발치 즉시 임플란트 증례: 매복 사랑니 발치
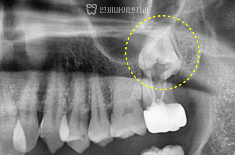
발치 즉시 임플란트 증례: 매복 사랑니 발치 치료 난이도가 높은 사례 중에서도특히 매복 사랑니와 연관된 최후방…
발치 즉시 임플란트 증례: 매복 사랑니 발치 치료 난이도가 높은 사례 중에서도특히 매복 사랑니와 연관된 최후방…
발치 즉시 임플란트 3년 증례: 치아 퍼포레이션 저희 병원에는 발치 진단을 받으신 후에도신경치료를 통해 치아를 살려보고자찾아오시는…
치근절제술 증례: 5년 경과 저희 병원에는 신경치료 후에도 통증이 지속되거나,경과가 좋지 않아 대학병원으로 의뢰되기 전마지막으로 내원하시는…