니와 작은어금니 부위는
브릿지 임플란트 형태로 계획했습니다.보존이 가능한 치아는 살리고,
결손 부위는 임플란트와 브릿지의 조합으로
식사 시 충분한 기능을 확보하는 방향이었습니다.하악 임플란트 치료 과정

하악은 기존에
송곳니부터 반대편 송곳니까지
롱 브릿지 보철로 연결된 상태였습니다.하악 치료의 재설계 방향은 다음과 같았습니다.
1.기존 롱 브릿지를 분리합니다.
2.전치부 4개를 지지할 임플란트 2개를 배치합니다.
3.양쪽 송곳니는 개별 크라운으로 분리합니다.
이 과정을 통해
아래 앞니를 기존보다
조금 더 후방으로 재배치할 수 있었고,
송곳니는 개별 크라운으로 제작해
치실 사용이 가능하도록 하여
유지 관리성을 높였습니다.어금니 교합 설정 후 앞니 위치 조정

임플란트는 계획한 위치에
평행하게 식립했고,
약 3~4개월의 치유 기간 후
보철 치료를 진행했습니다.보철 제작은
두 단계로 나누어 진행했습니다.첫 번째 단계에서는
어금니 교합을 먼저 설정했습니다.수직고경을 조정하고,
턱관절의 편안함과 저작 기능을 확인하며,
실제 음식을 씹어보는 과정을 통해
교합을 검증했습니다.두 번째 단계에서는
앞니 위치를 조정했습니다.
어금니 교합을 기준으로
앞니의 전후·상하 위치를 결정하고,
전치부를 수 밀리미터 후방으로 이동시켜
돌출을 완화했습니다.이 순서를 지킴으로써
입술 돌출이 줄어들고,
위 앞니 노출량도
의도한 방향으로 조절할 수 있었습니다.치료 결과: 전치부 후방 이동과 기능 회복

치료 후
앞니는 약 5mm 내외로 후방 이동되었고,
위 앞니의 노출 비율이
이전보다 증가한 것을 확인할 수 있었습니다.어금니에서 교합이 안정적으로 지지되고,
전치부는 발음, 심미, 절단 기능을
균형 있게 수행하고 있었습니다.
측면에서
코–입술–턱 끝을 잇는 라인을 확인해도,
전치부가 후방으로 이동하며
입술 돌출이 완화된 모습이
객관적으로 확인되었습니다.
해당 케이스는
치료 후 2년이 지난 시점에서도
임플란트가 기능적·심미적으로
문제없이 사용되고 있었습니다.왜 ‘앞니부터’ 하면 안 될까요?
해부학적으로 볼 때,
입술 돌출은 치아의 전후 위치와
밀접한 관련이 있습니다.위 앞니가 안쪽으로 들어가려면
아래 앞니 역시 함께
후방으로 이동해야 합니다.즉, 위와 아래의 교합 관계를
동시에 개선해야만
전치부 위치를 실질적으로 조정할 수 있습니다.만약 아래 앞니를 먼저
전방 위치에 고정해 버리면,
위 앞니를 안쪽으로 배치할
공간 자체가 사라지게 됩니다.위 앞니 노출과 인상의 관계
말을 하거나 웃을 때
어떤 치아가 보이는지는
연령대에 따라 차이가 있습니다.일반적으로
젊은 연령층은 위 앞니 노출이 많고,
연령이 높아질수록
위 앞니 노출은 감소하는 경향이 있습니다.위 앞니 노출이 줄어들면
인상이 더 나이 들어 보일 수 있습니다.전체 치료 과정에서
수직고경과 전치부 위치를 조정하면,
위 앞니 노출 비율 역시
교합 설계를 통해 조절할 수 있습니다.전체 치료 전 확인해야 할 체크포인트
전체 임플란트나 보철 치료를
고민 중이시라면
다음 사항들을 꼭 확인해 보시기 바랍니다.치료 목표가 명확한지 확인합니다.
기능이 우선인지, 돌출 개선인지,
심미를 얼마나 고려하는지
분명히 해야 합니다.치료 순서를 확인합니다.
어금니 교합을 먼저 설정한 뒤
전치부 위치를 조정하는 순서인지
질문해 보시기 바랍니다.대안과 근거를 들어야 합니다.
보존과 발치, 임플란트와 브릿지 중
왜 해당 방법을 선택했는지
설명을 듣는 것이 중요합니다.중간 점검 과정이 있는지 확인합니다.
임시 보철로 교합을 확인하고
조정하는 단계가 포함되어 있는지
확인하시기 바랍니다.치료 순서가 중요한 이유는 명확합니다.
아래 앞니를 먼저 완성하면
위 앞니 위치에 제약이 생기지만,
어금니 교합을 먼저 설정하면
앞니 배치에 충분한 자유도가 확보됩니다.전체 임플란트 치료는
단순히 빈 공간을 채우는 작업이 아닙니다.저작 기능, 발음, 교합 안정성,
그리고 심미적 결과까지
모두 고려한 종합적인 재설계가 필요합니다.치료 전 순서와 교합 원칙을
명확히 이해하고 진행한다면,
보다 안정적이고
원하던 결과에 가까운 치료를
기대할 수 있습니다.개인별 구강 상태에 따라
치료 계획은 달라질 수 있으며,
정확한 계획은
정밀 진단 후 결정됩니다.전체 임플란트 치료를 고민 중이시라면,
이번 사례를 참고해 보시길 바랍니다.감사합니다.
더 자세한 내용을 확인하고 싶다면
아래 링크를 통해 유튜브 영상을 시청해보세요!
▼▼▼
예약 및 상담 02.6263.2828
-
상악동염 임플란트 증례: 상악동 거상술
상악동염 임플란트 증례: 상악동 거상술
※ 본 글은 연세마이덴치과 의료진이 직접 진료한
실제 치료 사례를 바탕으로 작성되었습니다.안녕하세요, 소중한 치아를 지키는
연세마이덴치과 닥터꼬집입니다.상악동염이 있다는 진단을 받으면
상악 임플란트 치료에 대해
걱정을 먼저 하시는 분들이 많습니다.상악 임플란트는
상악동 수술이 함께 필요한 경우가 많고,
자칫 잘못되면
염증이 악화될 수 있다는 이야기를
들어보신 분들도 계실 것입니다.그래서 상악동염이 있는 상태에서는
임플란트 자체를
망설이게 되는 경우가 많습니다.오늘은 상악동염을 동반했지만
최후방 어금니 임플란트 치료를
안전하게 진행한 실제 사례를 소개해 드리겠습니다.상악동염 케이스 분석과 치료 계획

이번 케이스는
상악동염을 가지고 있으면서도
최후방 어금니 임플란트가
필요했던 환자분의 사례입니다.
검사 결과,
17번 치아는 뼈 높이가 전반적으로 낮았고
상악동 점막이 두꺼워진 상태였습니다.반면 16번 치아는
깨지고 염증이 있었지만
정밀 평가 결과
충분히 살려볼 수 있는 여지가 있었습니다.이에 따라 치료 계획은 다음과 같이 세웠습니다.
- 16번 치아: 신경치료 및 잇몸치료를 통한 보존
- 17번 치아: 상악동 거상술을 동반한 임플란트 식립
16번 어금니, 신경치료를 통한 보존

16번 치아는
일부 치아가 깨져 있고
충치도 존재했지만,
발치하기에는 아까운 상태였습니다.통증 조절과 치아 보존을 위해
미세현미경을 이용해
신경관을 탐색하고
신경치료를 진행했습니다.
신경관 중간에
석회화된 구간이 있었지만,
뿌리 끝까지 큰 염증은 없어
가능한 범위 내에서
치료를 마무리할 수 있었습니다.
신경치료 후에는
잇몸치료를 병행하고
충치 부위를 복원한 뒤
임시 크라운을 장착했습니다.이 과정을 통해
통증은 해소되었고,
16번 치아는
보존이 가능해졌습니다.※ 석회화로 인해 근관 탐색이 제한되더라도,
치근단 염증이 크지 않다면
보존적 관리로 충분히 사용할 수 있으며,
필요 시 추후 수술적 접근을 고려할 수 있습니다.17번 최후방 어금니, 상악동 수술과 임플란트

발치된 17번 어금니 부위는
뼈의 높이가 전반적으로 낮아져 있었습니다.CT 분석 결과,
상악동 바닥이 아래로 내려와 있었고
점막도 다소 두꺼워진 상태였습니다.이러한 상황에서
임플란트를 단순 식립할 경우
상악동 내부를 침범할 위험이 있어
상악동 거상술을 동반한 임플란트 식립이
필요했습니다.
얇아진 상악동 점막이 손상되지 않도록
미세기구를 이용해
상악동 바닥을 조심스럽게 들어 올렸고,
그 공간에 소량의 뼈이식재를 채운 뒤
임플란트를 식립했습니다.이식된 뼈 아래에는
단단한 치조골이 남아 있었기 때문에,
해당 부위를 이용해
임플란트의 초기 고정력을
확보할 수 있었습니다.
수술 직후에도
염증 악화나 부비동 통증 없이
안정적으로 회복되었고,
잇몸이 충분히 아문 후
2차 수술을 진행했습니다.이후 맞춤형 지대주를 연결하고
최종 보철물을 제작해
저작 기능을 회복했습니다.치료 결과와 경과
치료 후 CT와 임상 사진에서
임플란트의 안정적인 고정 상태와
교합 회복을 확인할 수 있었습니다.앞쪽 16번 치아는
신경치료 후
2년 이상 안정적으로 유지되고 있으며,뒤쪽 17번 임플란트 역시
상악동염 재발 없이
건강하게 기능하고 있습니다.상악동염이 있어도 임플란트가 가능한 이유

이 케이스의 핵심은
상악동염이 있더라도
염증이 안정된 상태라면
임플란트 치료가 가능하다는 점입니다.상악동염은 흔히
코 질환으로만 생각되지만,
실제로는 치아 뿌리의 염증이
상악동으로 번지면서
발생하는 2차적 염증도
상당히 많습니다.상악동염의 원인은
크게 두 가지로 나눌 수 있습니다.- 비염, 축농증 등 코 내부의 만성 질환
- 치아 뿌리 염증이 상악동으로 번진 경우
이번 사례는
두 번째 유형에 해당했으며,
발치 후 시간이 지나
염증이 가라앉고
상악동 점막이 회복된 시점에
수술을 진행했습니다.
그 결과
상악동 수술과 임플란트를
안전하게 마칠 수 있었습니다.최후방 어금니, 꼭 임플란트를 해야 할까요?
최후방 어금니는
외부에서 잘 보이지 않고,
당장 씹는 데 큰 불편이 없어
“없어도 괜찮다”고
생각하기 쉬운 치아입니다.하지만 최후방 어금니가 없을 경우
씹는 힘이 제대로 분산되지 않아
앞쪽 작은 어금니에
과도한 부담이 가해질 수 있습니다.이로 인해
해당 치아들이 원래 수명보다
더 빨리 손상될 가능성도 높아집니다.따라서 시간적·비용적 여유가 된다면
최후방 어금니 임플란트도
충분히 고려해보시는 것이 좋습니다.상악동염이 있다고 해서
반드시 임플란트를
포기해야 하는 것은 아닙니다.중요한 것은
정확한 CT 진단,
적절한 치료 시기 조절,
그리고 상악동 점막 상태에 대한
세밀한 평가를 바탕으로 한
치료 계획 수립입니다.정확한 진단과 치료 가능 여부는
개별 진료 후 결정됩니다.상악동염으로 인해
임플란트 치료를 고민하고 계시다면,
이번 사례를 참고해보시길 바랍니다.감사합니다.
더 자세한 내용을 확인하고 싶다면
아래 링크를 통해 유튜브 영상을 시청해보세요!
▼▼▼
예약 및 상담 02.6263.2828
-
70대 임플란트 6년 증례: 건강보험 적용
70대 임플란트 6년 증례: 건강보험 적용
※ 본 글은 연세마이덴치과 의료진이 직접 진료한
실제 치료 사례를 바탕으로 작성되었습니다.안녕하세요, 소중한 치아를 지키는
연세마이덴치과 닥터꼬집입니다.임플란트는 치과 치료 중에서도
비용 부담이 큰 치료에 해당합니다.하지만 우리나라의 큰 장점 중 하나는
국민건강보험을 통해
임플란트 치료가 보장된다는 점입니다.특히 만 65세 이상이 되면
평생 두 개의 임플란트에 대해
건강보험 혜택을 받을 수 있습니다.이 건강보험 임플란트의 특징은
어느 치과에서 치료를 받더라도
동일한 비용이 적용된다는 점입니다.즉, 임플란트 수술과 보철에 대한
기본 진료비는 치과마다 차이가 없고,
뼈 이식이나 추가 치료가 필요한 경우에만
별도의 비용이 발생할 수 있습니다.임플란트를 꼭 해야 하는 상황이라면,
보험 적용이 가능한 시기에
신뢰할 수 있는 의료진에게
치료를 받는 것이 중요합니다.오늘 소개해드릴 사례는
어금니 두 개가 결손된
70대 고령 환자의 건강보험 임플란트 케이스입니다.70대 고령 환자 임플란트 진단

이번 케이스는 70대 환자분으로,
어금니 두 개에 임플란트 치료가
필요한 상황이었습니다.하지만 임플란트 치료는
결손 부위만 보고 바로 수술을 결정해서는 안 됩니다.어금니와 앞니 주변의 잇몸 상태,
충치 유무,
그리고 전체적인 교합 관계는
임플란트의 장기적인 안정성과
직결되기 때문입니다.
이번 사례에서도
임플란트가 필요한 부위 외에
다른 치아에서
잇몸 질환과 충치가 함께 발견되었습니다.따라서 이번 치료는
임플란트뿐만 아니라
잇몸 치료와 충치 치료까지
구강 전체를 종합적으로 관리하는 방향으로
계획을 세웠습니다.이처럼 전체적인 구강 환경을 함께 정리해야
임플란트 식립 후에도
치아와 잇몸이 균형을 이루며
오랫동안 건강하게 유지될 수 있습니다.3D 가이드 임플란트 계획
임플란트는
뼈와 잇몸의 상태를 고려해
정밀하게 설계되어야 하는 치료입니다.
수술 전 3D CT 촬영을 통해
임플란트 식립 위치와 각도를
미리 계획했고,
주변 해부학적 구조물을 피하면서
안정적인 식립이 가능하도록 준비했습니다.
또한 염증 발생 가능성을 낮추기 위해
이번 케이스에서도
임플란트 픽스처를
뼈 레벨보다 약간 안쪽으로 식립해
안정성을 높였습니다.건강보험 임플란트 최종 보철

수술 부위가 안정된 이후에는
환자분에게 맞는
맞춤형 지대주를 이용해
보철물을 제작했습니다.과거 건강보험 임플란트 보철은
금속과 도자기를 결합한
PFM 크라운만 가능했지만,최근에는
지르코니아 크라운까지 보험 적용이 확대되면서
심미성과 내구성이
모두 개선되었습니다.
지르코니아 크라운은
인공 다이아몬드라 불리는
지르코니움 재질을 깎아 제작하며,
치과용 세라믹 재료 중
강도가 매우 높고
심미성 또한 우수한 재료입니다.금속 성분이 포함되지 않아
어금니와 앞니 모두에
적용이 가능합니다.앞니 치료, 삭제 없이 레진 수복

이번 케이스는 임플란트 치료와 함께
깨지고 닳아진 앞니를
복구하는 치료도 필요했습니다.앞니 교합 상태를 확인해보니
기존 라미네이트가
접착력 문제로 탈락하면서
심미적으로 불편한 상태가 된 것으로
판단되었습니다.의료진 입장에서는
다시 라미네이트 치료를 통해
접착력을 확보하는 방법을
권해드릴 수 있었지만,환자분의 비용 부담과
개인적인 선호를 고려해
복합 레진 수복으로
치료 방향을 결정했습니다.
앞니를 거의 삭제하지 않고
손상된 부위를 레진으로 메워
기능과 기본적인 심미를 회복하는 데
초점을 맞췄습니다.심미적으로 완벽한 결과는 아니더라도,
최소한의 치료로
불편감을 해소하고
기능을 회복할 수 있었습니다.6년 경과, 보험 임플란트 장기 결과

치료가 끝난 이후에도
정기적인 검진과 관리는
매우 중요합니다.이번 케이스는
6년 이상 장기 추적 관찰을 진행했습니다.치료를 받지 않았던 일부 치아는
시간이 지나면서
추가 임플란트가 필요하게 되었지만,초기에 임플란트를 식립한 부위와
앞니 레진 수복 부위는
큰 문제 없이
안정적으로 유지되고 있었습니다.건강보험 임플란트 제도는
만 65세 이상 환자분들께
큰 도움이 되는 제도입니다.평생 두 개의 임플란트까지
보험 적용이 가능하기 때문에,
비용 부담을 줄이면서
필요한 치료를 받을 수 있습니다.중요한 점은
어디에서 치료를 받더라도
가격은 동일하다는 점입니다.
따라서 치료 결과와
장기적인 관리가 가능한
신뢰할 수 있는 의료진을
선택하는 것이 핵심입니다.또한 깨지고 닳은 앞니 수복 역시
여러 치료 방법이 존재합니다.삭제를 최소화하는 방법으로는
복합 레진 수복이 있으며,
심미성과 내구성을
더 중시한다면
라미네이트나 크라운 치료를
선택할 수 있습니다.어떤 치료를 선택하든
가장 중요한 포인트는
접착의 정확성입니다.접착이 얼마나 정확하게 이루어졌는지가
보철물의 수명과 직결되기 때문에,
경험과 지식을 갖춘 의료진에게
치료받는 것이 중요합니다.건강보험 임플란트와
깨지고 닳은 앞니 보철 치료를
고민 중이시라면
이번 사례가
참고가 되기를 바랍니다.감사합니다.
더 자세한 내용을 확인하고 싶다면
아래 링크를 통해 유튜브 영상을 시청해보세요!
▼▼▼
예약 및 상담 02.6263.2828
-
앞니 임플란트 증례: 임플란트 브릿지
앞니 임플란트 증례: 임플란트 브릿지
※ 본 글은 연세마이덴치과 의료진이 직접 진료한
실제 치료 사례를 바탕으로 작성되었습니다.안녕하세요, 소중한 치아를 지키는
연세마이덴치과 닥터꼬집입니다.앞니 임플란트 치료에서
가장 중요한 점은
임시치아를 바로 연결해
일상생활에 불편함이 없도록 하는 것입니다.앞니는 대화를 하거나 미소를 지을 때
가장 먼저 눈에 띄는 부위이기 때문에,
작은 변화에도 심미적인 부담이 크게 느껴집니다.그래서 앞니 임플란트는
환자분들의 심미적 요구가 매우 높은 치료이며,
술자 입장에서도
보다 섬세한 접근이 필요한 시술입니다.오늘은 실제 치료 사례를 통해
자연스러운 앞니 임플란트 치료 과정을
설명드리겠습니다.치료 전 상태

이번 케이스는
이미 앞니 한 개가 발치된 상태로
내원하신 환자분이었습니다.기존에는 브릿지 보철 치료를 받으신 경험이 있었고,
그 과정에서 심리적인 스트레스가 컸던 만큼
이번 치료에서는 자연스러운 임플란트 결과를
강하게 원하시는 환자분이셨습니다.치료 계획: 송곳니 보존과 임플란트 활용

환자분께서는
송곳니까지 포함해 모두 발치 후
임플란트 치료를 원하셨습니다.하지만 저는
조금밖에 남지 않은 송곳니라도
가능하다면 보존하는 것이
더 바람직하다고 판단했습니다.
송곳니는 뿌리가 길고 두꺼워
교합을 지탱하는 데 중요한 역할을 하기 때문에,
웬만하면 살리는 방향으로
치료 계획을 세우는 것이 좋습니다.이에 따라 치료 계획은
다음과 같이 설정했습니다.- 발치된 부위를 포함한 앞니 2개에 임플란트 식립
- 결손 범위는 임플란트 브릿지로 연결
- 송곳니는 재신경치료 후 크라운으로 보존
임플란트 식립과 송곳니 재신경치료

발치된 앞니 부위는
이미 뼈가 많이 소실되어 있어
잇몸이 꺼질 위험이 큰 상태였습니다.따라서 발치와 보존술을 통해
뼈 이식을 충분히 시행하고,
동시에 임플란트 2개를 식립했습니다.치료 당일에는 임시치아를 바로 연결해
일상생활에서의 불편함을 최소화했습니다.
송곳니는 재신경치료를 통해
내부를 깨끗하게 정리한 뒤,
레진 코어로 단단하게 보강해
이후 크라운 치료를 위한
기반을 마련했습니다.치경부 레진 수복과 최종 보철


부러지거나 마모된 치아 부위는
레진 수복을 통해 보강했습니다.레진 치료는
간단해 보일 수 있지만,
접착 과정과 형태 구현에 따라
예후가 크게 달라질 수 있는 치료로
술자의 테크닉이 매우 중요합니다.
이후 임플란트 2개를 기반으로
임플란트 브릿지를 제작했고,
송곳니는 크라운으로 최종 마무리했습니다.주변 잇몸 라인과 조화를 고려해
자연스러운 심미성을 맞추는 데
중점을 두었습니다.치료 결과

치료가 끝난 뒤 가장 큰 성과는
임플란트 티가 거의 나지 않는다는 점이었습니다.임플란트 크라운과 자연 치아,
기존 크라운이
구분되지 않을 정도로
자연스럽게 완성되었습니다.또한 임시치아 단계에서도
불편 없이 생활할 수 있었기 때문에,
치료 과정에서의
심리적 부담 역시 크게 줄일 수 있었습니다.경과 관찰

치료 후 3년간
정기적인 팔로업을 진행했으며,
임플란트와 보철물 모두
안정적으로 유지되고 있습니다.잇몸 상태 역시 건강하게 관리되고 있으며,
기능과 심미 두 가지 측면 모두에서
안정적인 결과를 보이고 있습니다.이번 사례의 핵심은 다음과 같습니다.
- 앞니 임플란트는 심미성이 최우선
- 송곳니 보존은 교합 안정성과 장기 예후에 중요
- 발치와 보존술(뼈 이식)로 잇몸 꺼짐 예방
- 당일 임시치아 연결로 치료 중 스트레스 최소화
앞니 문제로 고민이 크신 분들께
이번 사례가 치료 방향을 결정하는 데
도움이 되기를 바랍니다.감사합니다.
더 자세한 내용을 확인하고 싶다면
아래 링크를 통해 유튜브 영상을 시청해보세요!
▼▼▼
예약 및 상담 02.6263.2828



