설명
<3D 네비게이션 임플란트> 글 목록
-
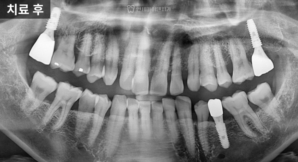
임플란트 4년 증례: 임플란트 가격 차이나는 이유
임플란트 4년 증례: 임플란트 가격 차이나는 이유
※ 본 글은 연세마이덴치과 의료진이 직접 진료한
실제 치료 사례를 바탕으로 작성되었습니다.안녕하세요, 소중한 치아를 지키는
연세마이덴치과 닥터꼬집입니다.임플란트 치료를 알아보다 보면
병원마다 가격 차이가 꽤 크다는 걸 알게 됩니다.어떤 곳은 유난히 저렴하고,
어떤 곳은 상대적으로 높게 책정되어 있습니다.그렇다면 단순히
“비싸면 좋고, 싸면 나쁜 걸까요?”임플란트는 단순히
치아 하나를 심는 시술이 아닙니다.✔ 뼈 상태는 어떤지
✔ 주변 치아는 건강한지
✔ 수술 위치는 정확한지
✔ 보철물은 어떤 구조로 제작되는지
✔ 수술 후 관리가 가능한 구조인지이 모든 요소가
가격 차이를 만드는 요인입니다.오늘은 실제 케이스를 통해
임플란트 치료에서 정말 중요한 부분이 무엇인지
정리해보겠습니다.임플란트가 꼭 필요한 순간
보통 임플란트를 고민하는 시점은
치아가 흔들리거나 잇몸 염증이 오래 지속될 때입니다.이번 케이스처럼
손으로 만져도 흔들릴 정도라면
그 치아를 붙잡고 있는 것이
오히려 주변 치아에 부담을 줄 수 있습니다.염증은 퍼집니다.
늦게 발치할수록
옆 치아의 뼈까지 영향을 줄 수 있기 때문에
보존이 불가능하다면
빠른 판단이 필요합니다.치료 전 상태: 뼈가 거의 없는 상황

이번 환자분은
오른쪽 위 어금니는 심하게 흔들리는 상태였고
아래 왼쪽 어금니는 발치 후 오래 방치되었습니다.

CT를 확인해보니
뼈가 거의 남아 있지 않았고,
손으로도 발치가 가능할 정도였습니다.이 상태를 오래 두면
주변 치아까지 손상될 수 있습니다.임플란트는
“언젠가 해야 하는 치료”라면
적절한 시기에 하는 것이
오히려 전체 치아를 지키는 방법이 됩니다.발치 후 방치하면 생기는 문제

어금니를 빼고 오랫동안 방치하면
다음과 같은 문제가 생길 수 있습니다.- 뒤 치아가 쓰러집니다
- 맞물리던 위 치아가 내려옵니다
- 공간이 비대칭이 됩니다
이렇게 되면
나중에 임플란트를 하더라도
보철 모양이 이상해지고
음식물이 잘 끼며
교합이 불안정해질 수 있습니다즉, 임플란트는
“심는 시기”가 굉장히 중요합니다.
임플란트 가격 차이의 핵심
1️⃣ 치조골 확보 능력
뼈가 부족하면
임플란트를 안정적으로 고정할 수 없습니다.이때 필요한 것이
뼈이식입니다.발치 직후 뼈를 보존해 두느냐,
그냥 두느냐에 따라
향후 치료 난이도가 크게 달라집니다.뼈이식을 함께 진행하면
✔ 임플란트 위치 설정이 유리해지고
✔ 잇몸 라인이 자연스럽게 유지되며
✔ 주변 치아의 뼈 레벨 보호에도 도움이 됩니다이 과정은
재료, 술식, 경험에 따라
차이가 발생합니다.2️⃣ 잇몸 관리와 수술 환경
임플란트는
잇몸을 열고 진행하는 수술입니다.이때 잇몸 안쪽에 남아 있는
염증 조직이나 오염된 부위를 정리하지 않으면
아무리 좋은 임플란트를 심어도
치유 과정이 불리해집니다.깨끗한 환경을 만드는 과정은
눈에 잘 보이지 않지만
예후를 좌우하는 핵심 요소입니다.음식물 끼임, 왜 병원마다 다를까?
환자분들이 가장 많이 하는 질문이 있습니다.
“임플란트는 원래 음식물이 끼나요?”
어느 정도는 낄 수 있습니다.
하지만 그 정도는 설계에 따라 크게 달라집니다.
✔ 1. 식립 위치
임플란트를
정확한 위치와 각도로 식립해야 합니다.3D CT 분석과
네비게이션 기반 모의 수술을 통해
센터에 정확히 심는 과정이 중요합니다.위치가 어긋나면
보철 설계가 어려워지고
음식물 끼임이 증가합니다.
✔ 2. 보철 설계 – 맞춤형 지대주
기성 지대주를 사용하는지,
맞춤형 지대주를 사용하는지에 따라
보철의 각도와 형태가 달라집니다.맞춤형 지대주는
주변 치아와의 관계를 고려해
해부학적으로 자연스러운 형태를
만들 수 있습니다.이 부분에서
가격 차이가 발생합니다.
“임플란트 A/S 되나요?”
임플란트는
한 번 심고 끝나는 치료가 아닙니다.나사 방식 보철은
필요 시 분리해 점검이 가능합니다.✔ 불편한 부위 조정
✔ 음식물 끼임 개선
✔ 나사 풀림 점검반대로
조정이 어려운 구조라면
작은 문제도 그대로 안고 가야 할 수 있습니다.임플란트 치료의 핵심은
‘관리 가능한 구조’를 남겨두는 것입니다.
4년 경과: 결과는?

이번 케이스는
4년이 지난 현재까지✔ 임플란트 안정적 유지
✔ 주변 치아 뼈 레벨 유지
✔ 정기 관리 지속임플란트의 수명은
결국 관리의 축적입니다.임플란트 치과, 이렇게 선택하세요

1️⃣ 주변 치아까지 함께 보는 곳
임플란트 하나가 아니라
전체 교합을 보는지 확인하세요.2️⃣ 뼈이식과 고난이도 경험
뼈가 부족한 상황에서도
치료 전략을 제시할 수 있는지 중요합니다.3️⃣ 음식물 끼임을 줄이는 설계
식립 위치와 보철 설계에 대한
구체적인 설명이 가능한지 보세요.4️⃣ 사후 관리 시스템
정기 점검과 A/S가 가능한 구조인지
확인하는 것이 필요합니다.임플란트는
가격만으로 결정할 치료가 아닙니다.✔ 정확한 진단
✔ 정밀한 수술
✔ 관리 가능한 구조
✔ 장기적 유지 계획이 네 가지가 갖춰질 때
비로소 성공적인 임플란트가 됩니다.임플란트를 고민 중이시라면
단순 가격 비교보다는
치료 계획의 깊이를 먼저 확인해보시길 바랍니다.감사합니다.
더 자세한 내용을 확인하고 싶다면
아래 링크를 통해 유튜브 영상을 시청해보세요!
▼▼▼
예약 및 상담 02.6263.2828
-
부분교정·임플란트 협진 증례: 쓰러진 어금니
부분교정·임플란트 협진 증례: 쓰러진 어금니
※ 본 글은 연세마이덴치과 의료진이 직접 진료한
실제 치료 사례를 바탕으로 작성되었습니다.안녕하세요, 소중한 치아를 지키는
연세마이덴치과 닥터꼬집입니다.“임플란트 해야 하는데
치아가 쓰러져서 공간이 부족해요.”임플란트를 계획하고 내원하신 분들 중
의외로 많이 듣는 말입니다.치아가 빠진 상태로 오랜 시간이 지나면
그 자리를 가만히 두지 않습니다.주변 치아들은 서서히
그 공간 쪽으로 기울고, 쓰러지고, 내려옵니다.이렇게 되면
단순히 “비어 있으니 심으면 된다”는
문제가 아니게 됩니다.오늘은 임플란트 식립 공간이 부족해
부분교정을 통해 공간을 확보한
치아교정·임플란트 협진 케이스를 설명드리겠습니다.초진 상태

초진 파노라마 사진에서
오래전 6번 어금니가 발치된 상태였습니다.그 뒤쪽에 있던 7번, 그리고 사랑니가
앞쪽으로 상당히 많이 쓰러져 있었습니다.
원래 6번과 7번은
크기가 거의 비슷해야 하는데,쓰러지면서
임플란트가 들어가야 할 공간이
앞 치아보다도 더 좁아진 상태였습니다.이 상태에서 임플란트를 바로 진행하면
다음과 같은 문제가 발생할 수 있습니다.- 보철물 형태가 비정상적으로 작아짐
- 씹는 힘이 한쪽으로 집중
- 음식물 끼임 증가
- 장기적으로 임플란트 주위염 위험 증가
즉, 공간이 부족한 상태에서 억지로 심는 것은
단기 해결은 될 수 있어도
장기적으로는 불리할 가능성이 큽니다.사랑니 발치가 먼저 필요했던 이유
이 케이스에서는 위아래 사랑니가 모두 존재했고
특히 아래 사랑니는
쓰러진 7번 어금니를 세우는 과정에서
물리적으로 이동을 방해하는 위치였습니다.또한 기능적으로도 큰 역할을 하지 않는 상태였기에
사랑니는 모두 발치하는 방향으로
치료 계획을 세웠습니다.교정과 임플란트는
공간 싸움이라고 해도 과언이 아닙니다.불필요한 치아는 정리하고
목표 공간을 확보하는 것이 우선입니다.부분교정이 필요한 이유
이 치료의 핵심은
임플란트를 심기 위한 ‘환경 정리’였습니다.쓰러진 7번을 그대로 둔 채
임플란트를 진행하면치아 축이 맞지 않고
교합력이 비정상적으로 작용하며
주변 치아 수명까지 단축될 수 있습니다.따라서
먼저 쓰러진 어금니를 세워
임플란트가 들어갈 수 있는
정상적인 공간을 만드는 것이 중요했습니다.전체 교정이 아닌,
필요한 부위만 선택적으로 움직이는
부분교정으로 접근했습니다.부분교정의 핵심: 고정원 설계

부분교정에서 가장 중요한 것은
움직일 치아만 움직이고
나머지 치아는 최대한 고정하는 것입니다.
이 환자분은 과거 교정 이력이 있어
앞니 안쪽에 유지장치가 남아 있었고,
이 장치가 고정원 역할을 해주었습니다.여기에 미니스크류를 추가해
고정원을 더욱 보강했습니다.
초기에는 얇고 유연한 와이어로 배열을 잡고
이후 코일 스프링과 접은 형태의 와이어를 적용해
치아를 세우는 힘을 단계적으로 조절했습니다.치아를 세우는 과정은
단순히 “밀어 올리는 것”이 아니라
뿌리 방향까지 함께 바로잡는 과정이기 때문에
정밀한 힘 조절이 필요합니다.치아교정 7개월차: 공간 확보

약 7개월이 지나면서
쓰러졌던 7번 치아는 눈에 띄게 세워졌고
임플란트가 들어갈 수 있는 공간이
충분히 확보되었습니다.물론 더 이상적인 위치까지
완벽하게 이동시키는 것도 가능했지만,치아 뿌리 이동 범위와
치료 기간을 고려해
교합에 무리가 없는 선에서
효율적으로 마무리하는 전략을 선택했습니다.
치료는 항상
“이론적으로 가장 완벽한 상태”가 아니라
“환자에게 가장 합리적인 상태”를
목표로 해야 합니다.임플란트 식립과 마무리

공간 확보 후
임플란트를 정확한 위치에 식립했습니다.임플란트가 뼈와 안정적으로 결합되는 동안
교정을 병행해 공간을 유지했고,최종적으로 교합 간섭 없이
자연스러운 씹는 기능을 회복했습니다.
교정 전과 비교하면
임플란트 공간은 체감상 두 배 이상 확보되었고
다른 치아들의 불필요한 이동 없이
치료가 안정적으로 종료되었습니다.협진이 중요한 이유

쓰러진 치아를 세우지 않고
보철로 억지 해결하는 방법도 존재합니다.하지만 이 경우
치아 삭제량 증가, 신경치료 가능성 상승,
치아 축 불일치, 장기 예후 불리라는
여러가지 문제를 동반할 수 있습니다.반대로
교정과 임플란트를 협진하면치아 축 정상화, 교합력 분산,
보철물 수명 연장,
자연치 보존 가능성 증가와 같은
장점을 기대할 수 있습니다.
임플란트는
단순히 비어 있는 자리를 채우는 치료가 아닙니다.그 자리를 둘러싼
치아 축, 교합, 공간, 힘의 방향까지
함께 고려해야
장기적으로 안정적인 결과를 얻을 수 있습니다.치아가 쓰러져 공간이 부족하다면
무리하게 보철로 해결하기보다는
부분교정을 통한 환경 정리를
충분히 고려해볼 수 있습니다.연세마이덴치과는
당장의 편의보다
10년, 20년 뒤까지 생각하는 치료를 지향합니다.감사합니다.
더 자세한 내용을 확인하고 싶다면
아래 링크를 통해 유튜브 영상을 시청해보세요!
▼▼▼
예약 및 상담 02.6263.2828
-
어금니 임플란트 3년 증례: 자연치 보존
어금니 임플란트 3년 증례: 자연치 보존
※ 본 글은 연세마이덴치과 의료진이 직접 진료한
실제 치료 사례를 바탕으로 작성되었습니다.안녕하세요, 소중한 치아를 지키는
연세마이덴치과 닥터꼬집입니다.잇몸 내려앉은 어금니,
꼭 발치 후 임플란트 해야 할까요?어금니가 부러져 발치를 하러 갔는데,
“앞쪽 치아까지 같이 뽑고 두 자리 임플란트를 하자”
라는 말을 들으면 누구나 망설이게 됩니다.“정말 꼭 두 개를 다 뽑아야 할까?”
“앞 치아도 살릴 수는 없을까?”오늘은 이런 고민으로 내원하신 분의
어금니 임플란트 케이스를 소개해드리겠습니다.결론부터 말씀드리면,
뒤쪽 치아만 임플란트로 수복하고,
앞 치아는 자연치로 살렸습니다.발치 후 상태와 문제점

환자분은 오랫동안 통증을 참고 지내다
결국 어금니 하나를 발치한 상태로 내원하셨습니다.
X-ray를 확인해보면,
반대편 어금니는 뼈 상태가 비교적 건강한 반면문제 부위는 치조골 높이가
절반 가까이 무너진 상태였습니다이 때문에 이전 병원에서는
“앞 치아도 곧 못 쓴다”며
두 개 모두 임플란트를 권유받았던 상황이었습니다.
하지만, 앞쪽 어금니의 경우
뿌리 앞쪽 뼈는 비교적 단단하게 남아 있었고
염증 범위도 제한적이어서
충분히 보존 가능성이 있는 상태였습니다.즉,
무조건 두 개를 다 뽑아야 할 상황은 아니었습니다.치료 방향: “하나는 살리고, 하나는 심자”
치료 목표는 명확했습니다.
1️⃣ 앞 치아는 살린다
→ 신경치료를 통해 통증 조절 및 자연치 보존2️⃣ 뒤쪽 결손부는 임플란트로 수복
→ 식립과 동시에 뼈이식을 병행해 뼈 높이 회복3️⃣ 교합 보호
→ 위쪽 어금니가 내려오지 않도록
레진 + 와이어 스플린트 적용이 세 가지를 동시에 진행했습니다.
뼈이식과 임플란트 수복 과정

뒤쪽 어금니 부위는
뼈가 절반 이상 소실되어 있었고
혀 쪽 일부 뼈만 남아 있는
난이도 높은 조건이었습니다
이 부위를 기준으로
임플란트 식립과 동시에 뼈이식을 진행하여
앞쪽 자연치가 받는 지지력까지
함께 회복하는 방향으로 치료했습니다.임플란트 위치와 깊이는
하치조 신경관과의 거리,
남아 있는 뼈 상태를 고려해
정밀하게 조정했습니다.
그 결과,
수술 후 X-ray에서 뼈 높이가 뚜렷하게 상승했고
앞쪽 어금니의 흔들림도 눈에 띄게 줄어들었습니다.3년 경과 후 결과

치료 후 3년이 지난 현재까지도
임플란트, 보존한 자연치
모두 안정적으로 유지되고 있습니다.초기에는 뼈가 절반밖에 남지 않았던 부위가
뼈이식 후 건강한 높이로 회복되었고,
그 결과 임플란트 하나가
옆 자연치의 수명까지 함께 늘려준 셈이 되었습니다.
임플란트는 단순히
“비어 있는 자리만 채우는 치료”가 아닙니다.어디에 심는지,
뼈이식을 어디까지 하는지에 따라
주변 자연치의 예후까지 달라질 수 있습니다.이 케이스처럼,
뽑지 않아도 될 치아는 살리고
임플란트를 통해 주변 뼈를 함께 복원한다면전체 교합 안정성과 장기 예후는
훨씬 좋아질 수 있습니다.임플란트가 필요한 상황이라도,
“옆 치아까지 함께 살릴 수 있는 방법은 없는지”
한 번쯤은 꼭 물어보시길 바랍니다.더 자세한 내용을 확인하고 싶다면
아래 링크를 통해 유튜브 영상을 시청해보세요!
▼▼▼
예약 및 상담 02.6263.2828
-
임플란트 재식립 증례: 임플란트 주위염
임플란트 재식립 증례: 임플란트 주위염
※ 본 글은 연세마이덴치과 의료진이 직접 진료한
실제 치료 사례를 바탕으로 작성되었습니다.안녕하세요, 소중한 치아를 지키는
연세마이덴치과 닥터꼬집입니다.임플란트 치료 후
음식물이 계속 끼고
잇몸이 불편하다고 호소하시는 분들이
적지 않습니다.문제는 임플란트 주변에
음식물이 반복적으로 끼게 되면
그 부위에 염증 반응이 생기고,
이 상태가 지속되면
임플란트 주위염으로
진행될 수 있다는 점입니다.임플란트 주위염은
초기에 발견해 적절히 치료하면
회복이 가능하지만,
치조골 소실이 진행되면
결국 픽스처 제거와
재식립이 불가피해질 수 있습니다.잇몸 불편감이 지속되고
고름, 냄새, 음식물 끼임이 반복된다면
단순 관리가 아닌
구조적인 재평가가 필요합니다.오늘은
임플란트 주위염으로 인해
재수술을 진행한 실제 치료 케이스를
소개해드리겠습니다.임플란트 재수술, 언제 고려해야 할까요?
다음과 같은 증상이 있다면
임플란트 재수술 여부를
반드시 검토해보셔야 합니다.- 음식물이 반복적으로 많이 끼는 경우
- 잇몸에서 고름이나 불쾌한 냄새가 나는 경우
- 픽스처 주변 뼈가 눈에 띄게 녹아 있는 경우
임플란트는 반영구적인 치료이지만,
처음 식립 구조가 좋지 않거나
관리가 어려운 형태라면
문제가 반복적으로 발생할 수 있습니다.임플란트 주위염의 원인과 진행 과정

자연치에서도
음식물이 자주 끼는 부위는
염증이 생기기 쉬운 것처럼,임플란트 역시
음식물이 계속 고이게 되면
세균막이 형성됩니다.이 세균막은
임플란트의 뿌리 역할을 하는
픽스처 주변의 치조골을
서서히 녹이는 원인이 됩니다.한 번 형성된 세균막은
제거하지 않는 이상
지속적으로 염증을 유발하며,
결국 픽스처 주위 뼈의
소실로 이어지게 됩니다.임플란트 감염 시 재치료 과정

임플란트 부위가 불편하고,
픽스처가 절반 이상 노출되어 있거나
잇몸을 눌렀을 때
노란 고름이 배출된다면
이미 감염이 진행된 상태로
단순한 항생제 처방이나
스케일링만으로는 해결이 어렵습니다.이 경우에는
근본적인 치료를 위해
잇몸을 절개하고, 세균막을 제거하고
감염된 픽스처를 정리한 뒤
광범위한 뼈이식을 시행하고
멤브레인으로 봉합해
충분한 치유 기간을 확보하는 과정이
필요합니다.즉시 새 임플란트를 심기보다는
환경을 먼저 회복시키는 것이
치료의 핵심입니다.임플란트를 깊게 식립하는 이유

1차 수술 후
잇몸이 안정적으로 치유되면,
2차 수술 시점에서
잇몸뼈의 성숙도를 확인한 뒤
임플란트를 다시 식립합니다.이때는 기존보다
픽스처를 뼈 높이보다 조금 더 깊게
식립하는 방법을 선택했습니다.임플란트를 깊게 식립하는 이유는
명확합니다.음식물이 끼는 빈도를 줄일 수 있고
픽스처가 뼈의 깊은 위치에 자리해
세균막의 영향으로부터
더 오래 보호받을 수 있기 때문입니다.물론 보철 제작 과정에서는
다소 까다로울 수 있습니다.하지만 장기적인 잇몸 안정성과
임플란트 주위염 예방 측면에서는
충분히 고려할 만한 방법입니다.
임플란트 주위 잇몸이 붓고,
음식물이 자주 끼며,
고름이나 냄새까지 동반된다면
이는 단순한 불편함이 아니라
이미 구조적인 문제가 시작되었다는 신호일 수 있습니다.임플란트 재수술은
부담스럽게 느껴질 수 있지만,
반복적인 불편감이 계속된다면
원인을 정확히 진단하고
필요한 경우 재수술을 고려하는 것이
장기적으로는 더 합리적인 선택일 수 있습니다.감사합니다.
더 자세한 내용을 확인하고 싶다면
아래 링크를 통해 유튜브 영상을 시청해보세요!
▼▼▼
예약 및 상담 02.6263.2828
-
임플란트 재수술 증례: 임플란트 빠짐
임플란트 재수술 증례: 임플란트 빠짐
※ 본 글은 연세마이덴치과 의료진이 직접 진료한
실제 치료 사례를 바탕으로 작성되었습니다.안녕하세요, 소중한 치아를 지키는
연세마이덴치과 닥터꼬집입니다.임플란트 치료는
단순히 인공치아를 심는 시술이 아닙니다.치조골의 상태, 주변 치아의 건강,
잇몸 상태와 염증 여부 등
여러 요소를 종합적으로 고려해
계획하고 진행해야 하는
정밀한 치료입니다.따라서 초기 수술 단계에서의
판단과 접근 방식은
이후 치료 결과에
결정적인 영향을 미치게 됩니다.오늘 소개해드릴 케이스는
임플란트를 식립했지만
고정력을 확보하지 못해
불과 한 달 만에 탈락하여
저희 병원에 재치료를 받으러 오신 사례입니다.기존 임플란트 실패 원인 분석

이 환자분은 한 달 전에 타원에서
임플란트를 식립 받으셨지만,불과 한 달만에 임플란트가 빠져서
저희 병원을 찾아오셨습니다.구강 내 상태를 확인하고
CT 촬영을 진행한 결과,
해당 부위는 골밀도가 낮았고
염증이 완전히 해소되지 않은 상태였습니다.또한 기존에 시행된
뼈이식 재료 역시
안정적으로 정착되지 못한 모습이
확인되었습니다.이러한 상황이라면
처음부터 발치 즉시 임플란트를
진행하기보다는,감염 부위를 충분히 제거하고
치조골 회복을 유도한 뒤
안정적인 환경에서 식립을 고려했어야 합니다.
또 하나 주목할 점은
픽스처 위에 힐링 어버트먼트가
이미 연결된 상태였다는 점입니다.고정력이 충분히 확보되지 않은 상태에서
힐링 어버트먼트를 연결하면
픽스처에 지속적인 힘이 전달되고,
이로 인해 임플란트 실패로
이어질 가능성이 높아집니다.실제로 이 케이스에서는
픽스처가 단단히 고정되지 않은 상태였고,
결과적으로 식립 후
한 달 만에 임플란트가 탈락하게 되었습니다.임플란트 재수술 과정
재수술에서는
먼저 남아 있던 염증 조직과
고정되지 않은 뼈이식 재료를
모두 제거하는 것부터 시작했습니다.
이후 3D CT를 통해
하치조 신경관의 위치를
정밀하게 확인하며,
신경 손상이 발생하지 않도록
각별히 주의했습니다.남아 있는 건강한 치조골을 기반으로
새로운 픽스처를
보다 안정적으로 고정할 수 있도록
식립 위치를 재조정했습니다.
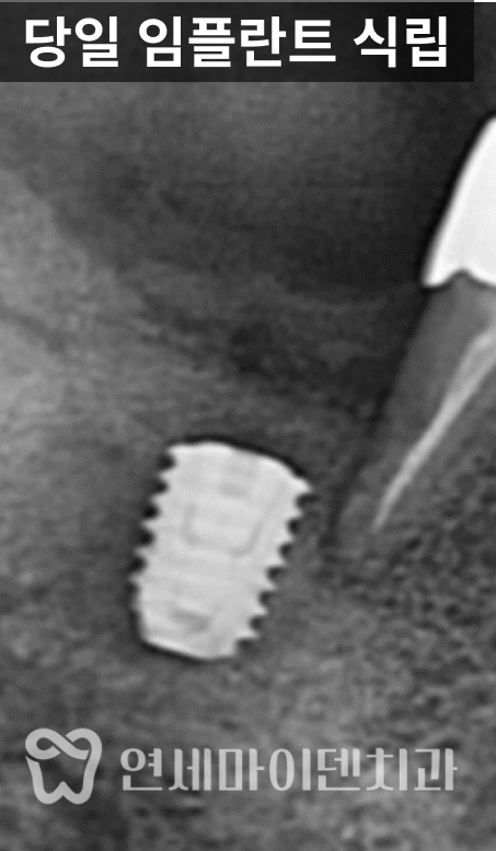
동시에 추가적인 뼈이식과
잇몸 치료를 병행하여
1차 수술을 당일에 마무리할 수 있었습니다.치유 과정과 최종 보철

시간이 지나면서
식립된 픽스처 주변의
골밀도는 점차 회복되었고,CT 상에서도
염증이 있었던 부위가
하얗게 변화하며
뼈의 재형성이
잘 이루어지고 있음을 확인할 수 있었습니다.
이후 2차 수술을 통해
지대주를 연결하고,
최종 보철물을 제작하여
치료를 마무리했습니다.임플란트 재수술 시 반드시 고려해야 할 점

이 과정에서 가장 중요한 점은
단순히 탈락한 임플란트를
다시 심는 데 그치지 않았다는 것입니다.재수술 전
잇몸 상태를 정밀하게 평가하고,
주변 치아의 수명과 상태를 함께 고려해
전체적인 치료 계획을 다시 수립했습니다.사랑니 발치와
주변 치아의 치주 치료를
동시에 진행한 이유 역시,
임플란트 하나만이 아닌
구강 전체의 건강을
함께 관리하기 위함이었습니다.임플란트와 구강 건강 유지 관리의 중요성

임플란트 치료는
한 개의 치아만을
바라보고 진행하는 치료가 아닙니다.주변 치아와 잇몸의 상태,
환자의 구강 위생 습관,
전체적인 교합과 구조까지
함께 고려해야만
장기적으로 안정적인 결과를
기대할 수 있습니다.이번 사례는
치료 전 충분한 진단과
계획 수립이 얼마나 중요한지를
잘 보여주는 케이스였습니다.임플란트 치료를 앞두고 계시거나,
재수술을 고민 중이시라면
이번 사례를 참고해 보시길 바랍니다.감사합니다.
더 자세한 내용을 확인하고 싶다면
아래 링크를 통해 유튜브 영상을 시청해보세요!
▼▼▼
예약 및 상담 02.6263.2828



